ARG59244
anti-Wnt2b antibody
anti-Wnt2b antibody for IHC-Formalin-fixed paraffin-embedded sections,Western blot and Human
Overview
| Product Description | Rabbit Polyclonal antibody recognizes Wnt2b |
|---|---|
| Tested Reactivity | Hu |
| Predict Reactivity | Ms, Rat, Cow, Dog, Gpig, Hrs, Rb |
| Tested Application | IHC-P, WB |
| Host | Rabbit |
| Clonality | Polyclonal |
| Isotype | IgG |
| Target Name | Wnt2b |
| Antigen Species | Human |
| Immunogen | Synthetic peptide around the middle region of Human Wnt2b. (within the following region: LRTCWRALSDFRRTGDYLRRRYDGAVQVMATQDGANFTAARQGYRRATRT) |
| Conjugation | Un-conjugated |
| Alternate Names | Protein Wnt-13; WNT13; Protein Wnt-2b |
Application Instructions
| Predict Reactivity Note | Predicted Homology Based On Immunogen Sequence: Cow: 100%; Dog: 100%; Guinea Pig: 100%; Horse: 100%; Mouse: 100%; Rabbit: 100%; Rat: 100% | ||||||
|---|---|---|---|---|---|---|---|
| Application Suggestion |
|
||||||
| Application Note | * The dilutions indicate recommended starting dilutions and the optimal dilutions or concentrations should be determined by the scientist. | ||||||
| Positive Control | HepG2 | ||||||
| Observed Size | 37 kDa |
Properties
| Form | Liquid |
|---|---|
| Purification | Affinity purified. |
| Buffer | PBS, 0.09% (w/v) Sodium azide and 2% Sucrose. |
| Preservative | 0.09% (w/v) Sodium azide |
| Stabilizer | 2% Sucrose |
| Concentration | Batch dependent: 0.5 - 1 mg/ml |
| Storage Instruction | For continuous use, store undiluted antibody at 2-8°C for up to a week. For long-term storage, aliquot and store at -20°C or below. Storage in frost free freezers is not recommended. Avoid repeated freeze/thaw cycles. Suggest spin the vial prior to opening. The antibody solution should be gently mixed before use. |
| Note | For laboratory research only, not for drug, diagnostic or other use. |
Bioinformation
| Database Links | |
|---|---|
| Gene Symbol | WNT2B |
| Gene Full Name | wingless-type MMTV integration site family, member 2B |
| Background | This gene encodes a member of the wingless-type MMTV integration site (WNT) family of highly conserved, secreted signaling factors. WNT family members function in a variety of developmental processes including regulation of cell growth and differentiation and are characterized by a WNT-core domain. This gene may play a role in human development as well as carcinogenesis. Alternative splicing results in multiple transcript variants. [provided by RefSeq, May 2014] |
| Function | Ligand for members of the frizzled family of seven transmembrane receptors. Probable developmental protein. May be a signaling molecule which affects the development of discrete regions of tissues. Is likely to signal over only few cell diameters. May be involved in normal development or differentiation as well as in carcinogenesis. [UniProt] |
| Cellular Localization | Secreted, extracellular space, extracellular matrix. Secreted. [UniProt] |
| Calculated MW | 44 kDa |
| PTM | Palmitoleylation is required for efficient binding to frizzled receptors. Depalmitoleylation leads to Wnt signaling pathway inhibition. [UniProt] |
Images (2) Click the Picture to Zoom In
-
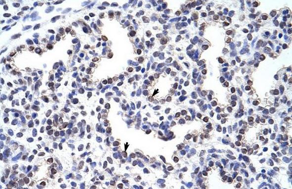
ARG59244 anti-Wnt2b antibody IHC-P image
Immunohistochemistry: Paraffin-embedded Human lung stained with ARG59244 anti-Wnt2b antibody at 4.0 - 8.0 µg/ml dilution. Magnification: 400X.
-
ARG59244 anti-Wnt2b antibody WB image
Western blot: HepG2 cell lysate stained with ARG59244 anti-Wnt2b antibody at 1.0 µg/ml dilution.
