ARG63550
anti-ZIC5 antibody
anti-ZIC5 antibody for IHC-Formalin-fixed paraffin-embedded sections and Human
Gene Regulation antibody; Neuroscience antibody
Overview
| Product Description | Goat Polyclonal antibody recognizes ZIC5 |
|---|---|
| Tested Reactivity | Hu |
| Tested Application | IHC-P |
| Host | Goat |
| Clonality | Polyclonal |
| Isotype | IgG |
| Target Name | ZIC5 |
| Antigen Species | Human |
| Immunogen | C-EIYGNPEVVRTIH |
| Conjugation | Un-conjugated |
| Alternate Names | Zinc finger protein of the cerebellum 5; Zinc finger protein ZIC 5 |
Application Instructions
| Application Suggestion |
|
||||
|---|---|---|---|---|---|
| Application Note | IHC-P: Antigen Retrieval: Steam tissue section in Citrate buffer (pH 6.0). * The dilutions indicate recommended starting dilutions and the optimal dilutions or concentrations should be determined by the scientist. |
Properties
| Form | Liquid |
|---|---|
| Purification | Purified from goat serum by antigen affinity chromatography. |
| Buffer | Tris saline (pH 7.3), 0.02% Sodium azide and 0.5% BSA. |
| Preservative | 0.02% Sodium azide |
| Stabilizer | 0.5% BSA |
| Concentration | 0.5 mg/ml |
| Storage Instruction | For continuous use, store undiluted antibody at 2-8°C for up to a week. For long-term storage, aliquot and store at -20°C or below. Storage in frost free freezers is not recommended. Avoid repeated freeze/thaw cycles. Suggest spin the vial prior to opening. The antibody solution should be gently mixed before use. |
| Note | For laboratory research only, not for drug, diagnostic or other use. |
Bioinformation
| Database Links | |
|---|---|
| Background | This gene encodes a member of the ZIC family of C2H2-type zinc finger proteins. Members of this family are important during development, and have been associated X-linked visceral heterotaxy and holoprosencephaly type 5. This gene is closely linked to a gene encoding zinc finger protein of the cerebellum 2, a related family member on chromosome 13. [provided by RefSeq, Jul 2008] |
| Research Area | Gene Regulation antibody; Neuroscience antibody |
| Calculated MW | 68 kDa |
Images (3) Click the Picture to Zoom In
-
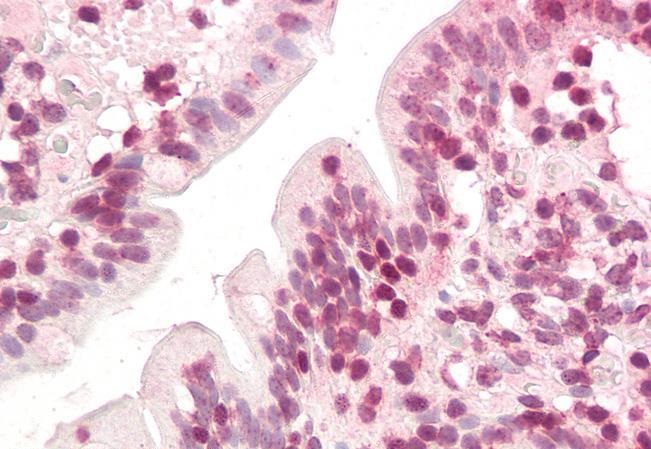
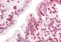
ARG63550 anti-ZIC5 antibody IHC-P image
Immunohistochemistry: Paraffin-embedded Human small intestine tissue. Antigen Retrieval: Steam tissue section in Citrate buffer (pH 6.0). The tissue section was stained with ARG63550 anti-ZIC5 antibody at 3.75 µg/ml dilution followed by AP-staining.
-
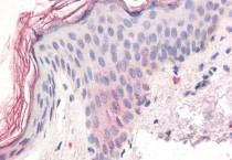
ARG63550 anti-ZIC5 antibody IHC-P image
Immunohistochemistry: Paraffin-embedded Human skin tissue. Antigen Retrieval: Steam tissue section in Citrate buffer (pH 6.0). The tissue section was stained with ARG63550 anti-ZIC5 antibody at 3.75 µg/ml dilution followed by AP-staining.
-
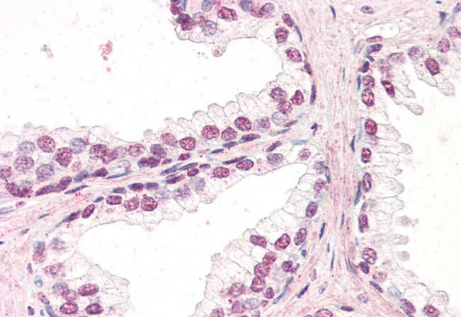
ARG63550 anti-ZIC5 antibody IHC-P image
Immunohistochemistry: Paraffin-embedded Human prostate tissue. Antigen Retrieval: Steam tissue section in Citrate buffer (pH 6.0). The tissue section was stained with ARG63550 anti-ZIC5 antibody at 3.75 µg/ml dilution followed by AP-staining.
