ARG59629
anti-VILIP3 antibody
anti-VILIP3 antibody for IHC-Formalin-fixed paraffin-embedded sections,Western blot and Human,Mouse
Overview
| Product Description | Rabbit Polyclonal antibody recognizes VILIP3 |
|---|---|
| Tested Reactivity | Hu, Ms |
| Tested Application | IHC-P, WB |
| Host | Rabbit |
| Clonality | Polyclonal |
| Isotype | IgG |
| Target Name | VILIP3 |
| Antigen Species | Human |
| Immunogen | KLH-conjugated synthetic peptide between aa. 2-32 of Human VILIP3. |
| Conjugation | Un-conjugated |
| Alternate Names | Calcium-binding protein BDR-1; BDR1; Visinin-like protein 3; HLP2; Hippocalcin-like protein 1; VILIP-3 |
Application Instructions
| Application Suggestion |
|
||||||
|---|---|---|---|---|---|---|---|
| Application Note | * The dilutions indicate recommended starting dilutions and the optimal dilutions or concentrations should be determined by the scientist. | ||||||
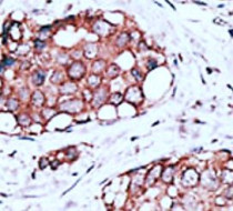
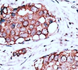
| Positive Control | Mouse cerebellum |
Properties
| Form | Liquid |
|---|---|
| Purification | Purification with Protein G. |
| Buffer | PBS and 0.09% (W/V) Sodium azide. |
| Preservative | 0.09% (W/V) Sodium azide |
| Storage Instruction | For continuous use, store undiluted antibody at 2-8°C for up to a week. For long-term storage, aliquot and store at -20°C or below. Storage in frost free freezers is not recommended. Avoid repeated freeze/thaw cycles. Suggest spin the vial prior to opening. The antibody solution should be gently mixed before use. |
| Note | For laboratory research only, not for drug, diagnostic or other use. |
Bioinformation
| Database Links | |
|---|---|
| Gene Symbol | HPCAL1 |
| Gene Full Name | hippocalcin-like 1 |
| Background | The protein encoded by this gene is a member of neuron-specific calcium-binding proteins family found in the retina and brain. It is highly similar to human hippocalcin protein and nearly identical to the rat and mouse hippocalcin like-1 proteins. It may be involved in the calcium-dependent regulation of rhodopsin phosphorylation and may be of relevance for neuronal signalling in the central nervous system. Several alternatively spliced transcript variants encoding the same protein have been found for this gene. [provided by RefSeq, Apr 2012] |
| Function | May be involved in the calcium-dependent regulation of rhodopsin phosphorylation. [UniProt] |
| Cellular Localization | Membrane; Lipid-anchor. [UniProt] |
| Calculated MW | 22 kDa |
Images (2) Click the Picture to Zoom In
