ARG59209
anti-XPO1 / CRM1 antibody [5G3]
anti-XPO1 / CRM1 antibody [5G3] for Flow cytometry,IHC-Formalin-fixed paraffin-embedded sections,Western blot and Human,Mouse,Rat
Overview
| Product Description | Mouse Monoclonal antibody [5G3] recognizes XPO1 / CRM1 |
|---|---|
| Tested Reactivity | Hu, Ms, Rat |
| Tested Application | FACS, IHC-P, WB |
| Host | Mouse |
| Clonality | Monoclonal |
| Clone | 5G3 |
| Isotype | IgG2b |
| Target Name | XPO1 / CRM1 |
| Antigen Species | Human |
| Immunogen | Recombinant protein corresponding to N966-D1071 of Human CRM1. |
| Conjugation | Un-conjugated |
| Alternate Names | CRM1; Exportin-1; exp1; emb; Chromosome region maintenance 1 protein homolog; Exp1 |
Application Instructions
| Application Suggestion |
|
||||||||
|---|---|---|---|---|---|---|---|---|---|
| Application Note | IHC-P: Antigen Retrieval: Heat mediation was performed in Citrate buffer (pH 6.0) for 20 min. * The dilutions indicate recommended starting dilutions and the optimal dilutions or concentrations should be determined by the scientist. |
Properties
| Form | Liquid |
|---|---|
| Purification | Affinity purification with immunogen. |
| Buffer | 0.9% NaCl, 0.2% Na2HPO4, 0.05% Sodium azide and 4% Trehalose. |
| Preservative | 0.05% Sodium azide |
| Stabilizer | 4% Trehalose |
| Concentration | 0.5 mg/ml |
| Storage Instruction | For continuous use, store undiluted antibody at 2-8°C for up to a week. For long-term storage, aliquot and store at -20°C or below. Storage in frost free freezers is not recommended. Avoid repeated freeze/thaw cycles. Suggest spin the vial prior to opening. The antibody solution should be gently mixed before use. |
| Note | For laboratory research only, not for drug, diagnostic or other use. |
Bioinformation
| Database Links | |
|---|---|
| Gene Symbol | XPO1 |
| Gene Full Name | exportin 1 |
| Background | This cell-cycle-regulated gene encodes a protein that mediates leucine-rich nuclear export signal (NES)-dependent protein transport. The protein specifically inhibits the nuclear export of Rev and U snRNAs. It is involved in the control of several cellular processes by controlling the localization of cyclin B, MPAK, and MAPKAP kinase 2. This protein also regulates NFAT and AP-1. [provided by RefSeq, Jan 2015] |
