ARG57625
anti-Wnt10a antibody
anti-Wnt10a antibody for IHC-Formalin-fixed paraffin-embedded sections,Western blot and Human,Mouse
Overview
| Product Description | Rabbit Polyclonal antibody recognizes Wnt10a |
|---|---|
| Tested Reactivity | Hu, Ms |
| Tested Application | IHC-P, WB |
| Specificity | This Wnt10a antibody is predicted to not cross-react with Wnt10b. |
| Host | Rabbit |
| Clonality | Polyclonal |
| Isotype | IgG |
| Target Name | Wnt10a |
| Antigen Species | Human |
| Immunogen | Synthetic peptide (14 aa) within aa. 300-350 of Human Wnt10a. |
| Conjugation | Un-conjugated |
| Alternate Names | STHAG4; Protein Wnt-10a; SSPS; OODD |
Application Instructions
| Application Suggestion |
|
||||||
|---|---|---|---|---|---|---|---|
| Application Note | * The dilutions indicate recommended starting dilutions and the optimal dilutions or concentrations should be determined by the scientist. | ||||||
| Positive Control | RAW264.7 cell lysate. | ||||||
| Observed Size | 46 kDa |
Properties
| Form | Liquid |
|---|---|
| Purification | Affinity purification with immunogen. |
| Buffer | PBS and 0.02% Sodium azide |
| Preservative | 0.02% Sodium azide |
| Concentration | 1 mg/ml |
| Storage Instruction | For continuous use, store undiluted antibody at 2-8°C for up to a week. For long-term storage, aliquot and store at -20°C or below. Storage in frost free freezers is not recommended. Avoid repeated freeze/thaw cycles. Suggest spin the vial prior to opening. The antibody solution should be gently mixed before use. |
| Note | For laboratory research only, not for drug, diagnostic or other use. |
Bioinformation
| Database Links | |
|---|---|
| Gene Symbol | WNT10A |
| Gene Full Name | wingless-type MMTV integration site family, member 10A |
| Background | The WNT gene family consists of structurally related genes which encode secreted signaling proteins. These proteins have been implicated in oncogenesis and in several developmental processes, including regulation of cell fate and patterning during embryogenesis. This gene is a member of the WNT gene family. It is strongly expressed in the cell lines of promyelocytic leukemia and Burkitt's lymphoma. In addition, it and another family member, the WNT6 gene, are strongly coexpressed in colorectal cancer cell lines. The gene overexpression may play key roles in carcinogenesis through activation of the WNT-beta-catenin-TCF signaling pathway. This gene and the WNT6 gene are clustered in the chromosome 2q35 region. [provided by RefSeq, Jul 2008] |
| Function | Ligand for members of the frizzled family of seven transmembrane receptors. Probable developmental protein. May be a signaling molecule important in CNS development. Is likely to signal over only few cell diameters. [UniProt] |
| Calculated MW | 46 kDa |
| PTM | Palmitoleylation is required for efficient binding to frizzled receptors. Depalmitoleylation leads to Wnt signaling pathway inhibition. [UniProt] |
Images (4) Click the Picture to Zoom In
-
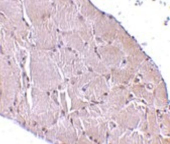
ARG57625 anti-Wnt10a antibody IHC-P image
Immunohistochemistry: Human skeletal muscle tissue stained with ARG57625 anti-Wnt10a antibody at 20 µg/ml dilution.
-
ARG57625 anti-Wnt10a antibody WB image
Western blot: RAW264.7 cell lysate stained with ARG57625 anti-Wnt10a antibody at 1 and 2 µg/ml dilution.
-
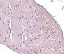
ARG57625 anti-Wnt10a antibody IHC-P image
Immunohistochemistry: Mouse skeletal muscle tissue stained with ARG57625 anti-Wnt10a antibody at 5 µg/ml dilution.
-
ARG57625 anti-Wnt10a antibody IHC-P image
Immunohistochemistry: Human skeletal muscle tissue stained with ARG57625 anti-Wnt10a antibody at 10 µg/ml dilution.
