ARG40767
anti-VDR antibody
anti-VDR antibody for IHC-Formalin-fixed paraffin-embedded sections,Western blot and Human,Mouse,Rat
Overview
| Product Description | Rabbit Polyclonal antibody recognizes VDR |
|---|---|
| Tested Reactivity | Hu, Ms, Rat |
| Predict Reactivity | Hm |
| Tested Application | IHC-P, WB |
| Host | Rabbit |
| Clonality | Polyclonal |
| Isotype | IgG |
| Target Name | VDR |
| Antigen Species | Human |
| Immunogen | Synthetic peptide corresponding to aa. 377-402 of Human VDR. (HLLYAKMIQKLADLRSLNEEHSKQYR) |
| Conjugation | Un-conjugated |
| Alternate Names | VDR; PPP1R163; NR1I1; 1,25-dihydroxyvitamin D3 receptor; Nuclear receptor subfamily 1 group I member 1; Vitamin D3 receptor; Vitamin D Receptor |
Application Instructions
| Application Suggestion |
|
||||||
|---|---|---|---|---|---|---|---|
| Application Note | * The dilutions indicate recommended starting dilutions and the optimal dilutions or concentrations should be determined by the scientist. |
Properties
| Form | Liquid |
|---|---|
| Purification | Affinity purification with immunogen. |
| Buffer | 0.2% Na2HPO4, 0.9% NaCl, 0.05% Sodium azide and 5% BSA. |
| Preservative | 0.05% Sodium azide |
| Stabilizer | 5% BSA |
| Concentration | 0.5 mg/ml |
| Storage Instruction | For continuous use, store undiluted antibody at 2-8°C for up to a week. For long-term storage, aliquot and store at -20°C or below. Storage in frost free freezers is not recommended. Avoid repeated freeze/thaw cycles. Suggest spin the vial prior to opening. The antibody solution should be gently mixed before use. |
| Note | For laboratory research only, not for drug, diagnostic or other use. |
Bioinformation
| Database Links | |
|---|---|
| Gene Symbol | VDR |
| Gene Full Name | vitamin D (1,25- dihydroxyvitamin D3) receptor |
