ARG59194
anti-XDH / Xanthine Oxidase antibody
anti-XDH / Xanthine Oxidase antibody for Flow cytometry,IHC-Formalin-fixed paraffin-embedded sections,Western blot and Human,Mouse,Rat
Overview
| Product Description | Rabbit Polyclonal antibody recognizes XDH / Xanthine Oxidase |
|---|---|
| Tested Reactivity | Hu, Ms, Rat |
| Tested Application | FACS, IHC-P, WB |
| Host | Rabbit |
| Clonality | Polyclonal |
| Isotype | IgG |
| Target Name | XDH / Xanthine Oxidase |
| Antigen Species | Human |
| Immunogen | Recombinant protein corresponding to T2-K343 of Human XDH / Xanthine Oxidase. |
| Conjugation | Un-conjugated |
| Alternate Names | EC 1.17.1.4; XOR; XO; Xanthine dehydrogenase/oxidase [Includes: Xanthine dehydrogenase; XD; EC 1.17.3.2; Xanthine oxidoreductase |
Application Instructions
| Application Suggestion |
|
||||||||
|---|---|---|---|---|---|---|---|---|---|
| Application Note | IHC-P: Antigen Retrieval: Heat mediation was performed in Citrate buffer (pH 6.0) for 20 min. * The dilutions indicate recommended starting dilutions and the optimal dilutions or concentrations should be determined by the scientist. |
Properties
| Form | Liquid |
|---|---|
| Purification | Affinity purification with immunogen. |
| Buffer | 0.9% NaCl, 0.2% Na2HPO4, 0.05% Sodium azide and 5% BSA. |
| Preservative | 0.05% Sodium azide |
| Stabilizer | 5% BSA |
| Concentration | 0.5 mg/ml |
| Storage Instruction | For continuous use, store undiluted antibody at 2-8°C for up to a week. For long-term storage, aliquot and store at -20°C or below. Storage in frost free freezers is not recommended. Avoid repeated freeze/thaw cycles. Suggest spin the vial prior to opening. The antibody solution should be gently mixed before use. |
| Note | For laboratory research only, not for drug, diagnostic or other use. |
Bioinformation
| Database Links | |
|---|---|
| Gene Symbol | XDH |
| Gene Full Name | xanthine dehydrogenase |
