ARG55444
anti-Wnt4 antibody
anti-Wnt4 antibody for Flow cytometry,IHC-Formalin-fixed paraffin-embedded sections,Western blot and Human,Mouse
Cancer antibody; Developmental Biology antibody; Signaling Transduction antibody
Overview
| Product Description | Rabbit Polyclonal antibody recognizes Wnt4 |
|---|---|
| Tested Reactivity | Hu, Ms |
| Predict Reactivity | Rat |
| Tested Application | FACS, IHC-P, WB |
| Host | Rabbit |
| Clonality | Polyclonal |
| Isotype | IgG |
| Target Name | Wnt4 |
| Antigen Species | Human |
| Immunogen | KLH-conjugated synthetic peptide corresponding to aa. 211-239 (Center) of Human Wnt4. |
| Conjugation | Un-conjugated |
| Alternate Names | Protein Wnt-4; SERKAL; WNT-4 |
Application Instructions
| Application Suggestion |
|
||||||||
|---|---|---|---|---|---|---|---|---|---|
| Application Note | * The dilutions indicate recommended starting dilutions and the optimal dilutions or concentrations should be determined by the scientist. | ||||||||
| Positive Control | Mouse bladder |
Properties
| Form | Liquid |
|---|---|
| Purification | This antibody is prepared by Saturated Ammonium Sulfate (SAS) precipitation followed by dialysis against PBS. |
| Buffer | PBS and 0.09% (W/V) Sodium azide |
| Preservative | 0.09% (W/V) Sodium azide |
| Storage Instruction | For continuous use, store undiluted antibody at 2-8°C for up to a week. For long-term storage, aliquot and store at -20°C or below. Storage in frost free freezers is not recommended. Avoid repeated freeze/thaw cycles. Suggest spin the vial prior to opening. The antibody solution should be gently mixed before use. |
| Note | For laboratory research only, not for drug, diagnostic or other use. |
Bioinformation
| Database Links | |
|---|---|
| Gene Symbol | WNT4 |
| Gene Full Name | wingless-type MMTV integration site family, member 4 |
| Background | The WNT gene family consists of structurally related genes which encode secreted signaling proteins. These proteins have been implicated in oncogenesis and in several developmental processes, including regulation of cell fate and patterning during embryogenesis. This gene is a member of the WNT gene family, and is the first signaling molecule shown to influence the sex-determination cascade. It encodes a protein which shows 98% amino acid identity to the Wnt4 protein of mouse and rat. This gene and a nuclear receptor known to antagonize the testis-determining factor play a concerted role in both the control of female development and the prevention of testes formation. This gene and another two family members, WNT2 and WNT7B, may be associated with abnormal proliferation in breast tissue. Mutations in this gene can result in Rokitansky-Kuster-Hauser syndrome and in SERKAL syndrome. [provided by RefSeq, Jul 2008] |
| Function | Ligand for members of the frizzled family of seven transmembrane receptors. Probable developmental protein. May be a signaling molecule which affects the development of discrete regions of tissues. Is likely to signal over only few cell diameters (By similarity). Overexpression may be associated with abnormal proliferation in human breast tissue. [UniProt] |
| Cellular Localization | Secreted, extracellular space, extracellular matrix |
| Research Area | Cancer antibody; Developmental Biology antibody; Signaling Transduction antibody |
| Calculated MW | 39 kDa |
| PTM | Palmitoleylation is required for efficient binding to frizzled receptors. Depalmitoleylation leads to Wnt signaling pathway inhibition. |
Images (3) Click the Picture to Zoom In
-
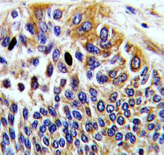
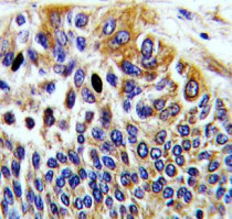
ARG55444 anti-Wnt4 antibody IHC-P image
Immunohistochemistry: Formalin-fixed and paraffin-embedded Human bladder carcinoma stained with ARG55444 anti-Wnt4 antibody.
-
ARG55444 anti-Wnt4 antibody WB image
Western blot: 35 µg of Mouse bladder lysate stained with ARG55444 anti-Wnt4 antibody.
-
ARG55444 anti-Wnt4 antibody FACS image
Flow Cytometry: MDA-MB468 cells stained with ARG55444 anti-Wnt4 antibody (bottom histogram) or without primary antibody control (top histogram), followed by incubation with FITC labelled secondary antibody.
