ARG55012
anti-VTI1A antibody
anti-VTI1A antibody for Flow cytometry,IHC-Formalin-fixed paraffin-embedded sections,Western blot and Human
Neuroscience antibody; Signaling Transduction antibody
Overview
| Product Description | Rabbit Polyclonal antibody recognizes VTI1A |
|---|---|
| Tested Reactivity | Hu |
| Tested Application | FACS, IHC-P, WB |
| Host | Rabbit |
| Clonality | Polyclonal |
| Isotype | IgG |
| Target Name | VTI1A |
| Antigen Species | Human |
| Immunogen | KLH-conjugated synthetic peptide corresponding to aa. 140-169 (C-terminus) of Human VTI1A. |
| Conjugation | Un-conjugated |
| Alternate Names | MVti1; MMDS3; Vti1-rp2; Vesicle transport through interaction with t-SNAREs homolog 1A; Vesicle transport v-SNARE protein Vti1-like 2; VTI1RP2 |
Application Instructions
| Application Suggestion |
|
||||||||
|---|---|---|---|---|---|---|---|---|---|
| Application Note | * The dilutions indicate recommended starting dilutions and the optimal dilutions or concentrations should be determined by the scientist. | ||||||||
| Positive Control | U-251 MG |
Properties
| Form | Liquid |
|---|---|
| Purification | Purification with Protein A and immunogen peptide. |
| Buffer | PBS and 0.09% (W/V) Sodium azide |
| Preservative | 0.09% (W/V) Sodium azide |
| Storage Instruction | For continuous use, store undiluted antibody at 2-8°C for up to a week. For long-term storage, aliquot and store at -20°C or below. Storage in frost free freezers is not recommended. Avoid repeated freeze/thaw cycles. Suggest spin the vial prior to opening. The antibody solution should be gently mixed before use. |
| Note | For laboratory research only, not for drug, diagnostic or other use. |
Bioinformation
| Database Links |
Swiss-port # Q96AJ9 Human Vesicle transport through interaction with t-SNAREs homolog 1A |
|---|---|
| Gene Symbol | VTI1A |
| Gene Full Name | vesicle transport through interaction with t-SNAREs 1A |
| Function | V-SNARE that mediates vesicle transport pathways through interactions with t-SNAREs on the target membrane. These interactions are proposed to mediate aspects of the specificity of vesicle trafficking and to promote fusion of the lipid bilayers. Involved in vesicular transport from the late endosomes to the trans-Golgi network. Along with VAMP7, involved in an non-conventional RAB1-dependent traffic route to the cell surface used by KCNIP1 and KCND2. May be involved in increased cytokine secretion associated with cellular senescence. [UniProt] |
| Cellular Localization | Cytoplasmic vesicle. Golgi apparatus membrane; Single-pass type IV membrane protein |
| Research Area | Neuroscience antibody; Signaling Transduction antibody |
| Calculated MW | 25 kDa |
Images (3) Click the Picture to Zoom In
-
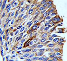
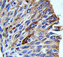
ARG55012 anti-VTI1A antibody IHC-P image
Immunohistochemistry: Formalin-fixed and paraffin-embedded Human lung carcinoma stained with ARG55012 anti-VTI1A antibody.
-
ARG55012 anti-VTI1A antibody WB image
Western blot: 35 µg of U-251 MG cell lysate stained with ARG55012 anti-VTI1A antibody at 1:1000 dilution.
-
ARG55012 anti-VTI1A antibody FACS image
Flow Cytometry: NCI-H292 cells stained with ARG55012 anti-VTI1A antibody (bottom histogram) or without primary antibody control (top histogram), followed by incubation with FITC labelled secondary antibody.
