ARG45882
anti-XPG antibody
anti-XPG antibody for Flow cytometry,ICC/IF,IHC-Formalin-fixed paraffin-embedded sections,Western blot and Human,Mouse,Rat
Overview
| Product Description | Rabbit Polyclonal antibody recognizes XPG |
|---|---|
| Tested Reactivity | Hu, Ms, Rat |
| Tested Application | FACS, ICC/IF, IHC-P, WB |
| Host | Rabbit |
| Clonality | Polyclonal |
| Isotype | IgG |
| Target Name | XPG |
| Antigen Species | Human |
| Immunogen | Recombinant protein containing to human XPG. |
| Conjugation | Un-conjugated |
| Alternate Names | ERCC Excision Repair 5, Endonuclease; ERCC5; ERCM2; XPG; XPGC; DNA repair protein complementing XP-G cells; EC 3.1.-.-; DNA excision repair protein ERCC-5; Xeroderma pigmentosum group G-complementing protein |
Application Instructions
| Application Suggestion |
|
||||||||||
|---|---|---|---|---|---|---|---|---|---|---|---|
| Application Note | * The dilutions indicate recommended starting dilutions and the optimal dilutions or concentrations should be determined by the scientist. | ||||||||||
| Observed Size | 200 kDa |
Properties
| Form | Liquid |
|---|---|
| Purification | Affinity chromatography purified |
| Buffer | 0.2% Na2HPO4, 0.9% NaCl and 4% Trehalose. |
| Stabilizer | 4% Trehalose |
| Concentration | 0.5 mg/ml |
| Storage Instruction | For continuous use, store undiluted antibody at 2-8°C for up to a week. For long-term storage, aliquot and store at -22°C or below. Storage in frost free freezers is not recommended. Avoid repeated freeze/thaw cycles. Suggest spin the vial prior to opening. The antibody solution should be gently mixed before use. |
| Note | For laboratory research only, not for drug, diagnostic or other use. |
Bioinformation
| Database Links |
Swiss-port # P28715 Human DNA repair protein complementing XP-G cells |
|---|---|
| Gene Symbol | ERCC5 |
| Gene Full Name | ERCC Excision Repair 5, Endonuclease |
| Background | This gene encodes a single-strand specific DNA endonuclease that makes the 3' incision in DNA excision repair following UV-induced damage. The protein may also function in other cellular processes, including RNA polymerase II transcription, and transcription-coupled DNA repair. Mutations in this gene cause xeroderma pigmentosum complementation group G (XP-G), which is also referred to as xeroderma pigmentosum VII (XP7), a skin disorder characterized by hypersensitivity to UV light and increased susceptibility for skin cancer development following UV exposure. Some patients also develop Cockayne syndrome, which is characterized by severe growth defects, cognitive disability, and cachexia. Read-through transcription exists between this gene and the neighboring upstream BIVM (basic, immunoglobulin-like variable motif containing) gene. [provided by RefSeq, Feb 2011] |
| Function | Single-stranded structure-specific DNA endonuclease involved in DNA excision repair. [UniProt] |
| Cellular Localization | Chromosome; Nucleus. [UniProt] |
| Calculated MW | 133 kDa |
| PTM | Acetylation; Phosphoprotein. [UniProt] |
Images (6) Click the Picture to Zoom In
-
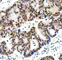
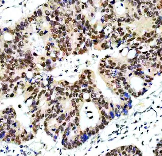
ARG45882 anti-XPG antibody IHC-P image
Immunohistochemistry: Human colon cancer stained with ARG45882 anti-XPG antibody at 2 μg/ml dilution.
-
ARG45882 anti-XPG antibody ICC/IF image
Immunofluorescence: ERCC5 stained with ARG45882 anti-XPG antibody at 5 μg/ml dilution.
-
ARG45882 anti-XPG antibody WB image
Western blot: K562 stained with ARG45882 anti-XPG antibody at 0.5 μg/ml dilution.
-
ARG45882 anti-XPG antibody FACS image
Flow Cytometry: K562 stained with ARG45882 anti-XPG antibody at 1 µg/10^6 cells dilution.
-
ARG45882 anti-XPG antibody WB image
Western blot: C6 stained with ARG45882 anti-XPG antibody at 0.5 μg/ml dilution.
-
ARG45882 anti-XPG antibody WB image
Western blot: Neuro-2a stained with ARG45882 anti-XPG antibody at 0.5 μg/ml dilution.