| Background | This gene encodes the nuclear hormone receptor for vitamin D3. This receptor also functions as a receptor for the secondary bile acid lithocholic acid. The receptor belongs to the family of trans-acting transcriptional regulatory factors and shows sequence similarity to the steroid and thyroid hormone receptors. Downstream targets of this nuclear hormone receptor are principally involved in mineral metabolism though the receptor regulates a variety of other metabolic pathways, such as those involved in the immune response and cancer. Mutations in this gene are associated with type II vitamin D-resistant rickets. A single nucleotide polymorphism in the initiation codon results in an alternate translation start site three codons downstream. Alternative splicing results in multiple transcript variants encoding different proteins. [provided by RefSeq, Feb 2011] |
| Function | Nuclear hormone receptor. Transcription factor that mediates the action of vitamin D3 by controlling the expression of hormone sensitive genes. Recruited to promoters via its interaction with BAZ1B/WSTF which mediates the interaction with acetylated histones, an essential step for VDR-promoter association. Plays a central role in calcium homeostasis. [UniProt] |
| Cellular Localization | Nucleus. Cytoplasm. Note=Localizes mainly to the nucleus. Localization to the nucleus is enhanced by vitamin D3. [UniProt] |
| Calculated MW | 48 kDa |
Images (4) Click the Picture to Zoom In
-
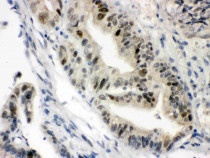
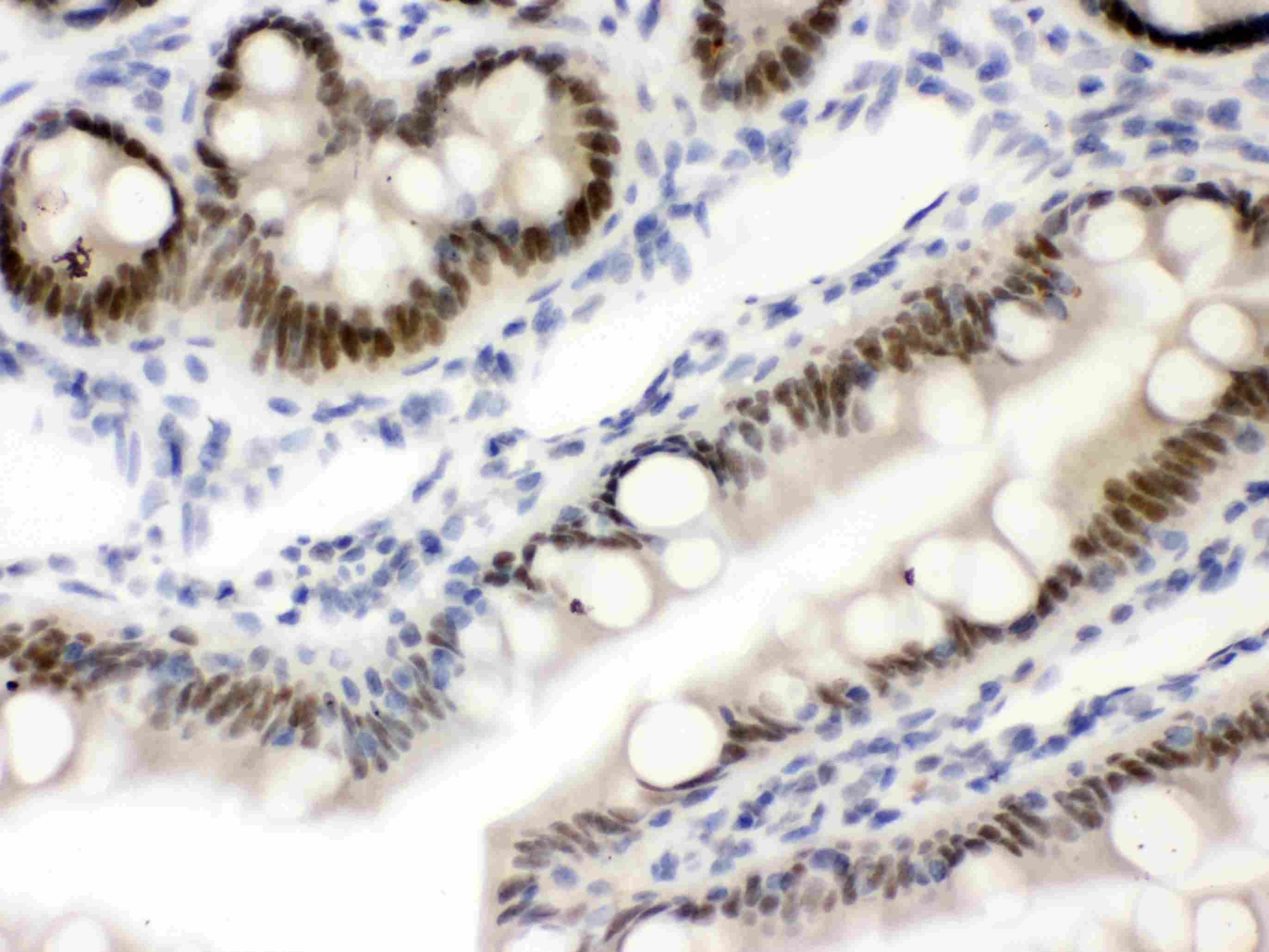
ARG40767 anti-VDR antibody IHC-P image
Immunohistochemistry: Paraffin-embedded Mouse intestine tissue stained with ARG40767 anti-VDR antibody.
-
ARG40767 anti-VDR antibody WB image
Western blot: 50 µg of Human placenta, 50 µg of Rat kidney, 50 µg of Rat liver, 50 µg of Rat pancreas and 40 µg of HeLa whole cell lysates stained with ARG40767 anti-VDR antibody at 0.5 µg/ml dilution.
