ARG46703
anti-ZSCAN4 antibody
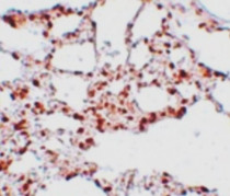
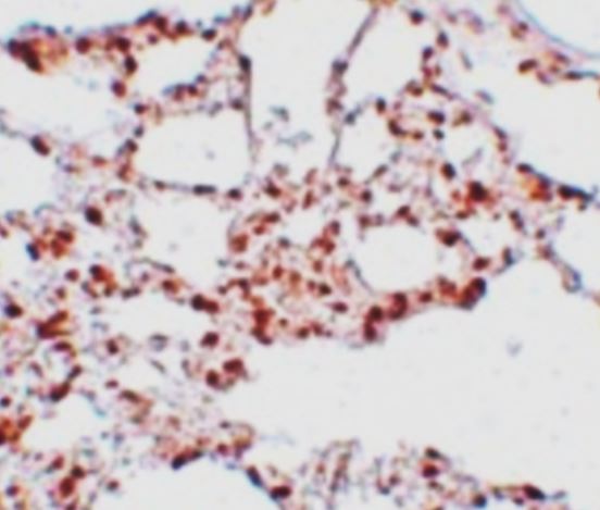
anti-ZSCAN4 antibody for Western blot,IHC-Formalin-fixed paraffin-embedded sections and Human,Mouse,Rat
Overview
| Product Description | Rabbit Polyclonal antibody recognizes ZSCAN4 |
|---|---|
| Tested Reactivity | Hu, Ms, Rat |
| Tested Application | IHC-P, WB |
| Host | Rabbit |
| Clonality | Polyclonal |
| Isotype | IgG |
| Target Name | ZSCAN4 |
| Antigen Species | Human |
| Immunogen | A 18 amino acid synthetic peptide within the last 50 amino acids of human ZSCAN4. |
| Conjugation | Un-conjugated |
| Alternate Names | ZSCAN4; Zinc finger protein 494; Zinc finger and SCAN domain-containing protein 4; ZNF494 |
Application Instructions
| Application Suggestion |
|
||||||
|---|---|---|---|---|---|---|---|
| Application Note | * The dilutions indicate recommended starting dilutions and the optimal dilutions or concentrations should be determined by the scientist. | ||||||
| Observed Size | 64 kDa |
Properties
| Purification | Affinity chromatography purified |
|---|---|
| Buffer | PBS and 0.02% Sodium azide. |
| Preservative | 0.02% Sodium azide |
| Concentration | 1 mg/ml |
| Storage Instruction | For continuous use, store undiluted antibody at 2-8°C for up to a week. For long-term storage, aliquot and store at -20°C. Storage in frost free freezers is not recommended. Avoid repeated freeze/thaw cycles. Suggest spin the vial prior to opening. The antibody solution should be gently mixed before use. |
| Note | For laboratory research only, not for drug, diagnostic or other use. |
Bioinformation
| Database Links |
Swiss-port # Q8NAM6 Human Zinc finger and SCAN domain-containing protein 4 |
|---|---|
| Gene Symbol | ZSCAN4 |
| Gene Full Name | zinc finger and SCAN domain containing 4 |
| Background | The ZSCAN4 gene encodes a protein involved in telomere maintenance and with a key role in the critical feature of mouse embryonic stem (ES) cells, namely, defying cellular senescence and maintaining normal karyotype for many cell divisions in culture (Zalzman et al., 2010 [PubMed 20336070]).[supplied by OMIM, May 2010] |
| Function | Embryonic stem (ES) cell-specific transcription factor required to regulate ES cell pluripotency. Binds telomeres and plays a key role in genomic stability in ES cells by regulating telomere elongation. Acts as an activator of spontaneous telomere sister chromatid exchange (T-SCE) and telomere elongation in undifferentiated ES cells (By similarity). [UniProt] |
| Cellular Localization | Nucleus, Chromosome, telomere. [UniProt] |
| Calculated MW | 48 kDa |
Images (2) Click the Picture to Zoom In
