ARG63965
anti-Wnt3 antibody
anti-Wnt3 antibody for IHC-Formalin-fixed paraffin-embedded sections,Western blot and Human
Developmental Biology antibody; Neuroscience antibody; Signaling Transduction antibody
Overview
| Product Description | Goat Polyclonal antibody recognizes Wnt3 |
|---|---|
| Tested Reactivity | Hu |
| Predict Reactivity | Ms, Rat, Dog |
| Tested Application | IHC-P, WB |
| Host | Goat |
| Clonality | Polyclonal |
| Isotype | IgG |
| Target Name | Wnt3 |
| Antigen Species | Human |
| Immunogen | CGRGHNTRTEKRKEK |
| Conjugation | Un-conjugated |
| Alternate Names | Proto-oncogene Wnt-3; INT4; Proto-oncogene Int-4 homolog; TETAMS |
Application Instructions
| Application Suggestion |
|
||||||
|---|---|---|---|---|---|---|---|
| Application Note | IHC-P: Antigen Retrieval: Steam tissue section in Citrate buffer (pH 6.0). WB: Recommend incubate at RT for 1h. * The dilutions indicate recommended starting dilutions and the optimal dilutions or concentrations should be determined by the scientist. |
Properties
| Form | Liquid |
|---|---|
| Purification | Purified from goat serum by antigen affinity chromatography. |
| Buffer | Tris saline (pH 7.3), 0.02% Sodium azide and 0.5% BSA. |
| Preservative | 0.02% Sodium azide |
| Stabilizer | 0.5% BSA |
| Concentration | 0.5 mg/ml |
| Storage Instruction | For continuous use, store undiluted antibody at 2-8°C for up to a week. For long-term storage, aliquot and store at -20°C or below. Storage in frost free freezers is not recommended. Avoid repeated freeze/thaw cycles. Suggest spin the vial prior to opening. The antibody solution should be gently mixed before use. |
| Note | For laboratory research only, not for drug, diagnostic or other use. |
Bioinformation
| Database Links | |
|---|---|
| Background | The WNT gene family consists of structurally related genes which encode secreted signaling proteins. These proteins have been implicated in oncogenesis and in several developmental processes, including regulation of cell fate and patterning during embryogenesis. This gene is a member of the WNT gene family. It encodes a protein which shows 98% amino acid identity to mouse Wnt3 protein, and 84% to human WNT3A protein, another WNT gene product. The mouse studies show the requirement of Wnt3 in primary axis formation in the mouse. Studies of the gene expression suggest that this gene may play a key role in some cases of human breast, rectal, lung, and gastric cancer through activation of the WNT-beta-catenin-TCF signaling pathway. This gene is clustered with WNT15, another family member, in the chromosome 17q21 region. [provided by RefSeq, Jul 2008] |
| Research Area | Developmental Biology antibody; Neuroscience antibody; Signaling Transduction antibody |
| Calculated MW | 40 kDa |
| PTM | Palmitoleylation is required for efficient binding to frizzled receptors. Depalmitoleylation leads to Wnt signaling pathway inhibition. |
Images (2) Click the Picture to Zoom In
-
ARG63965 anti-Wnt3 antibody WB image
Western blot: HEK293 cell lysate (35 µg protein in RIPA buffer). stained with ARG63965 anti-Wnt3 antibody at 1 µg/ml dilution.
-
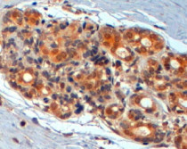
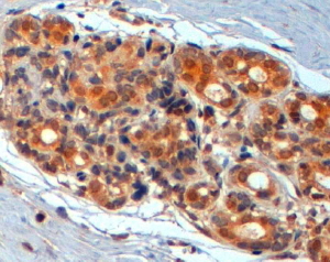
ARG63965 anti-Wnt3 antibody IHC-P image
Immunohistochemistry: Paraffin embedded Human Breast stained with ARG63965 anti-Wnt3 antibody (2µg/ml). Steamed antigen retrieval with citrate buffer pH 6, HRP-staining.
