ARG66833
anti-WWOX phospho (Tyr33) antibody
anti-WWOX phospho (Tyr33) antibody for IHC-Formalin-fixed paraffin-embedded sections,Western blot and Human
Overview
| Product Description | Rabbit Polyclonal antibody recognizes WWOX phospho (Tyr33) |
|---|---|
| Tested Reactivity | Hu |
| Predict Reactivity | Ms |
| Tested Application | IHC-P, WB |
| Host | Rabbit |
| Clonality | Polyclonal |
| Isotype | IgG |
| Target Name | WWOX |
| Antigen Species | Human |
| Immunogen | Phosphospecific peptide around Tyr33 (between aa. 18-67) of Human WWOX. |
| Conjugation | Un-conjugated |
| Alternate Names | D16S432E; EC 1.1.1.-; FRA16D; FOR; WOX1; EIEE28; WW domain-containing oxidoreductase; Short chain dehydrogenase/reductase family 41C member 1; SCAR12; Fragile site FRA16D oxidoreductase; HHCMA56; PRO0128; SDR41C1 |
Application Instructions
| Application Suggestion |
|
||||||
|---|---|---|---|---|---|---|---|
| Application Note | * The dilutions indicate recommended starting dilutions and the optimal dilutions or concentrations should be determined by the scientist. |
Properties
| Form | Liquid |
|---|---|
| Purification | Affinity purification with immunogen. |
| Buffer | PBS, 0.02% Sodium azide, 50% Glycerol and 0.5% BSA. |
| Preservative | 0.02% Sodium azide |
| Stabilizer | 50% Glycerol and 0.5% BSA |
| Concentration | 1 mg/ml |
| Storage Instruction | For continuous use, store undiluted antibody at 2-8°C for up to a week. For long-term storage, aliquot and store at -20°C. Storage in frost free freezers is not recommended. Avoid repeated freeze/thaw cycles. Suggest spin the vial prior to opening. The antibody solution should be gently mixed before use. |
| Note | For laboratory research only, not for drug, diagnostic or other use. |
Bioinformation
| Database Links |
Swiss-port # Q9NZC7 Human WW domain-containing oxidoreductase |
|---|---|
| Gene Symbol | WWOX |
| Gene Full Name | WW domain containing oxidoreductase |
| Background | This gene encodes a member of the short-chain dehydrogenases/reductases (SDR) protein family. This gene spans the FRA16D common chromosomal fragile site and appears to function as a tumor suppressor gene. Expression of the encoded protein is able to induce apoptosis, while defects in this gene are associated with multiple types of cancer. Disruption of this gene is also associated with autosomal recessive spinocerebellar ataxia 12. Disruption of a similar gene in mouse results in impaired steroidogenesis, additionally suggesting a metabolic function for the protein. Alternative splicing results in multiple transcript variants. [provided by RefSeq, May 2014] |
| Function | Putative oxidoreductase. Acts as a tumor suppressor and plays a role in apoptosis. Required for normal bone development (By similarity). May function synergistically with p53/TP53 to control genotoxic stress-induced cell death. Plays a role in TGFB1 signaling and TGFB1-mediated cell death. May also play a role in tumor necrosis factor (TNF)-mediated cell death. Inhibits Wnt signaling, probably by sequestering DVL2 in the cytoplasm. [UniProt] |
| Cellular Localization | Cytoplasm. Nucleus. Mitochondrion. Golgi apparatus. Note=Partially localizes to the mitochondria (PubMed:14695174). Translocates to the nucleus upon genotoxic stress or TNF stimulation (By similarity). Translocates to the nucleus in response to TGFB1 (PubMed:19366691). Isoform 5 and isoform 6 may localize in the nucleus. [UniProt] |
| Calculated MW | 47 kDa |
| PTM | Phosphorylated upon genotoxic stress. Phosphorylation of Tyr-33 regulates interaction with TP53, TP73 and MAPK8. May also regulate proapoptotic activity. Phosphorylation by TNK2 is associated with polyubiquitination and degradation. Ubiquitinated when phosphorylated by TNK2, leading to its degradation. [UniProt] |
Images (2) Click the Picture to Zoom In
-
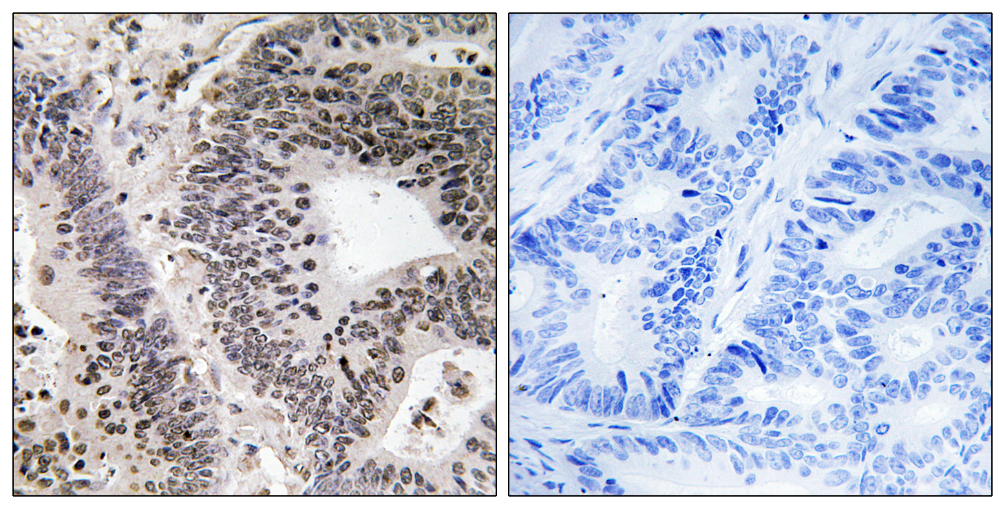
ARG66833 anti-WWOX phospho (Tyr33) antibody IHC-P image
Immunohistochemistry: Paraffin-embedded Human colon carcinoma tissue stained with ARG66833 anti-WWOX phospho (Tyr33) antibody. The picture on the right is blocked with the phospho peptide.
-
ARG66833 anti-WWOX phospho (Tyr33) antibody WB image
Western blot: HepG2 cells treated with PMA (125 ng/ml for 30 min). Cell lysates were stained with ARG66833 anti-WWOX phospho (Tyr33) antibody. The lane on the right is blocked with the phospho peptide.
