ARG46636
anti-VISTA antibody [4C4]
anti-VISTA antibody [4C4] for Western blot,IHC-Formalin-fixed paraffin-embedded sections,ICC/IF,Flow cytometry and Human
Overview
| Product Description | Mouse Monoclonal antibody [4C4] recognizes VISTA |
|---|---|
| Tested Reactivity | Hu |
| Tested Application | FACS, ICC/IF, IHC-P, WB |
| Host | Mouse |
| Clonality | Monoclonal |
| Clone | 4C4 |
| Isotype | IgG1 |
| Target Name | VISTA |
| Antigen Species | Human |
| Immunogen | Extracellular domain of human VISTA. |
| Conjugation | Un-conjugated |
| Alternate Names | VSIR; B7H5; PP2135; GI24; Sisp-1; B7-H5; VISTA; DD1alpha; Platelet receptor Gi24; Stress-induced secreted protein-1; SISP1 |
Application Instructions
| Application Suggestion |
|
||||||||||
|---|---|---|---|---|---|---|---|---|---|---|---|
| Application Note | * The dilutions indicate recommended starting dilutions and the optimal dilutions or concentrations should be determined by the scientist. | ||||||||||
| Observed Size | 47 kDa |
Properties
| Purification | Purification with Protein A |
|---|---|
| Buffer | PBS and 0.02% Sodium azide. |
| Preservative | 0.02% Sodium azide |
| Concentration | 1 mg/ml |
| Storage Instruction | For continuous use, store undiluted antibody at 2-8°C for up to a week. For long-term storage, aliquot and store at -20°C. Storage in frost free freezers is not recommended. Avoid repeated freeze/thaw cycles. Suggest spin the vial prior to opening. The antibody solution should be gently mixed before use. |
| Note | For laboratory research only, not for drug, diagnostic or other use. |
Bioinformation
| Database Links | |
|---|---|
| Gene Symbol | VSIR |
| Gene Full Name | chromosome 10 open reading frame 54 |
| Function | May stimulate MMP14-mediated MMP2 activation. [UniProt] |
| Cellular Localization | Cytoplasm, Membrane |
| Calculated MW | 31 kDa |
| PTM | At the cell surface, may be cleaved by MMP14. N-glycosylated. |
Images (3) Click the Picture to Zoom In
-
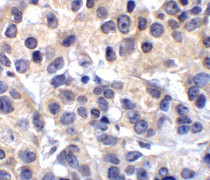
ARG46636 anti-VISTA antibody [4C4] IHC-P image
Immunohistochemistry: Human lymphoma stained with ARG46636 anti-VISTA antibody [4C4].
-
ARG46636 anti-VISTA antibody [4C4] ICC/IF image
Immunofluorescence: Transfected HEK293T cells stained with ARG46636 anti-VISTA antibody [4C4].
-
ARG46636 anti-VISTA antibody [4C4] WB image
Western blot: VISTA transfected HEK293T cells stained with ARG46636 anti-VISTA antibody [4C4].
