ARG66718
anti-ZNF608 antibody
anti-ZNF608 antibody for IHC-Formalin-fixed paraffin-embedded sections,Western blot and Human
Overview
| Product Description | Rabbit Polyclonal antibody recognizes ZNF608 |
|---|---|
| Tested Reactivity | Hu |
| Tested Application | IHC-P, WB |
| Host | Rabbit |
| Clonality | Polyclonal |
| Isotype | IgG |
| Target Name | ZNF608 |
| Antigen Species | Human |
| Immunogen | Synthetic peptide corresponding to aa. 1231-1280 of Human ZNF608. |
| Conjugation | Un-conjugated |
| Alternate Names | Renal carcinoma antigen NY-REN-36; NY-REN-36; Zinc finger protein 608 |
Application Instructions
| Application Suggestion |
|
||||||
|---|---|---|---|---|---|---|---|
| Application Note | * The dilutions indicate recommended starting dilutions and the optimal dilutions or concentrations should be determined by the scientist. | ||||||
| Positive Control | HeLa | ||||||
| Observed Size | ~ 160 kDa |
Properties
| Form | Liquid |
|---|---|
| Purification | Affinity purification with immunogen. |
| Buffer | PBS, 0.02% Sodium azide, 50% Glycerol and 0.5% BSA. |
| Preservative | 0.02% Sodium azide |
| Stabilizer | 50% Glycerol and 0.5% BSA |
| Concentration | 1 mg/ml |
| Storage Instruction | For continuous use, store undiluted antibody at 2-8°C for up to a week. For long-term storage, aliquot and store at -20°C. Storage in frost free freezers is not recommended. Avoid repeated freeze/thaw cycles. Suggest spin the vial prior to opening. The antibody solution should be gently mixed before use. |
| Note | For laboratory research only, not for drug, diagnostic or other use. |
Bioinformation
| Database Links | |
|---|---|
| Gene Symbol | ZNF608 |
| Gene Full Name | zinc finger protein 608 |
| Function | Transcription factor, which represses ZNF609 transcription. [UniProt] |
| Calculated MW | 162 kDa |
Images (2) Click the Picture to Zoom In
-
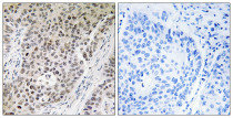
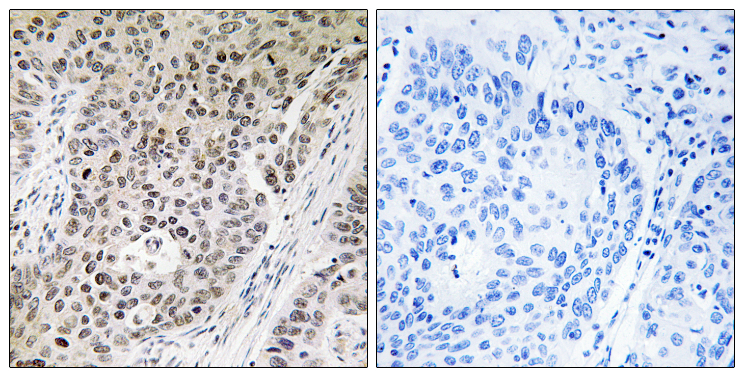
ARG66718 anti-ZNF608 antibody IHC-P image
Immunohistochemistry: Paraffin-embedded Human lung carcinoma tissue stained with ARG66718 anti-ZNF608 antibody. The picture on the right is blocked with the synthetic peptide.
-
ARG66718 anti-ZNF608 antibody WB image
Western blot: HeLa cell lysate stained with ARG66718 anti-ZNF608 antibody at 1:500 dilution.
