ARG64031
anti-ZNF217 antibody
anti-ZNF217 antibody for Flow cytometry,ICC/IF,IHC-Formalin-fixed paraffin-embedded sections and Human
Cancer antibody; Gene Regulation antibody
Overview
| Product Description | Goat Polyclonal antibody recognizes ZNF217 |
|---|---|
| Tested Reactivity | Hu |
| Tested Application | FACS, ICC/IF, IHC-P |
| Host | Goat |
| Clonality | Polyclonal |
| Isotype | IgG |
| Target Name | ZNF217 |
| Antigen Species | Human |
| Immunogen | C-KNAADDSADKVNKN |
| Conjugation | Un-conjugated |
| Alternate Names | Zinc finger protein 217; ZABC1 |
Application Instructions
| Application Suggestion |
|
||||||||
|---|---|---|---|---|---|---|---|---|---|
| Application Note | IHC-P: Antigen Retrieval: Steam tissue section in Citrate buffer (pH 6.0). * The dilutions indicate recommended starting dilutions and the optimal dilutions or concentrations should be determined by the scientist. |
Properties
| Form | Liquid |
|---|---|
| Purification | Purified from goat serum by antigen affinity chromatography. |
| Buffer | Tris saline (pH 7.3), 0.02% Sodium azide and 0.5% BSA. |
| Preservative | 0.02% Sodium azide |
| Stabilizer | 0.5% BSA |
| Concentration | 0.5 mg/ml |
| Storage Instruction | For continuous use, store undiluted antibody at 2-8°C for up to a week. For long-term storage, aliquot and store at -20°C or below. Storage in frost free freezers is not recommended. Avoid repeated freeze/thaw cycles. Suggest spin the vial prior to opening. The antibody solution should be gently mixed before use. |
| Note | For laboratory research only, not for drug, diagnostic or other use. |
Bioinformation
| Database Links | |
|---|---|
| Gene Symbol | ZNF217 |
| Gene Full Name | zinc finger protein 217 |
| Function | Binds to the promoters of target genes and functions as repressor. Promotes cell proliferation and antagonizes cell death. Promotes phosphorylation of AKT1 at 'Ser-473'. [UniProt] |
| Research Area | Cancer antibody; Gene Regulation antibody |
| Calculated MW | 115 kDa |
Images (3) Click the Picture to Zoom In
-
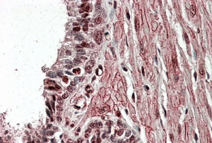
ARG64031 anti-ZNF217 antibody IHC-P image
Immunohistochemistry: paraffin embedded Human Prostate. (Steamed antigen retrieval with citrate buffer pH 6) stained with ARG64031 anti-ZNF217 antibody at 3.8 µg/ml dilution followed by AP-staining.
-
ARG64031 anti-ZNF217 antibody ICC/IF image
Immunofluorescence: MCF7 stained with ARG64031 anti-ZNF217 antibody at 10ug/ml dilution.
-
ARG64031 anti-ZNF217 antibody FACS image
Flow Cytometry: MCF7 stained with ARG64031 anti-ZNF217 antibody at 10ug/ml dilution.
