ARG45146
anti-ZBTB7A antibody
anti-ZBTB7A antibody for Flow cytometry,ICC/IF,IHC-Formalin-fixed paraffin-embedded sections,Western blot and Human
Overview
| Product Description | Rabbit Polyclonal antibody recognizes ZBTB7A |
|---|---|
| Tested Reactivity | Hu |
| Tested Application | FACS, ICC/IF, IHC-P, WB |
| Host | Rabbit |
| Clonality | Polyclonal |
| Isotype | IgG |
| Target Name | ZBTB7A |
| Antigen Species | Human |
| Immunogen | Synthetic peptide corresponding to N-terminal region of human ZBTB7A. |
| Conjugation | Un-conjugated |
| Alternate Names | ZBTB8A; Zinc finger and BTB domain-containing protein 7A; Factor that binds to inducer of short transcripts protein 1; ZNF857A; Zinc finger and BTB domain-containing protein 7A; FBI-1; LRF; HIV-1 1st-binding protein 1; Pokemon; POK erythroid myeloid ontogenic factor; POZ and Krueppel erythroid myeloid ontogenic factor; Zinc finger protein 857A; Leukemia/lymphoma-related factor; Factor binding IST protein 1; TIP21; ZBTB7; pokemon; FBI1; TTF-I-interacting peptide 21 |
Application Instructions
| Application Suggestion |
|
||||||||||
|---|---|---|---|---|---|---|---|---|---|---|---|
| Application Note | * The dilutions indicate recommended starting dilutions and the optimal dilutions or concentrations should be determined by the scientist. | ||||||||||
| Observed Size | 72 kDa |
Properties
| Form | Liquid |
|---|---|
| Purification | Affinity purification with immunogen. |
| Buffer | 0.9% NaCl, 0.2% Na2HPO4, 0.05% Sodium azide and 5% BSA. |
| Preservative | 0.05% Sodium azide |
| Stabilizer | 5% BSA |
| Concentration | 0.5 mg/ml |
| Storage Instruction | For continuous use, store undiluted antibody at 2-8°C for up to a week. For long-term storage, aliquot and store at -20°C or below. Storage in frost free freezers is not recommended. Avoid repeated freeze/thaw cycles. Suggest spin the vial prior to opening. The antibody solution should be gently mixed before use. |
| Note | For laboratory research only, not for drug, diagnostic or other use. |
Bioinformation
| Database Links |
Swiss-port # O95365 Human Zinc finger and BTB domain-containing protein 7A |
|---|---|
| Gene Symbol | ZBTB8A |
| Gene Full Name | Zinc finger and BTB domain-containing protein 7A |
| Background | Zinc finger and BTB domain-containing protein 7A (LRF, Pokemon, FBI1) is a transcriptional repressor encoded by the ZBTB7A gene that belongs to the POK (POZ and Kruppel)/ZBTB (zinc finger and BTB) family. LRF is broadly expressed with elevated expression in a variety of cancers relative to normal tissues, including non-small cell lung cancer, breast cancer, ovarian cancer, prostate cancer, and hepatocellular carcinoma. Research studies suggest that LRF acts as an oncogene through various mechanisms including repression of the tumor suppressors ARF and Rb, and repression of the cell cycle arrest factor p21Cip1. The LRF transcription factor plays key roles during several stages of hematopoiesis including promoting lymphoid progenitor cells to commit to B cell differentiation by repressing T cell-promoting Notch signals, and promoting cell survival during terminal erythroid differentiation through suppression of the proapoptotic factor Bim. |
| Function | Plays a key role in the instruction of early lymphoid progenitors to develop into B lineage by repressing T-cell instructive Notch signals (By similarity). Specifically represses the transcription of the CDKN2A gene. Efficiently abrogates E2F1-dependent CDKN2A transactivation/de-repression. Binds to the consensus sequence 5'-[GA][CA]GACCCCCCCCC-3' (By similarity). [UniProt] |
| Cellular Localization | Nucleus. [UniProt] |
| Calculated MW | 61 kDa |
| PTM | Isopeptide bond; Phosphoprotein; Ubl conjugation. [UniProt] |
Images (4) Click the Picture to Zoom In
-
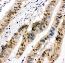
ARG45146 anti-ZBTB7A antibody IHC-P image
Immunohistochemistry: Human intestinal cancer stained with ARG45146 anti-ZBTB7A antibody at 1 μg/ml dilution.
-
ARG45146 anti-ZBTB7A antibody ICC/IF image
Immunofluorescence: A431 stained with ARG45146 anti-ZBTB7A antibody at 5 ug/ml dilution.
-
ARG45146 anti-ZBTB7A antibody WB image
Western blot: MCF-7 stained with ARG45146 anti-ZBTB7A antibody at 0.5 μg/ml dilution.
-
ARG45146 anti-ZBTB7A antibody FACS image
Flow Cytometry: MCF-7 stained with ARG45146 anti-ZBTB7A antibody at 1 µg/10^6 cells dilution.