| Function | Mediates the nuclear export of cellular proteins (cargos) bearing a leucine-rich nuclear export signal (NES) and of RNAs. In the nucleus, in association with RANBP3, binds cooperatively to the NES on its target protein and to the GTPase RAN in its active GTP-bound form (Ran-GTP). Docking of this complex to the nuclear pore complex (NPC) is mediated through binding to nucleoporins. Upon transit of a nuclear export complex into the cytoplasm, disassembling of the complex and hydrolysis of Ran-GTP to Ran-GDP (induced by RANBP1 and RANGAP1, respectively) cause release of the cargo from the export receptor. The directionality of nuclear export is thought to be conferred by an asymmetric distribution of the GTP- and GDP-bound forms of Ran between the cytoplasm and nucleus. Involved in U3 snoRNA transport from Cajal bodies to nucleoli. Binds to late precursor U3 snoRNA bearing a TMG cap. Several viruses, among them HIV-1, HTLV-1 and influenza A use it to export their unspliced or incompletely spliced RNAs out of the nucleus. Interacts with, and mediates the nuclear export of HIV-1 Rev and HTLV-1 Rex proteins. Involved in HTLV-1 Rex multimerization. [UniProt] |
| Cellular Localization | Cytoplasm. Nucleus, nucleoplasm. Nucleus, Cajal body. Nucleus, nucleolus. Note=Located in the nucleoplasm, Cajal bodies and nucleoli. Shuttles between the nucleus/nucleolus and the cytoplasm. [UniProt] |
| Calculated MW | 123 kDa |
Images (4) Click the Picture to Zoom In
-
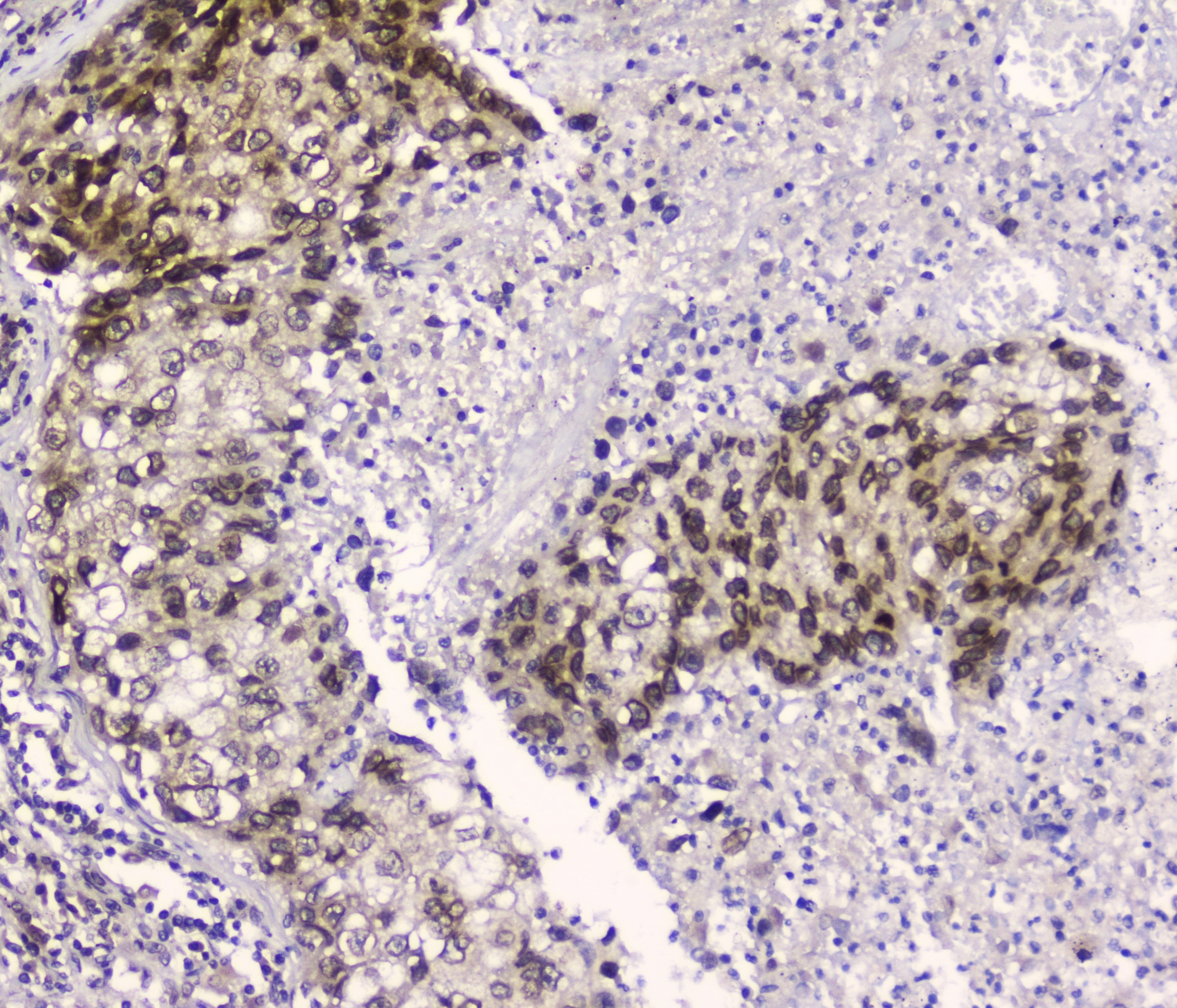
ARG59209 anti-XPO1 / CRM1 antibody [5G3] IHC-P image
Immunohistochemistry: Paraffin-embedded Human lung cancer tissue. Antigen Retrieval: Heat mediated was performed in Citrate buffer (pH 6.0, epitope retrieval solution) for 20 min. The tissue section was blocked with 10% goat serum. The tissue section was then stained with ARG59209 anti-XPO1 / CRM1 antibody [5G3] at 2 µg/ml dilution, overnight at 4°C.
-
ARG59209 anti-XPO1 / CRM1 antibody [5G3] WB image
Western blot: 50 µg of samples under reducing conditions. Rat liver, Rat lung, Mouse liver, Mouse lung, Rabbit IgG, Marker 1113, HepG2, SMMC-7721, HeLa and Jurkat whole cell lysates stained with ARG59209 anti-XPO1 / CRM1 antibody [5G3] at 0.5 µg/ml, overnight at 4°C.
