ARG65803
anti-ZFYVE19 / ANCHR antibody
anti-ZFYVE19 / ANCHR antibody for IHC-Formalin-fixed paraffin-embedded sections,Western blot and Human
Overview
| Product Description | Rabbit Polyclonal antibody recognizes ZFYVE19 / ANCHR |
|---|---|
| Tested Reactivity | Hu |
| Tested Application | IHC-P, WB |
| Host | Rabbit |
| Clonality | Polyclonal |
| Isotype | IgG |
| Target Name | ZFYVE19 / ANCHR |
| Antigen Species | Human |
| Immunogen | KLH-conjugated synthetic peptide around the center region of Human ZFYVE19 / ANCHR. |
| Conjugation | Un-conjugated |
| Alternate Names | MPFYVE; Zinc finger FYVE domain-containing protein 19; ANCHR; Abscission/NoCut checkpoint regulator; MLL partner containing FYVE domain |
Application Instructions
| Application Suggestion |
|
||||||
|---|---|---|---|---|---|---|---|
| Application Note | * The dilutions indicate recommended starting dilutions and the optimal dilutions or concentrations should be determined by the scientist. |
Properties
| Form | Liquid |
|---|---|
| Purification | Affinity purification with immunogen. |
| Buffer | PBS (pH 7.3), 0.02% Sodium azide and 0.2% BSA. |
| Preservative | 0.02% Sodium azide |
| Stabilizer | 0.2% BSA |
| Storage Instruction | For continuous use, store undiluted antibody at 2-8°C for up to a week. For long-term storage, aliquot and store at -20°C or below. Storage in frost free freezers is not recommended. Avoid repeated freeze/thaw cycles. Suggest spin the vial prior to opening. The antibody solution should be gently mixed before use. |
| Note | For laboratory research only, not for drug, diagnostic or other use. |
Bioinformation
| Database Links |
Swiss-port # Q96K21 Human Abscission/NoCut checkpoint regulator |
|---|---|
| Gene Symbol | ZFYVE19 |
| Gene Full Name | zinc finger, FYVE domain containing 19 |
| Function | Key regulator of abscission step in cytokinesis: part of the cytokinesis checkpoint, a process required to delay abscission to prevent both premature resolution of intercellular chromosome bridges and accumulation of DNA damage. Together with CHMP4C, required to retain abscission-competent VPS4 (VPS4A and/or VPS4B) at the midbody ring until abscission checkpoint signaling is terminated at late cytokinesis. Deactivation of AURKB results in dephosphorylation of CHMP4C followed by its dissociation from ZFYVE19/ANCHR and VPS4 and subsequent abscission. [UniProt] |
| Calculated MW | 52 kDa |
Images (2) Click the Picture to Zoom In
-
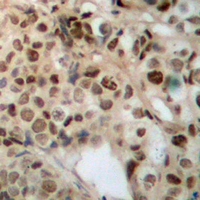
ARG65803 anti-ZFYVE19 / ANCHR antibody IHC-P image
Immunohistochemistry: Formalin-fixed and paraffin-embedded Human breast cancer tissue section. Antigen retrieval: Heat mediated with Sodium citrate buffer (pH 6.0). The section was then stained with ARG65803 anti-ZFYVE19 / ANCHR antibody at RT and detected using an HRP conjugacompact polymer system. DAB was used as the chromogen. The section was then counterstained with haematoxylin and mounted with DPX.
-
ARG65803 anti-ZFYVE19 / ANCHR antibody WB image
Western blot: Raji, A431 and HT29 whole cell lysates stained with ARG65803 anti-ZFYVE19 / ANCHR antibody.