| Background | Xanthine dehydrogenase belongs to the group of molybdenum-containing hydroxylases involved in the oxidative metabolism of purines. The encoded protein has been identified as a moonlighting protein based on its ability to perform mechanistically distinct functions. Xanthine dehydrogenase can be converted to xanthine oxidase by reversible sulfhydryl oxidation or by irreversible proteolytic modification. Defects in xanthine dehydrogenase cause xanthinuria, may contribute to adult respiratory stress syndrome, and may potentiate influenza infection through an oxygen metabolite-dependent mechanism. [provided by RefSeq, Jan 2014] |
| Function | Key enzyme in purine degradation. Catalyzes the oxidation of hypoxanthine to xanthine. Catalyzes the oxidation of xanthine to uric acid. Contributes to the generation of reactive oxygen species. Has also low oxidase activity towards aldehydes (in vitro). [UniProt] |
| Cellular Localization | Cytoplasm. Peroxisome. Secreted. [UniProt] |
| Calculated MW | 146 kDa |
| PTM | Subject to partial proteolysis; this alters the enzyme from the dehydrogenase form (D) to the oxidase form (O). Contains sulfhydryl groups that are easily oxidized (in vitro); this alters the enzyme from the dehydrogenase form (D) to the oxidase form (O). [UniProt] |
Images (4) Click the Picture to Zoom In
-
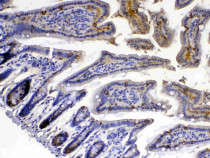
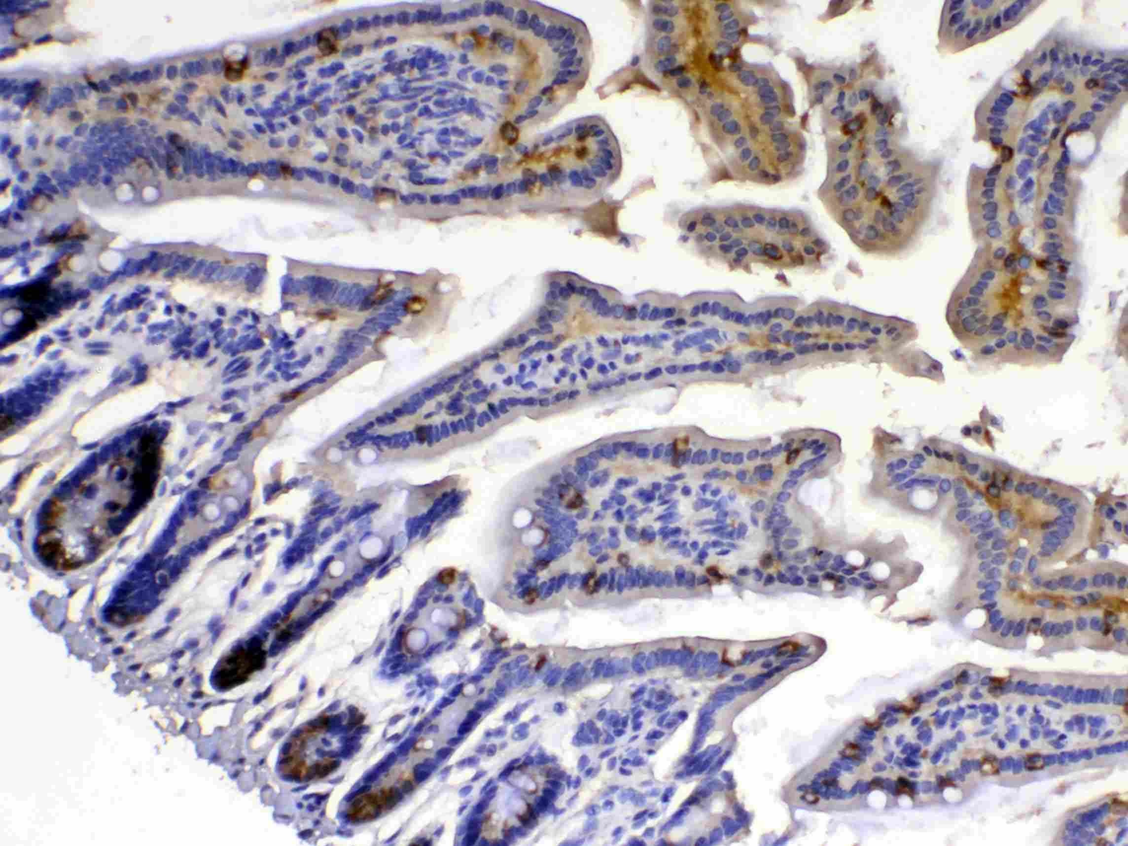
ARG59194 anti-XDH / Xanthine Oxidase antibody IHC-P image
Immunohistochemistry: Paraffin-embedded Mouse intestine tissue. Antigen Retrieval: Heat mediated was performed in Citrate buffer (pH 6.0, epitope retrieval solution) for 20 min. The tissue section was blocked with 10% goat serum. The tissue section was then stained with ARG59194 anti-XDH / Xanthine Oxidase antibody at 1 µg/ml dilution, overnight at 4°C.
-
ARG59194 anti-XDH / Xanthine Oxidase antibody WB image
Western blot: 50 µg of samples under reducing conditions. Rat liver and Mouse liver tissue lysates stained with ARG59194 anti-XDH / Xanthine Oxidase antibody at 0.5 µg/ml, overnight at 4°C.
-
ARG59194 anti-XDH / Xanthine Oxidase antibody FACS image
Flow Cytometry: A431 cells were blocked with 10% normal goat serum and then stained with ARG59194 anti-XDH / Xanthine Oxidase antibody (blue) at 1 µg/10^6 cells for 30 min at 20°C, followed by incubation with DyLight®488 labelled secondary antibody. Isotype control antibody (green) was rabbit IgG (1 µg/10^6 cells) used under the same conditions. Unlabelled sample (red) was also used as a control.