-
ARG59209 anti-XPO1 / CRM1 antibody [5G3] FACS image
Flow Cytometry: SiHa cells were blocked with 10% normal goat serum and then stained with ARG59209 anti-XPO1 / CRM1 antibody [5G3] (blue) at 1 µg/10^6 cells for 30 min at 20°C, followed by incubation with DyLight®488 labelled secondary antibody. Isotype control antibody (green) was rabbit IgG (1 µg/10^6 cells) used under the same conditions. Unlabelled sample (red) was also used as a control.
-
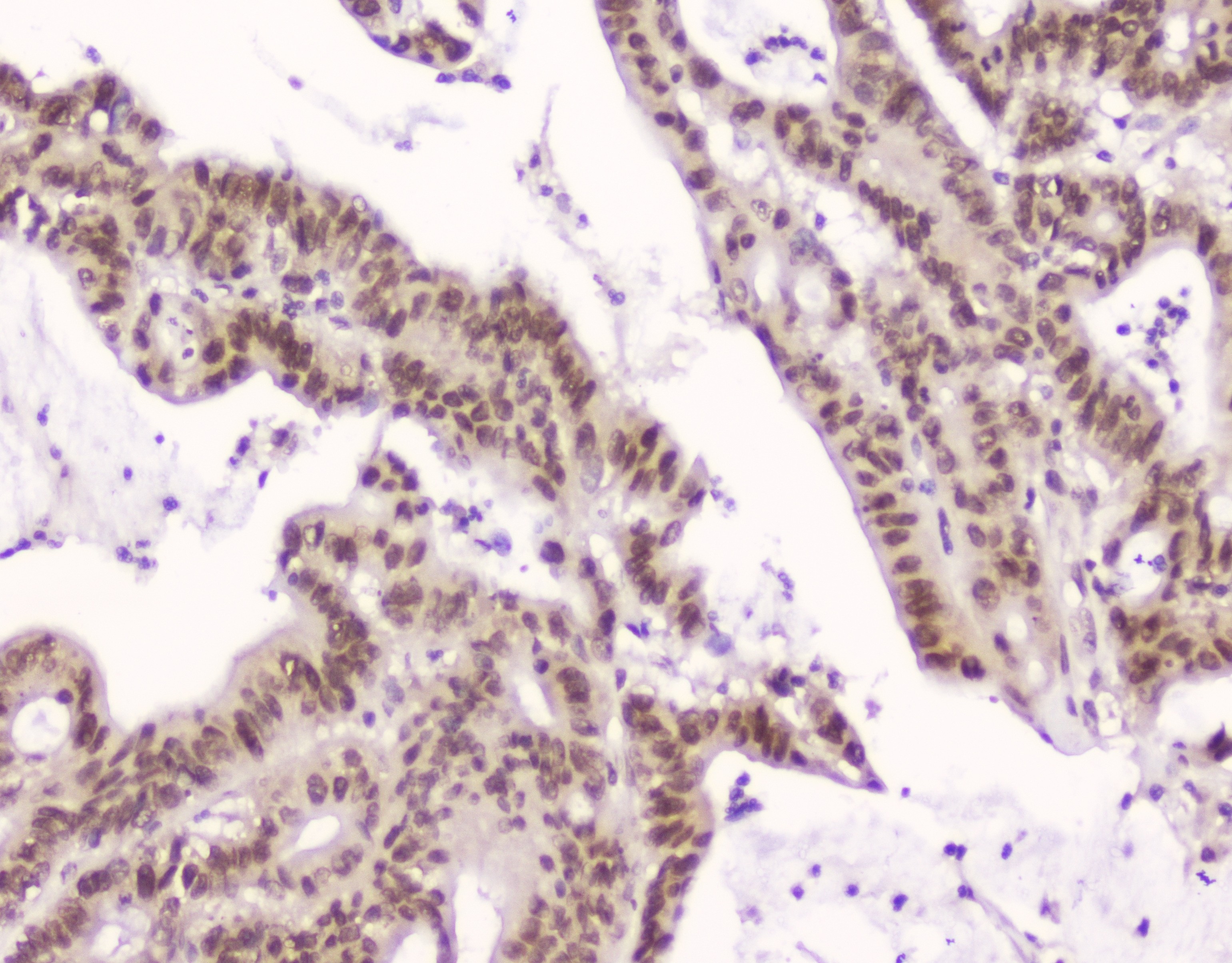
ARG59209 anti-XPO1 / CRM1 antibody [5G3] IHC-P image
Immunohistochemistry: Paraffin-embedded Human intestinal cancer tissue. Antigen Retrieval: Heat mediated was performed in Citrate buffer (pH 6.0, epitope retrieval solution) for 20 min. The tissue section was blocked with 10% goat serum. The tissue section was then stained with ARG59209 anti-XPO1 / CRM1 antibody [5G3] at 2 µg/ml dilution, overnight at 4°C.
