ARG59220
anti-YES1 antibody
anti-YES1 antibody for IHC-Formalin-fixed paraffin-embedded sections,Western blot and Human
Overview
| Product Description | Rabbit Polyclonal antibody recognizes YES1 |
|---|---|
| Tested Reactivity | Hu |
| Tested Application | IHC-P, WB |
| Host | Rabbit |
| Clonality | Polyclonal |
| Isotype | IgG |
| Target Name | YES1 |
| Antigen Species | Human |
| Immunogen | Synthetic peptide corresponding to aa. 7-35 of Human YES1. (KENKSPAIKYRPENTPEPVSTSVSHYGAE) |
| Conjugation | Un-conjugated |
| Alternate Names | HsT441; Proto-oncogene c-Yes; Tyrosine-protein kinase Yes; c-yes; Yes; P61-YES; p61-Yes; EC 2.7.10.2 |
Application Instructions
| Application Suggestion |
|
||||||
|---|---|---|---|---|---|---|---|
| Application Note | IHC-P: Antigen Retrieval: By heat mediation. * The dilutions indicate recommended starting dilutions and the optimal dilutions or concentrations should be determined by the scientist. |
Properties
| Form | Liquid |
|---|---|
| Purification | Affinity purification with immunogen. |
| Buffer | 0.9% NaCl, 0.2% Na2HPO4, 0.05% Sodium azide and 5% BSA. |
| Preservative | 0.05% Sodium azide |
| Stabilizer | 5% BSA |
| Concentration | 0.5 mg/ml |
| Storage Instruction | For continuous use, store undiluted antibody at 2-8°C for up to a week. For long-term storage, aliquot and store at -20°C or below. Storage in frost free freezers is not recommended. Avoid repeated freeze/thaw cycles. Suggest spin the vial prior to opening. The antibody solution should be gently mixed before use. |
| Note | For laboratory research only, not for drug, diagnostic or other use. |
Bioinformation
| Database Links | |
|---|---|
| Gene Symbol | YES1 |
| Gene Full Name | YES proto-oncogene 1, Src family tyrosine kinase |
| Background | This gene is the cellular homolog of the Yamaguchi sarcoma virus oncogene. The encoded protein has tyrosine kinase activity and belongs to the src family of proteins. This gene lies in close proximity to thymidylate synthase gene on chromosome 18, and a corresponding pseudogene has been found on chromosome 22. [provided by RefSeq, Jul 2008] |
| Function | Non-receptor protein tyrosine kinase that is involved in the regulation of cell growth and survival, apoptosis, cell-cell adhesion, cytoskeleton remodeling, and differentiation. Stimulation by receptor tyrosine kinases (RTKs) including EGRF, PDGFR, CSF1R and FGFR leads to recruitment of YES1 to the phosphorylated receptor, and activation and phosphorylation of downstream substrates. Upon EGFR activation, promotes the phosphorylation of PARD3 to favor epithelial tight junction assembly. Participates in the phosphorylation of specific junctional components such as CTNND1 by stimulating the FYN and FER tyrosine kinases at cell-cell contacts. Upon T-cell stimulation by CXCL12, phosphorylates collapsin response mediator protein 2/DPYSL2 and induces T-cell migration. Participates in CD95L/FASLG signaling pathway and mediates AKT-mediated cell migration. Plays a role in cell cycle progression by phosphorylating the cyclin-dependent kinase 4/CDK4 thus regulating the G1 phase. Also involved in G2/M progression and cytokinesis. [UniProt] |
| Cellular Localization | Cell membrane. Cytoplasm, cytoskeleton, microtubule organizing center, centrosome. Cytoplasm, cytosol. Note=Newly synthesized protein initially accumulates in the Golgi region and traffics to the plasma membrane through the exocytic pathway. [UniProt] |
| Calculated MW | 61 kDa |
| PTM | Phosphorylation by CSK on the C-terminal tail maintains the enzyme in an inactive state. Autophosphorylation at Tyr-426 maintains enzyme activity by blocking CSK-mediated inhibition. Palmitoylation at Cys-3 promotes membrane localization. [UniProt] |
Images (2) Click the Picture to Zoom In
-
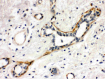
ARG59220 anti-YES1 antibody IHC-P image
Immunohistochemistry: Paraffin-embedded Human mammary cancer stained with ARG59220 anti-YES1 antibody.
-
ARG59220 anti-YES1 antibody WB image
Western blot: 40 µg of SGC, A549 and HepG2 whole cell lysates stained with ARG59220 anti-YES1 antibody at 0.5 µg/ml dilution.
