ARG41259
anti-ZNF264 antibody
anti-ZNF264 antibody for IHC-Formalin-fixed paraffin-embedded sections,Western blot and Human
Overview
| Product Description | Rabbit Polyclonal antibody recognizes ZNF264 |
|---|---|
| Tested Reactivity | Hu |
| Predict Reactivity | Cow, Rat, Dog, Hrs, Rb |
| Tested Application | IHC-P, WB |
| Host | Rabbit |
| Clonality | Polyclonal |
| Isotype | IgG |
| Target Name | ZNF264 |
| Antigen Species | Human |
| Immunogen | Synthetic peptide around the C-terminal region of Human ZNF264. (within the following region: SGQTSVTLRELLLGKDFLNVTTEANILPEETSSSASDQPYQRETPQVSSL) |
| Conjugation | Un-conjugated |
| Alternate Names | Zinc finger protein 264 |
Application Instructions
| Predict Reactivity Note | Predicted Homology Based On Immunogen Sequence: Cow: 86%; Dog: 79%; Horse: 86%; Rabbit: 79%; Rat: 79% | ||||||
|---|---|---|---|---|---|---|---|
| Application Suggestion |
|
||||||
| Application Note | * The dilutions indicate recommended starting dilutions and the optimal dilutions or concentrations should be determined by the scientist. | ||||||
| Positive Control | Jurkat | ||||||
| Observed Size | 70 kDa |
Properties
| Form | Liquid |
|---|---|
| Purification | Affinity purified. |
| Buffer | PBS, 0.09% (w/v) Sodium azide and 2% Sucrose. |
| Preservative | 0.09% (w/v) Sodium azide |
| Stabilizer | 2% Sucrose |
| Concentration | Batch dependent: 0.5 - 1 mg/ml |
| Storage Instruction | For continuous use, store undiluted antibody at 2-8°C for up to a week. For long-term storage, aliquot and store at -20°C or below. Storage in frost free freezers is not recommended. Avoid repeated freeze/thaw cycles. Suggest spin the vial prior to opening. The antibody solution should be gently mixed before use. |
| Note | For laboratory research only, not for drug, diagnostic or other use. |
Bioinformation
| Database Links | |
|---|---|
| Gene Symbol | ZNF264 |
| Gene Full Name | zinc finger protein 264 |
| Background | This gene encodes a zinc finger protein and belongs to the krueppel C2H2-type zinc-finger protein family. Zinc finger proteins are often localized in the nucleus, bind nucleic acids, and regulate transcription. [provided by RefSeq, Jan 2010] |
| Function | May be involved in transcriptional regulation. [UniProt] |
| Cellular Localization | Nucleus. [UniProt] |
| Calculated MW | 71 kDa |
Images (2) Click the Picture to Zoom In
-
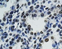
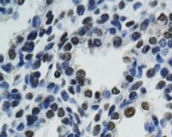
ARG41259 anti-ZNF264 antibody IHC-P image
Immunohistochemistry: Paraffin-embedded Human lung tissue stained with ARG41259 anti-ZNF264 antibody at 4 - 8 µg/ml dilution.
-
ARG41259 anti-ZNF264 antibody WB image
Western blot: Jurkat cell lysate stained with ARG41259 anti-ZNF264 antibody at 0.2 - 1 µg/ml dilution.