-
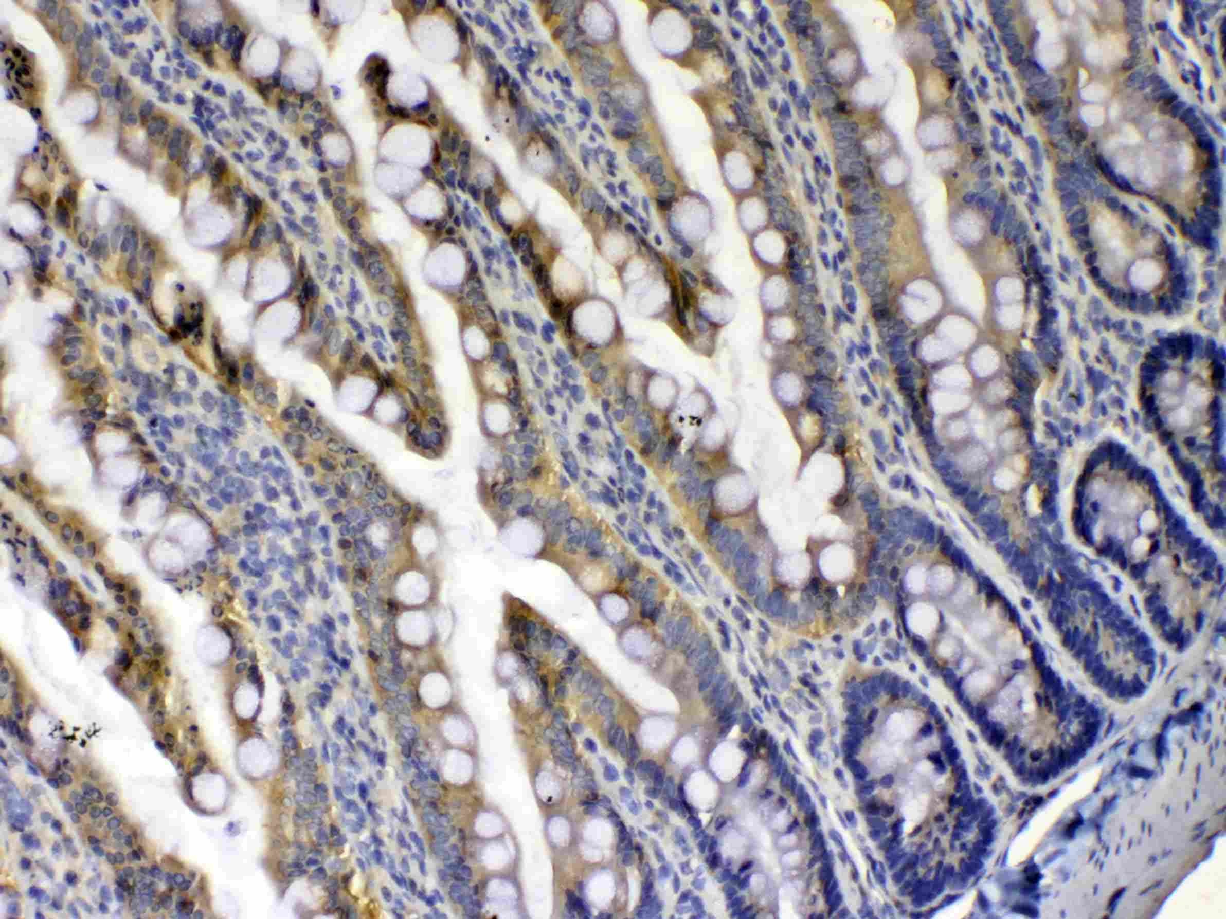
ARG59194 anti-XDH / Xanthine Oxidase antibody IHC-P image
Immunohistochemistry: Paraffin-embedded Rat intestine tissue. Antigen Retrieval: Heat mediated was performed in Citrate buffer (pH 6.0, epitope retrieval solution) for 20 min. The tissue section was blocked with 10% goat serum. The tissue section was then stained with ARG59194 anti-XDH / Xanthine Oxidase antibody at 1 µg/ml dilution, overnight at 4°C.
