ARG45210
anti-XTP3TPA antibody
anti-XTP3TPA antibody for Flow cytometry,IHC-Formalin-fixed paraffin-embedded sections,Western blot and Human,Mouse
Overview
| Product Description | Rabbit Polyclonal antibody recognizes XTP3TPA |
|---|---|
| Tested Reactivity | Hu, Ms |
| Tested Application | FACS, IHC-P, WB |
| Host | Rabbit |
| Clonality | Polyclonal |
| Isotype | IgG |
| Target Name | XTP3TPA |
| Antigen Species | Human |
| Immunogen | Recombinant protein containing to human DCTPP1. |
| Conjugation | Un-conjugated |
| Alternate Names | DCTPP1; DCTP Pyrophosphatase 1; XTP3TPA; RS21C6; CDA03; XTP3-Transactivated Gene A Protein; Deoxycytidine-Triphosphatase 1; XTP3-Transactivated Protein A; DCTPase 1; MGC5627; EC 3.6.1.12 |
Application Instructions
| Application Suggestion |
|
||||||||
|---|---|---|---|---|---|---|---|---|---|
| Application Note | * The dilutions indicate recommended starting dilutions and the optimal dilutions or concentrations should be determined by the scientist. | ||||||||
| Observed Size | 19 kDa |
Properties
| Form | Liquid |
|---|---|
| Purification | Affinity purification with immunogen. |
| Buffer | 0.2% Na2HPO4, 0.9% NaCl and 4% Trehalose. |
| Stabilizer | 4% Trehalose |
| Concentration | 0.5 mg/ml |
| Storage Instruction | For continuous use, store undiluted antibody at 2-8°C for up to a week. For long-term storage, aliquot and store at -20°C or below. Storage in frost free freezers is not recommended. Avoid repeated freeze/thaw cycles. Suggest spin the vial prior to opening. The antibody solution should be gently mixed before use. |
| Note | For laboratory research only, not for drug, diagnostic or other use. |
Bioinformation
| Database Links | |
|---|---|
| Gene Symbol | DCTPP1 |
| Gene Full Name | DCTP Pyrophosphatase 1 |
| Background | The protein encoded by this gene is dCTP pyrophosphatase, which converts dCTP to dCMP and inorganic pyrophosphate. The encoded protein also displays weak activity against dTTP and dATP, but none against dGTP. This protein may be responsible for eliminating excess dCTP after DNA synthesis and may prevent overmethylation of CpG islands. Three transcript variants, one protein-coding and the other two non-protein coding, have been found for this gene. [provided by RefSeq, Dec 2015] |
| Function | Hydrolyzes deoxynucleoside triphosphates (dNTPs) to the corresponding nucleoside monophosphates. Has a strong preference for dCTP and its analogs including 5-iodo-dCTP and 5-methyl-dCTP for which it may even have a higher efficiency. May protect DNA or RNA against the incorporation of these genotoxic nucleotide analogs through their catabolism.. [UniProt] |
| Cellular Localization | Cytoplasm; Mitochondrion; Nucleus. [UniProt] |
| Calculated MW | 18 kDa |
| PTM | Acetylation; Phosphoprotein. [UniProt] |
Images (4) Click the Picture to Zoom In
-
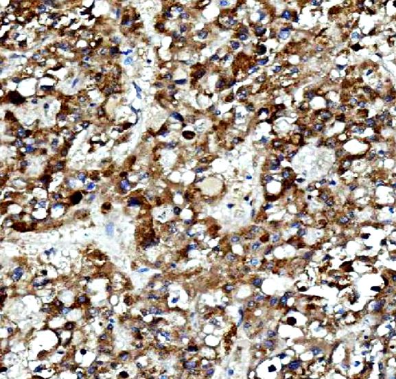
ARG45210 anti-XTP3TPA antibody IHC-P image
Immunohistochemistry: Human liver cancer stained with ARG45210 anti-XTP3TPA antibody at 2 μg/ml dilution.
-
ARG45210 anti-XTP3TPA antibody WB image
Western blot: HepG2, Jurkat, K562, and PC-3 stained with ARG45210 anti-XTP3TPA antibody at 0.5 μg/ml dilution.
-
ARG45210 anti-XTP3TPA antibody FACS image
Flow Cytometry: JK stained with ARG45210 anti-XTP3TPA antibody at 1 µg/10^6 cells dilution.
-
ARG45210 anti-XTP3TPA antibody IHC-P image
Immunohistochemistry: Mouse colon stained with ARG45210 anti-XTP3TPA antibody at 2 μg/ml dilution.
