ARG59467
anti-WNK1 antibody
anti-WNK1 antibody for IHC-Formalin-fixed paraffin-embedded sections and Human,Mouse,Rat
Overview
| Product Description | Rabbit Polyclonal antibody recognizes WNK1 |
|---|---|
| Tested Reactivity | Hu, Ms, Rat |
| Predict Reactivity | Hm |
| Tested Application | IHC-P |
| Host | Rabbit |
| Clonality | Polyclonal |
| Isotype | IgG |
| Target Name | WNK1 |
| Antigen Species | Human |
| Immunogen | Synthetic peptide corresponding to aa. 1154-1195 of Human WNK1. (DNPEEIATIMVNNDFILAIERESFVDQVREIIEKADEMLSED) |
| Conjugation | Un-conjugated |
| Alternate Names | PSK; p65; PRKWNK1; Serine/threonine-protein kinase WNK1; Protein kinase lysine-deficient 1; PPP1R167; Erythrocyte 65 kDa protein; hWNK1; Kinase deficient protein; EC 2.7.11.1; HSN2; KDP; HSAN2; Protein kinase with no lysine 1 |
Application Instructions
| Application Suggestion |
|
||||
|---|---|---|---|---|---|
| Application Note | IHC-P: Antigen Retrieval: By heat mediation. * The dilutions indicate recommended starting dilutions and the optimal dilutions or concentrations should be determined by the scientist. |
Properties
| Form | Liquid |
|---|---|
| Purification | Affinity purification with immunogen. |
| Buffer | 0.9% NaCl, 0.2% Na2HPO4, 0.05% Sodium azide and 5% BSA. |
| Preservative | 0.05% Sodium azide |
| Stabilizer | 5% BSA |
| Concentration | 0.5 mg/ml |
| Storage Instruction | For continuous use, store undiluted antibody at 2-8°C for up to a week. For long-term storage, aliquot and store at -20°C or below. Storage in frost free freezers is not recommended. Avoid repeated freeze/thaw cycles. Suggest spin the vial prior to opening. The antibody solution should be gently mixed before use. |
| Note | For laboratory research only, not for drug, diagnostic or other use. |
Bioinformation
| Database Links | |
|---|---|
| Gene Symbol | WNK1 |
| Gene Full Name | WNK lysine deficient protein kinase 1 |
