ARG58745
anti-ZEB2 antibody
anti-ZEB2 antibody for IHC-Formalin-fixed paraffin-embedded sections,Western blot and Human,Mouse,Rat
Overview
| Product Description | Rabbit Polyclonal antibody recognizes ZEB2 |
|---|---|
| Tested Reactivity | Hu, Ms, Rat |
| Predict Reactivity | Hm |
| Tested Application | IHC-P, WB |
| Host | Rabbit |
| Clonality | Polyclonal |
| Isotype | IgG |
| Target Name | ZEB2 |
| Antigen Species | Human |
| Immunogen | Synthetic peptide corresponding to aa. 948-962 of Human ZEB2. (DMQQRRKYQRKQGFQ) |
| Conjugation | Un-conjugated |
| Alternate Names | Zinc finger E-box-binding homeobox 2; SIP-1; SIP1; SMADIP1; Smad-interacting protein 1; Zinc finger homeobox protein 1b; HSPC082; ZFHX1B |
Application Instructions
| Application Suggestion |
|
||||||
|---|---|---|---|---|---|---|---|
| Application Note | IHC-P: Antigen Retrieval: Heat mediation was performed in Citrate buffer (pH 6.0) for 20 min. * The dilutions indicate recommended starting dilutions and the optimal dilutions or concentrations should be determined by the scientist. |
Properties
| Form | Liquid |
|---|---|
| Purification | Affinity purification with immunogen. |
| Buffer | 0.9% NaCl, 0.2% Na2HPO4, 0.05% Thimerosal, 0.05% Sodium azide and 5% BSA. |
| Preservative | 0.05% Thimerosal and 0.05% Sodium azide |
| Stabilizer | 5% BSA |
| Concentration | 0.5 mg/ml |
| Storage Instruction | For continuous use, store undiluted antibody at 2-8°C for up to a week. For long-term storage, aliquot and store at -20°C or below. Storage in frost free freezers is not recommended. Avoid repeated freeze/thaw cycles. Suggest spin the vial prior to opening. The antibody solution should be gently mixed before use. |
| Note | For laboratory research only, not for drug, diagnostic or other use. |
Bioinformation
| Database Links |
Swiss-port # O60315 Human Zinc finger E-box-binding homeobox 2 Swiss-port # Q9R0G7 Mouse Zinc finger E-box-binding homeobox 2 |
|---|---|
| Gene Symbol | ZEB2 |
| Gene Full Name | zinc finger E-box binding homeobox 2 |
| Background | The protein encoded by this gene is a member of the Zfh1 family of 2-handed zinc finger/homeodomain proteins. It is located in the nucleus and functions as a DNA-binding transcriptional repressor that interacts with activated SMADs. Mutations in this gene are associated with Hirschsprung disease/Mowat-Wilson syndrome. Alternatively spliced transcript variants have been found for this gene.[provided by RefSeq, Jan 2010] |
| Function | Transcriptional inhibitor that binds to DNA sequence 5'-CACCT-3' in different promoters. Represses transcription of E-cadherin. [UniProt] |
| Cellular Localization | Nucleus. [UniProt] |
| Calculated MW | 136 kDa |
| PTM | Sumoylation on Lys-391 and Lys-866 is promoted by the E3 SUMO-protein ligase CBX4, and impairs interaction with CTBP1 and transcription repression activity. [UniProt] |
Images (4) Click the Picture to Zoom In
-
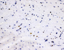
ARG58745 anti-ZEB2 antibody IHC-P image
Immunohistochemistry: Paraffin-embedded Mouse brain tissue. Antigen Retrieval: Heat mediation was performed in Citrate buffer (pH 6.0) for 20 min. The tissue section was blocked with 10% goat serum. The tissue section was then stained with ARG58745 anti-ZEB2 antibody at 1 µg/ml dilution, overnight at 4°C.
-
ARG58745 anti-ZEB2 antibody WB image
Western blot: 1) 293T and 2) HeLa cell lysates stained with ARG58745 anti-ZEB2 antibody.
-
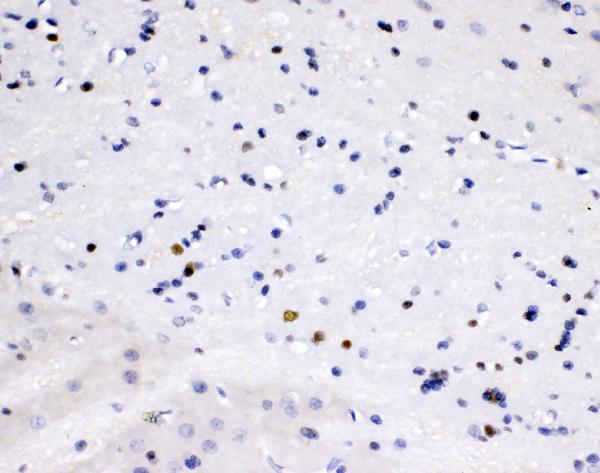
ARG58745 anti-ZEB2 antibody IHC-P image
Immunohistochemistry: Paraffin-embedded Rat brain tissue. Antigen Retrieval: Heat mediation was performed in Citrate buffer (pH 6.0) for 20 min. The tissue section was blocked with 10% goat serum. The tissue section was then stained with ARG58745 anti-ZEB2 antibody at 1 µg/ml dilution, overnight at 4°C.
-
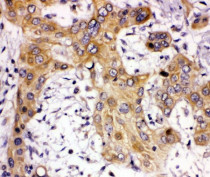
ARG58745 anti-ZEB2 antibody IHC-P image
Immunohistochemistry: Paraffin-embedded Human glioma tissue. Antigen Retrieval: Heat mediation was performed in Citrate buffer (pH 6.0) for 20 min. The tissue section was blocked with 10% goat serum. The tissue section was then stained with ARG58745 anti-ZEB2 antibody at 1 µg/ml dilution, overnight at 4°C.
