ARG56835
anti-Wnt5a antibody
anti-Wnt5a antibody for Flow cytometry,IHC-Formalin-fixed paraffin-embedded sections,Western blot and Human,Mouse,Rat
Overview
| Product Description | Rabbit Polyclonal antibody recognizes Wnt5a |
|---|---|
| Tested Reactivity | Hu, Ms, Rat |
| Tested Application | FACS, IHC-P, WB |
| Host | Rabbit |
| Clonality | Polyclonal |
| Isotype | IgG |
| Target Name | Wnt5a |
| Antigen Species | Human |
| Immunogen | KLH-conjugated synthetic peptide corresponding to aa. 185-213 of Human Wnt5a. |
| Conjugation | Un-conjugated |
| Alternate Names | hWNT5A; Protein Wnt-5a |
Application Instructions
| Application Suggestion |
|
||||||||
|---|---|---|---|---|---|---|---|---|---|
| Application Note | * The dilutions indicate recommended starting dilutions and the optimal dilutions or concentrations should be determined by the scientist. | ||||||||
| Positive Control | Mouse heart |
Properties
| Form | Liquid |
|---|---|
| Purification | Purification with Protein A and immunogen peptide. |
| Buffer | PBS and 0.09% (W/V) Sodium azide. |
| Preservative | 0.09% (W/V) Sodium azide |
| Storage Instruction | For continuous use, store undiluted antibody at 2-8°C for up to a week. For long-term storage, aliquot and store at -20°C or below. Storage in frost free freezers is not recommended. Avoid repeated freeze/thaw cycles. Suggest spin the vial prior to opening. The antibody solution should be gently mixed before use. |
| Note | For laboratory research only, not for drug, diagnostic or other use. |
Bioinformation
| Database Links | |
|---|---|
| Gene Symbol | WNT5A |
| Gene Full Name | wingless-type MMTV integration site family, member 5A |
| Background | The WNT gene family consists of structurally related genes which encode secreted signaling proteins. These proteins have been implicated in oncogenesis and in several developmental processes, including regulation of cell fate and patterning during embryogenesis. This gene encodes a member of the WNT family that signals through both the canonical and non-canonical WNT pathways. This protein is a ligand for the seven transmembrane receptor frizzled-5 and the tyrosine kinase orphan receptor 2. This protein plays an essential role in regulating developmental pathways during embryogenesis. This protein may also play a role in oncogenesis. Mutations in this gene are the cause of autosomal dominant Robinow syndrome. Alternate splicing results in multiple transcript variants. [provided by RefSeq, Jan 2012] |
| Function | Ligand for members of the frizzled family of seven transmembrane receptors. Can activate or inhibit canonical Wnt signaling, depending on receptor context. In the presence of FZD4, activates beta-catenin signaling. In the presence of ROR2, inhibits the canonical Wnt pathway by promoting beta-catenin degradation through a GSK3-independent pathway which involves down-regulation of beta-catenin-induced reporter gene expression. Suppression of the canonical pathway allows chondrogenesis to occur and inhibits tumor formation. Stimulates cell migration. Decreases proliferation, migration, invasiveness and clonogenicity of carcinoma cells and may act as a tumor suppressor. Mediates motility of melanoma cells. Required during embryogenesis for extension of the primary anterior-posterior axis and for outgrowth of limbs and the genital tubercle. Inhibits type II collagen expression in chondrocytes. [UniProt] |
| Calculated MW | 42 kDa |
| PTM | Glycosylation is necessary for secretion but not for activity. Palmitoleylation is required for efficient binding to frizzled receptors. Depalmitoleylation leads to Wnt signaling pathway inhibition. Proteolytic processing by TIKI1 and TIKI2 promotes oxidation and formation of large disulfide-bond oligomers, leading to inactivation of WNT5A. |
Images (3) Click the Picture to Zoom In
-
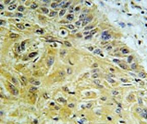
ARG56835 anti-Wnt5a antibody IHC-P image
Immunohistochemistry: Formalin-fixed and paraffin-embedded Human lung carcinoma tissue stained with ARG56835 anti-Wnt5a antibody.
-
ARG56835 anti-Wnt5a antibody WB image
Western blot: 20 µg of Mouse heart lysate stained with ARG56835 anti-Wnt5a antibody at 1:2000 dilution.
-
ARG56835 anti-Wnt5a antibody FACS image
Flow Cytometry: HeLa cells stained with ARG56835 anti-Wnt5a antibody (right histogram) or without primary antibody as control (left histogram), followed by incubation with FITC labelled secondary antibody.
