ARG45829
anti-Zebrafish ABCC12 antibody
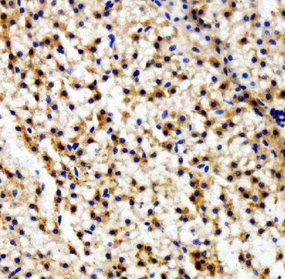
anti-Zebrafish ABCC12 antibody for IHC-Formalin-fixed paraffin-embedded sections and Zebrafish
Overview
| Product Description | Rabbit Polyclonal antibody recognizes ABCC12 |
|---|---|
| Tested Reactivity | Zfsh |
| Tested Application | IHC-P |
| Host | Rabbit |
| Clonality | Polyclonal |
| Isotype | IgG |
| Target Name | ABCC12 |
| Antigen Species | Zebrafish |
| Conjugation | Un-conjugated |
| Alternate Names | ABCC12; ATP Binding Cassette Subfamily C Member 12; MRP9; ATP-Binding Cassette, Sub-Family C (CFTR/MRP), Member 12; ATP-Binding Cassette Sub-Family C Member 12; Multidrug Resistance-Associated Protein 9; ATP-Binding Cassette Transporter Sub-Family C Member 12 |
Application Instructions
| Application Suggestion |
|
||||
|---|---|---|---|---|---|
| Application Note | * The dilutions indicate recommended starting dilutions and the optimal dilutions or concentrations should be determined by the scientist. |
Properties
| Form | Liquid |
|---|---|
| Purification | Affinity chromatography purified |
| Buffer | 0.9% NaCl, 0.2% Na2HPO4, 0.02% Sodium azide and 50% glycerol. |
| Preservative | 0.02% Sodium azide |
| Stabilizer | 50% glycerol |
| Concentration | 0.5 mg/ml |
| Storage Instruction | For continuous use, store undiluted antibody at 2-8°C for up to a week. For long-term storage, aliquot and store at -20°C or below. Storage in frost free freezers is not recommended. Avoid repeated freeze/thaw cycles. Suggest spin the vial prior to opening. The antibody solution should be gently mixed before use. |
| Note | For laboratory research only, not for drug, diagnostic or other use. |
Bioinformation
| Gene Symbol | ABCC12 |
|---|---|
| Gene Full Name | ATP Binding Cassette Subfamily C Member 12 |
| Background | This gene is a member of the superfamily of ATP-binding cassette (ABC) transporters and the encoded protein contains two ATP-binding domains and 12 transmembrane regions. ABC proteins transport various molecules across extra- and intracellular membranes. ABC genes are divided into seven distinct subfamilies: ABC1, MDR/TAP, MRP, ALD, OABP, GCN20, and White. This gene is a member of the MRP subfamily which is involved in multi-drug resistance. This gene and another subfamily member are arranged head-to-tail on chromosome 16q12.1. Increased expression of this gene is associated with breast cancer. [provided by RefSeq, Jul 2008] |
| Function | Probable transporter, its substrate specificity is unknown.. [UniProt] |
| Cellular Localization | Membrane. [UniProt] |
| Calculated MW | 153 kDa |
| PTM | Glycoprotein. [UniProt] |
Images (1) Click the Picture to Zoom In
