ARG44767
anti-Villin antibody
anti-Villin antibody for IHC-Formalin-fixed paraffin-embedded sections,Immunoprecipitation,Western blot and Human
Overview
| Product Description | Mouse Monoclonal antibody recognizes Villin |
|---|---|
| Tested Reactivity | Hu |
| Tested Application | IHC-P, IP, WB |
| Host | Mouse |
| Clonality | Monoclonal |
| Isotype | IgG1 |
| Target Name | Villin |
| Antigen Species | Human |
| Conjugation | Un-conjugated |
| Alternate Names | Villin-1; D2S1471; VIL |
Application Instructions
| Application Suggestion |
|
||||||||
|---|---|---|---|---|---|---|---|---|---|
| Application Note | * The dilutions indicate recommended starting dilutions and the optimal dilutions or concentrations should be determined by the scientist. |
Properties
| Form | Liquid |
|---|---|
| Purification | Protein A purification |
| Buffer | PBS with 0.09% sodium azide |
| Storage Instruction | For continuous use, store undiluted antibody at 2-8°C for up to a week. For long-term storage, aliquot and store at -20°C or below. Storage in frost free freezers is not recommended. Avoid repeated freeze/thaw cycles. Suggest spin the vial prior to opening. The antibody solution should be gently mixed before use. |
| Note | For laboratory research only, not for drug, diagnostic or other use. |
Bioinformation
| Database Links | |
|---|---|
| Gene Symbol | VIL1 |
| Gene Full Name | villin 1 |
| Background | This gene encodes a member of a family of calcium-regulated actin-binding proteins. This protein represents a dominant part of the brush border cytoskeleton which functions in the capping, severing, and bundling of actin filaments. Two mRNAs of 2.7 kb and 3.5 kb have been observed; they result from utilization of alternate poly-adenylation signals present in the terminal exon. [provided by RefSeq, Jul 2008] |
| Function | E3 ubiquitin-protein ligase that is an intermolecular hub protein in the cell cycle network. Through cooperative DNA and histone binding, may contribute to a tighter epigenetic control of gene expression in differentiated cells. Ubiquitinates cyclins, CCND1 and CCNE1, in an apparently phosphorylation-independent manner and induces G1 arrest. Also ubiquitinates PCNP leading to its degradation by the proteasome. E3 SUMO-, but not ubiquitin-, protein ligase for ZNF131. [UniProt] |
| Cellular Localization | Cytoplasm, cytoskeleton. Cell projection, lamellipodium. Cell projection, ruffle. Cell projection, microvillus. Cell projection, filopodium tip. Cell projection, filopodium. Note=Relocalized in the tip of cellular protrusions and filipodial extensions upon infection with S.flexneri in primary intestinal epithelial cells (IEC) and in the tail-like structures forming the actin comets of S.flexneri. Redistributed to the leading edge of hepatocyte growth factor (HGF)-induced lamellipodia. [UniProt] |
| Calculated MW | 93 kDa |
| PTM | Tyrosine phosphorylation is induced by epidermal growth factor (EGF) and stimulates cell migration (By similarity). Phosphorylated on tyrosine residues by SRC. The unphosphorylated form increases the initial rate of actin-nucleating activity, whereas the tyrosine-phosphorylated form inhibits actin-nucleating activity, enhances actin-bundling activity and enhances actin-severing activity by reducing high Ca(2+) requirements. The tyrosine-phosphorylated form does not regulate actin-capping activity. Tyrosine phosphorylation is essential for cell migration: tyrosine phosphorylation sites in the N-terminus half regulate actin reorganization and cell morphology, whereas tyrosine phosphorylation sites in the C-terminus half regulate cell migration via interaction with PLCG1. [UniProt] |
Images (3) Click the Picture to Zoom In
-
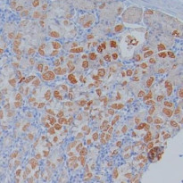
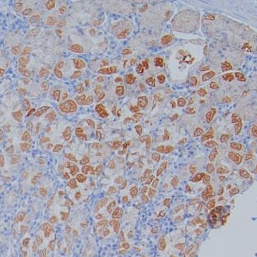
ARG44767 anti-Villin antibody IHC-P image
Immunohistochemistry: Human stomach stained with ARG44767 anti-Villin antibody at 4 µg/mL dilution.
-
ARG44767 anti-Villin antibody WB image
Western blot: Caco2 stained with ARG44767 anti-Villin antibody at 1 µg/mL dilution.
-
ARG44767 anti-Villin antibody IP image
Immunoprecipitation: Caco2 lysate immunoprecipitated with 2.5 µg of ARG44767 anti-Villin antibody.
