ARG45871
anti-YTHDF1 antibody
anti-YTHDF1 antibody for Western blot,IHC-Formalin-fixed paraffin-embedded sections,ICC/IF,Flow cytometry and Human,Mouse,Rat
Overview
| Product Description | Rabbit Polyclonal antibody recognizes YTHDF1 |
|---|---|
| Tested Reactivity | Hu, Ms, Rat |
| Tested Application | FACS, ICC/IF, IHC-P, WB |
| Host | Rabbit |
| Clonality | Polyclonal |
| Isotype | IgG |
| Target Name | YTHDF1 |
| Antigen Species | Human |
| Immunogen | Synthetic peptide corresponding to C-terminal region of human YTHDF1. |
| Conjugation | Un-conjugated |
| Alternate Names | YTHDF1; YTH N(6)-Methyladenosine RNA Binding Protein 1; DACA-1; Dermatomyositis associated with cancer putative autoantigen 1; C20orf21; YTH domain-containing family protein 1 |
Application Instructions
| Application Suggestion |
|
||||||||||
|---|---|---|---|---|---|---|---|---|---|---|---|
| Application Note | * The dilutions indicate recommended starting dilutions and the optimal dilutions or concentrations should be determined by the scientist. | ||||||||||
| Observed Size | 65 kDa |
Properties
| Form | Liquid |
|---|---|
| Purification | Affinity chromatography purified |
| Buffer | 0.2% Na2HPO4, 0.9% NaCl and 4% Trehalose. |
| Stabilizer | 4% Trehalose |
| Concentration | 0.5 mg/ml |
| Storage Instruction | For continuous use, store undiluted antibody at 2-8°C for up to a week. For long-term storage, aliquot and store at -22°C or below. Storage in frost free freezers is not recommended. Avoid repeated freeze/thaw cycles. Suggest spin the vial prior to opening. The antibody solution should be gently mixed before use. |
| Note | For laboratory research only, not for drug, diagnostic or other use. |
Bioinformation
| Database Links |
Swiss-port # P59326 Mouse YTH domain-containing family protein 1 Swiss-port # Q9BYJ9 Human YTH domain-containing family protein 1 |
|---|---|
| Gene Symbol | YTHDF1 |
| Gene Full Name | YTH N(6)-Methyladenosine RNA Binding Protein 1 |
| Background | Enables N6-methyladenosine-containing RNA reader activity and ribosome binding activity. Involved in mRNA destabilization; positive regulation of translational initiation; and stress granule assembly. Located in P-body and cytoplasmic stress granule. Implicated in colorectal cancer. [provided by Alliance of Genome Resources, Feb 2025] |
| Function | Specifically recognizes and binds N6-methyladenosine (m6A)-containing mRNAs, and regulates their stability. [UniProt] |
| Cellular Localization | Cytoplasm. [UniProt] |
| Calculated MW | 61 kDa |
| PTM | Acetylation; Phosphoprotein. [UniProt] |
Images (6) Click the Picture to Zoom In
-
ARG45871 anti-YTHDF1 antibody ICC/IF image
Immunofluorescence: U2OS stained with ARG45871 anti-YTHDF1 antibody at 5 μg/ml dilution.
-
ARG45871 anti-YTHDF1 antibody WB image
Western blot: A549 stained with ARG45871 anti-YTHDF1 antibody at 1:1000 dilution.
-
ARG45871 anti-YTHDF1 antibody FACS image
Flow Cytometry: HepG2 stained with ARG45871 anti-YTHDF1 antibody at 1 µg/10^6 cells dilution.
-
ARG45871 anti-YTHDF1 antibody WB image
Western blot: Rat brain stained with ARG45871 anti-YTHDF1 antibody at 1:1000 dilution.
-
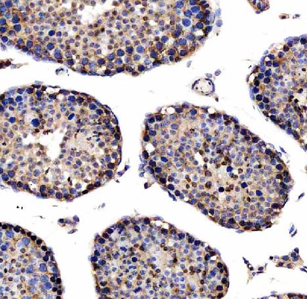
ARG45871 anti-YTHDF1 antibody IHC-P image
Immunohistochemistry: Mouse testis stained with ARG45871 anti-YTHDF1 antibody at 1:100 dilution.
-
ARG45871 anti-YTHDF1 antibody WB image
Western blot: Mouse brain stained with ARG45871 anti-YTHDF1 antibody at 1:1000 dilution.