| Background | This gene encodes a member of the WNK subfamily of serine/threonine protein kinases. The encoded protein may be a key regulator of blood pressure by controlling the transport of sodium and chloride ions. Mutations in this gene have been associated with pseudohypoaldosteronism type II and hereditary sensory neuropathy type II. Alternatively spliced transcript variants encoding different isoforms have been described but the full-length nature of all of them has yet to be determined.[provided by RefSeq, May 2010] |
| Function | Serine/threonine kinase which plays an important role in the regulation of electrolyte homeostasis, cell signaling, survival, and proliferation. Acts as an activator and inhibitor of sodium-coupled chloride cotransporters and potassium-coupled chloride cotransporters respectively. Activates SCNN1A, SCNN1B, SCNN1D and SGK1. Controls sodium and chloride ion transport by inhibiting the activity of WNK4, by either phosphorylating the kinase or via an interaction between WNK4 and the autoinhibitory domain of WNK1. WNK4 regulates the activity of the thiazide-sensitive Na-Cl cotransporter, SLC12A3, by phosphorylation. WNK1 may also play a role in actin cytoskeletal reorganization. Phosphorylates NEDD4L. Acts as a scaffold to inhibit SLC4A4, SLC26A6 as well as CFTR activities and surface expression, recruits STK39 which mediates the inhibition (By similarity). [UniProt] |
| Cellular Localization | Cytoplasm. [UniProt] |
| Calculated MW | 251 kDa |
| PTM | O-glycosylated. Ubiquitinated in vitro by the BCR(KLHL3) complex and in vivo by a BCR(KLHL2) complex, leading to proteasomal degradation. [UniProt] |
Images (3) Click the Picture to Zoom In
-
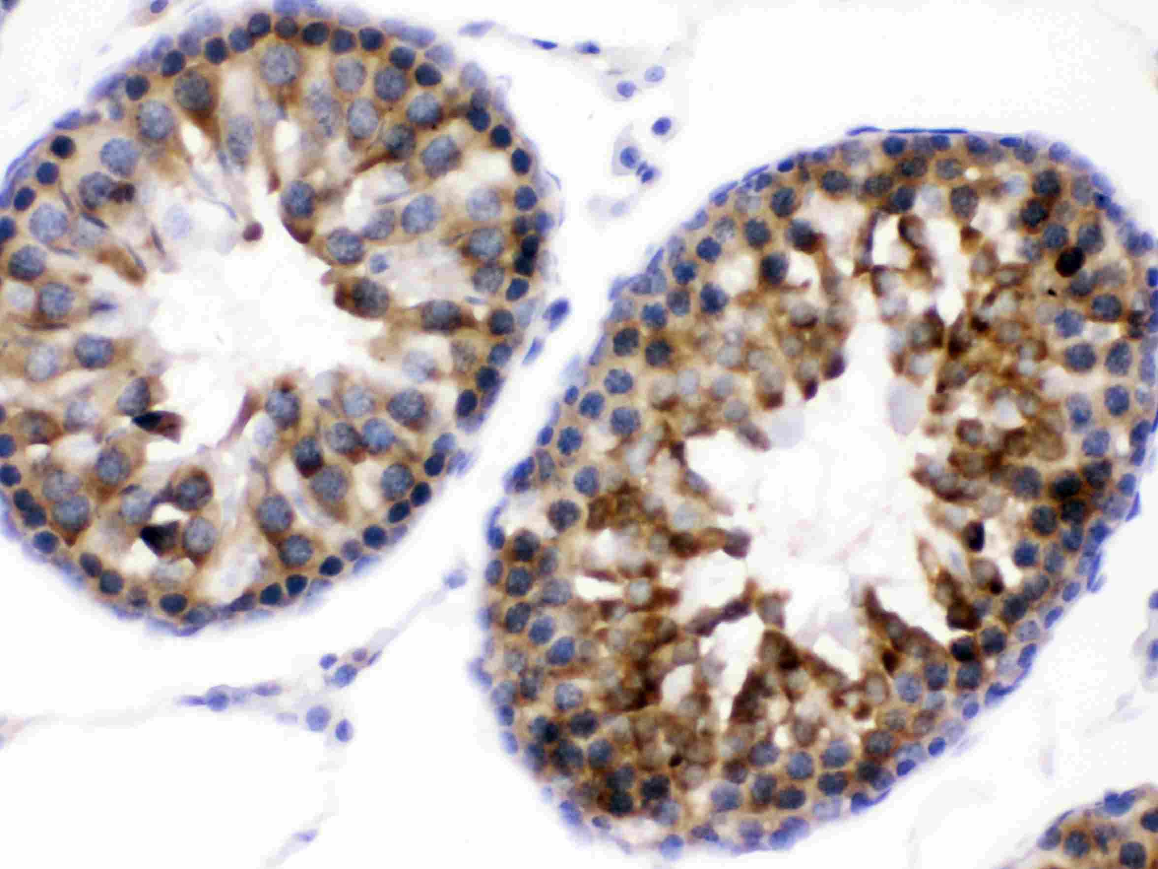
ARG59467 anti-WNK1 antibody IHC-P image
Immunohistochemistry: Paraffin-embedded Mouse testis stained with ARG59467 anti-WNK1 antibody at 1 µg/ml dilution.
-
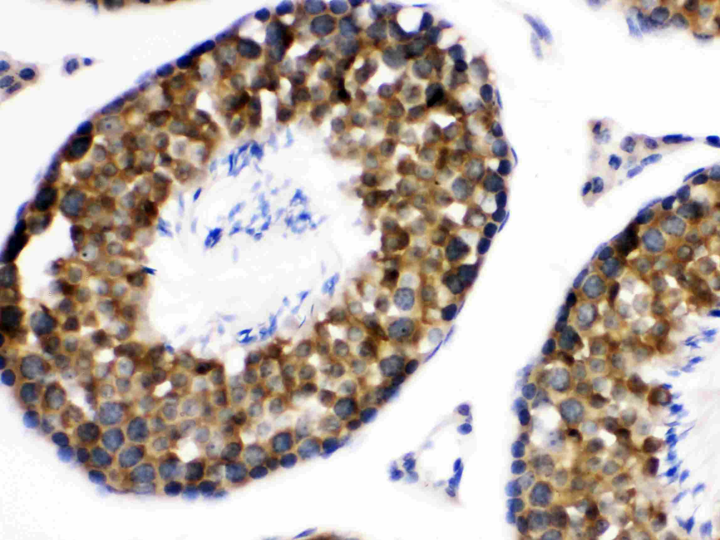
ARG59467 anti-WNK1 antibody IHC-P image
Immunohistochemistry: Paraffin-embedded Rat testis stained with ARG59467 anti-WNK1 antibody at 1 µg/ml dilution.
-
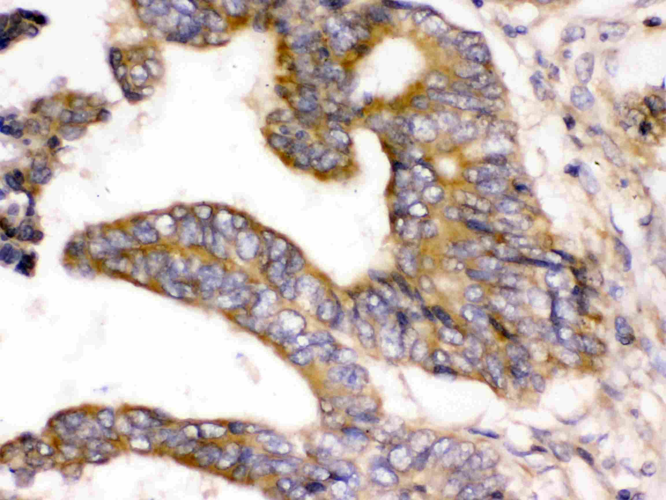
ARG59467 anti-WNK1 antibody IHC-P image
Immunohistochemistry: Paraffin-embedded Human intestinal cancer stained with ARG59467 anti-WNK1 antibody at 1 µg/ml dilution.
