ARG59427
anti-XAF1 antibody
anti-XAF1 antibody for IHC-Formalin-fixed paraffin-embedded sections,Western blot and Human,Mouse,Rat
Overview
| Product Description | Rabbit Polyclonal antibody recognizes XAF1 |
|---|---|
| Tested Reactivity | Hu, Ms, Rat |
| Tested Application | IHC-P, WB |
| Host | Rabbit |
| Clonality | Polyclonal |
| Isotype | IgG |
| Target Name | XAF1 |
| Antigen Species | Human |
| Immunogen | Synthetic peptide within the last 50 amino acids of Human XAF1. |
| Conjugation | Un-conjugated |
| Alternate Names | BIRC4-binding protein; XIAPAF1; HSXIAPAF1; XIAP-associated factor 1; BIRC4BP |
Application Instructions
| Application Suggestion |
|
||||||
|---|---|---|---|---|---|---|---|
| Application Note | * The dilutions indicate recommended starting dilutions and the optimal dilutions or concentrations should be determined by the scientist. | ||||||
| Positive Control | Human spleen | ||||||
| Observed Size | 32 kDa |
Properties
| Form | Liquid |
|---|---|
| Purification | Affinity purification with immunogen. |
| Buffer | PBS and 0.02% Sodium azide |
| Preservative | 0.02% Sodium azide |
| Concentration | 1 mg/ml |
| Storage Instruction | For continuous use, store undiluted antibody at 2-8°C for up to a week. For long-term storage, aliquot and store at -20°C or below. Storage in frost free freezers is not recommended. Avoid repeated freeze/thaw cycles. Suggest spin the vial prior to opening. The antibody solution should be gently mixed before use. |
| Note | For laboratory research only, not for drug, diagnostic or other use. |
Bioinformation
| Database Links | |
|---|---|
| Gene Symbol | XAF1 |
| Gene Full Name | XIAP associated factor 1 |
| Background | This gene encodes a protein which binds to and counteracts the inhibitory effect of a member of the IAP (inhibitor of apoptosis) protein family. IAP proteins bind to and inhibit caspases which are activated during apoptosis. The proportion of IAPs and proteins which interfere with their activity, such as the encoded protein, affect the progress of the apoptosis signaling pathway. Multiple transcript variants encoding different isoforms have been found for this gene. [provided by RefSeq, Feb 2012] |
| Function | Seems to function as a negative regulator of members of the IAP (inhibitor of apoptosis protein) family. Inhibits anti-caspase activity of BIRC4. Induces cleavage and inactivation of BIRC4 independent of caspase activation. Mediates TNF-alpha-induced apoptosis and is involved in apoptosis in trophoblast cells. May inhibit BIRC4 indirectly by activating the mitochondrial apoptosis pathway. After translocation to mitochondra, promotes translocation of BAX to mitochondria and cytochrome c release from mitochondria. Seems to promote the redistribution of BIRC4 from the cytoplasm to the nucleus, probably independent of BIRC4 inactivation which seems to occur in the cytoplasm. The BIRC4-XAF1 complex mediates down-regulation of BIRC5/survivin; the process requires the E3 ligase activity of BIRC4. Seems to be involved in cellular sensitivity to the proapoptotic actions of TRAIL. May be a tumor suppressor by mediating apoptosis resistance of cancer cells. [UniProt] |
| Cellular Localization | Cytoplasm. Nucleus. Mitochondrion. Note=Found in the cytoplasm and nucleus of placental syncytiotrophoblasts. Translocates to mitochondria upon TNF-alpha treatment. Isoform 1: Nucleus. Isoform 5: Nucleus. [UniProt] |
| Calculated MW | 35 kDa |
Images (3) Click the Picture to Zoom In
-
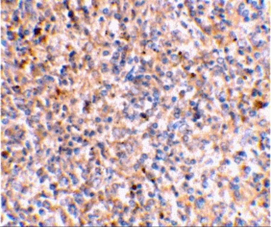
ARG59427 anti-XAF1 antibody IHC-P image
Immunohistochemistry: Paraffin-embedded Human spleen stained with ARG59427 anti-XAF1 antibody at 10 µg/ml dilution.
-
ARG59427 anti-XAF1 antibody WB image
Western blot: Human spleen lysate stained with ARG59427 anti-XAF1 antibody at 0.5, 1 and 2 µg/ml dilutions.
-
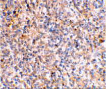
ARG59427 anti-XAF1 antibody IHC-P image
Immunohistochemistry: Paraffin-embedded Human spleen stained with ARG59427 anti-XAF1 antibody at 2 µg/ml dilution.
