ARG44985
anti-WDR59 antibody
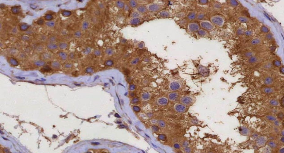
anti-WDR59 antibody for IHC-Formalin-fixed paraffin-embedded sections and Human
Overview
| Product Description | Mouse Monoclonal antibody recognizes WDR59 |
|---|---|
| Tested Reactivity | Hu |
| Tested Application | IHC-P |
| Host | Mouse |
| Clonality | Monoclonal |
| Isotype | IgG1 |
| Target Name | WDR59 |
| Antigen Species | Human |
| Epitope | RKQKEGSKDY QLVTWSRDQT LRMWRVDSQM QRLCANDILD GVDEFIESIS LLPEPEKTLH TEDTDHQHTA SHGEEEALKE DPPRNLLEER KSDQLGLPQT |
| Conjugation | Un-conjugated |
| Alternate Names | WDR59; WD Repeat Domain59; WD Repeat-Containing Protein59; GATOR2 Complex Protein WDR59; FLJ12270; GATOR Complex Protein WDR59; CDw12 Antigen; KIAA1923; P90-120; CDW12; FP977 |
Application Instructions
| Application Suggestion |
|
||||
|---|---|---|---|---|---|
| Application Note | * The dilutions indicate recommended starting dilutions and the optimal dilutions or concentrations should be determined by the scientist. |
Properties
| Form | Liquid |
|---|---|
| Purification | Protein A purification |
| Buffer | PBS with0.09% sodium azide |
| Preservative | 0.09% sodium azide |
| Storage Instruction | For continuous use, store undiluted antibody at2-8°C for up to a week. For long-term storage, aliquot and store at -20°C or below. Storage in frost free freezers is not recommended. Avoid repeated freeze/thaw cycles. Suggest spin the vial prior to opening. The antibody solution should be gently mixed before use. |
| Note | For laboratory research only, not for drug, diagnostic or other use. |
Bioinformation
| Database Links | |
|---|---|
| Gene Symbol | WDR59 |
| Gene Full Name | WD Repeat Domain59 |
| Background | Involved in cellular response to amino acid starvation and positive regulation of TOR signaling. Located in lysosomal membrane. Part of GATOR2 complex. [provided by Alliance of Genome Resources, Apr2022] |
| Function | In the absence of amino acids, GATOR2 is inhibited, activating the GATOR1 complex. [Uniprot] |
| Cellular Localization | Lysosome, Membrane. [Uniprot] |
| PTM | Phosphoprotein. [Uniprot] |
Images (1) Click the Picture to Zoom In
