ARG67234
anti-YAP1 antibody
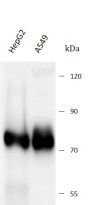
anti-YAP1 antibody for Western blot and Human,Mouse,Rat
Overview
| Product Description | Rabbit Polyclonal antibody recognizes YAP1 |
|---|---|
| Tested Reactivity | Hu, Ms, Rat |
| Tested Application | WB |
| Host | Rabbit |
| Clonality | Polyclonal |
| Isotype | IgG |
| Target Name | YAP1 |
| Immunogen | Synthetic peptide within the center region. |
| Conjugation | Un-conjugated |
| Alternate Names | YAP1; Yes1 Associated Transcriptional Regulator; YAP65; YAP-1; Yes-Associated Protein YAP65 Homolog; Transcriptional Coactivator YAP1; Yes Associated Protein 1; Protein Yorkie Homolog; Yes-Associated Protein 1, 65kDa; 65 KDa Yes-Associated Protein; Yes-Associated Protein 2; Yes-Associated Protein 1; Yorkie Homolog; COB1; YAP2; YAP; YKI |
Application Instructions
| Application Suggestion |
|
||||
|---|---|---|---|---|---|
| Application Note | * The dilutions indicate recommended starting dilutions and the optimal dilutions or concentrations should be determined by the scientist. |
Properties
| Form | Liquid |
|---|---|
| Purification | Affinity purified |
| Buffer | 100 mM Tris Glycine (pH 7.0), 0.025% ProClin 300 and 20% Glycerol. |
| Preservative | 0.025% ProClin 300 |
| Stabilizer | 20% Glycerol |
| Concentration | 1.45 mg/ml |
| Storage Instruction | For continuous use, store undiluted antibody at 2-8°C for up to a week. For long-term storage, aliquot and store at -20°C or below. Storage in frost free freezers is not recommended. Avoid repeated freeze/thaw cycles. Suggest spin the vial prior to opening. The antibody solution should be gently mixed before use. |
| Note | For laboratory research only, not for drug, diagnostic or other use. |
Bioinformation
| Database Links | |
|---|---|
| Gene Symbol | YAP1 |
| Gene Full Name | Yes1 Associated Transcriptional Regulator |
| Background | This gene encodes a downstream nuclear effector of the Hippo signaling pathway which is involved in development, growth, repair, and homeostasis. This gene is known to play a role in the development and progression of multiple cancers as a transcriptional regulator of this signaling pathway and may function as a potential target for cancer treatment. Alternative splicing results in multiple transcript variants encoding different isoforms. [provided by RefSeq, Aug 2013] |
| Function | Synergizes with WBP2 to enhance PGR activity. [Uniprot] |
| Cellular Localization | Cell junction, Cell membrane, Cytoplasm, Membrane, Nucleus, Tight junction. [Uniprot] |
| Calculated MW | 54 kDa |
| PTM | Phosphoprotein, Ubl conjugation. [Uniprot] |
Images (1) Click the Picture to Zoom In