-
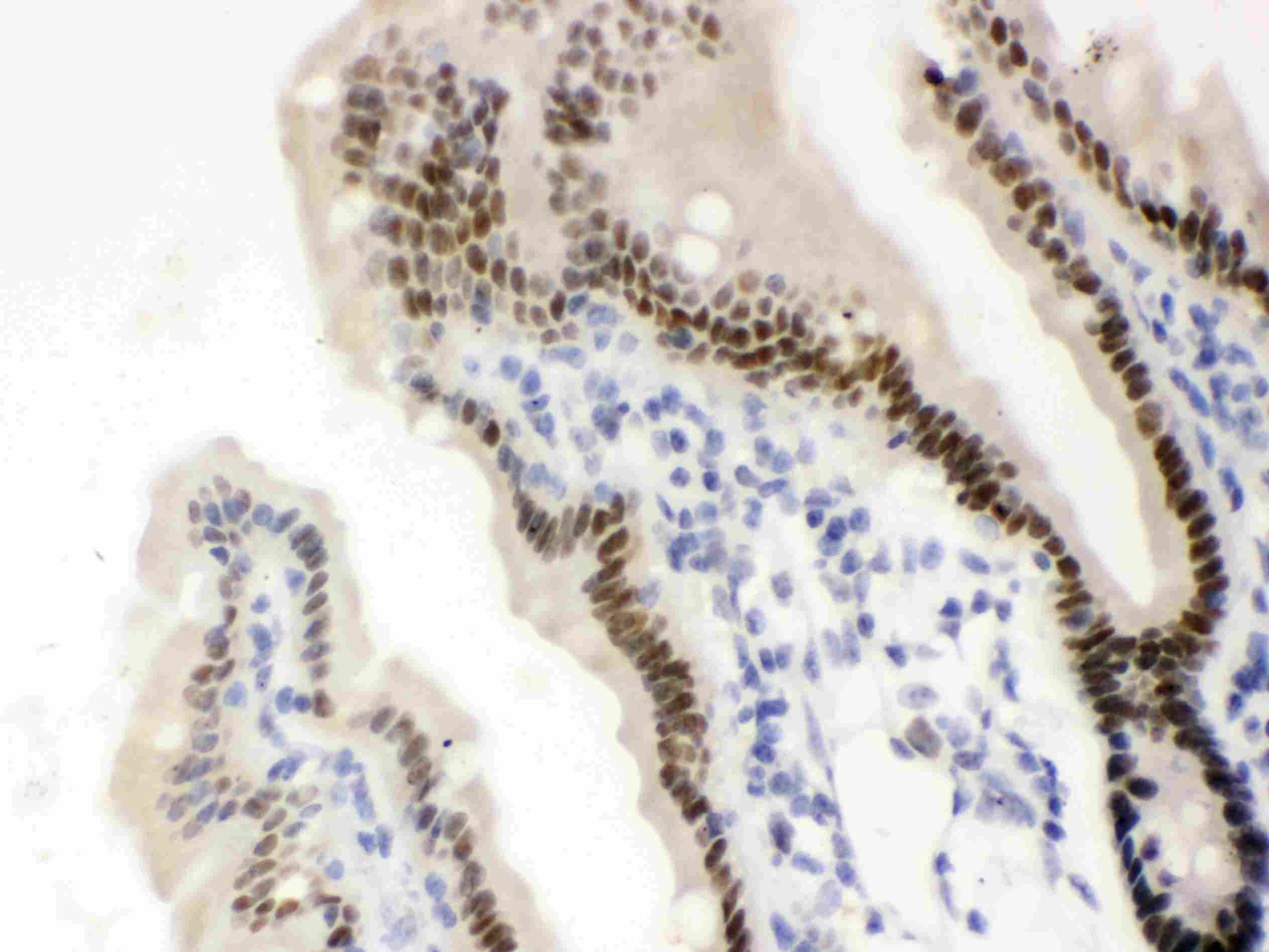
ARG40767 anti-VDR antibody IHC-P image
Immunohistochemistry: Paraffin-embedded Rat intestine tissue stained with ARG40767 anti-VDR antibody.
-
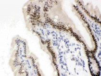
ARG40767 anti-VDR antibody IHC-P image
Immunohistochemistry: Paraffin-embedded Human intestinal cancer tissue stained with ARG40767 anti-VDR antibody.
