ARG43084
anti-WDR83 / Morg1 antibody
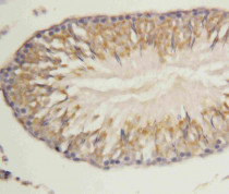
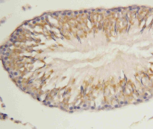
anti-WDR83 / Morg1 antibody for IHC-Formalin-fixed paraffin-embedded sections,Western blot and Rat
Overview
| Product Description | Rabbit Polyclonal antibody recognizes WDR83 / Morg1 |
|---|---|
| Tested Reactivity | Rat |
| Predict Reactivity | Hu, Ms, Chk |
| Tested Application | IHC-P, WB |
| Host | Rabbit |
| Clonality | Polyclonal |
| Isotype | IgG |
| Target Name | WDR83 / Morg1 |
| Antigen Species | Human |
| Immunogen | Synthetic peptide corresponding to aa. 29-43 of Human WDR83 / Morg1. (RAVRFNVDGNYCLTC) |
| Conjugation | Un-conjugated |
| Alternate Names | MAPK organizer 1; Mitogen-activated protein kinase organizer 1; WD repeat domain-containing protein 83; MORG1 |
Application Instructions
| Application Suggestion |
|
||||||
|---|---|---|---|---|---|---|---|
| Application Note | * The dilutions indicate recommended starting dilutions and the optimal dilutions or concentrations should be determined by the scientist. | ||||||
| Positive Control | Rat brain | ||||||
| Observed Size | ~ 35 kDa |
Properties
| Form | Liquid |
|---|---|
| Purification | Affinity purification with immunogen. |
| Buffer | 0.2% Na2HPO4, 0.9% NaCl, 0.05% Thimerosal, 0.05% Sodium azide and 5% BSA. |
| Preservative | 0.05% Thimerosal and 0.05% Sodium azide |
| Stabilizer | 5% BSA |
| Concentration | 0.5 mg/ml |
| Storage Instruction | For continuous use, store undiluted antibody at 2-8°C for up to a week. For long-term storage, aliquot and store at -20°C or below. Storage in frost free freezers is not recommended. Avoid repeated freeze/thaw cycles. Suggest spin the vial prior to opening. The antibody solution should be gently mixed before use. |
| Note | For laboratory research only, not for drug, diagnostic or other use. |
Bioinformation
| Database Links |
Swiss-port # Q5BLX8 Rat WD repeat domain-containing protein 83 |
|---|---|
| Gene Symbol | WDR83 |
| Gene Full Name | WD repeat domain 83 |
| Background | This gene encodes a member of the WD-40 protein family. The protein is proposed to function as a molecular scaffold for various multimeric protein complexes. The protein associates with several components of the extracellular signal-regulated kinase (ERK) pathway, and promotes ERK activity in response to serum or other signals. The protein also interacts with egl nine homolog 3 (EGLN3, also known as PHD3) and regulates expression of hypoxia-inducible factor 1, and has been purified as part of the spliceosome. Alternative splicing results in multiple transcript variants. [provided by RefSeq, Oct 2009] |
| Function | Molecular scaffold protein for various multimeric protein complexes. Acts as a module in the assembly of a multicomponent scaffold for the ERK pathway, linking ERK responses to specific agonists. At low concentrations it enhances ERK activation, whereas high concentrations lead to the inhibition of ERK activation. Also involved in response to hypoxia by acting as a negative regulator of HIF1A/HIF-1-alpha via its interaction with EGLN3/PHD3. May promote degradation of HIF1A. May act by recruiting signaling complexes to a specific upstream activator (By similarity). May also be involved in pre-mRNA splicing. [UniProt] |
| Cellular Localization | Cytoplasm. Nucleus. Note=Predominantly cytoplasmic. Partially nuclear. [UniProt] |
| Calculated MW | 34 kDa |
Images (2) Click the Picture to Zoom In
