ARG45869
anti-Zebrafish DUSP4 antibody
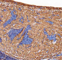
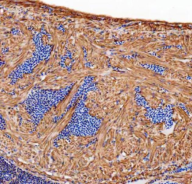
anti-Zebrafish DUSP4 antibody for IHC-Formalin-fixed paraffin-embedded sections and Zebrafish
Overview
| Product Description | Rabbit Polyclonal antibody recognizes DUSP4 |
|---|---|
| Tested Reactivity | Zfsh |
| Tested Application | IHC-P |
| Host | Rabbit |
| Clonality | Polyclonal |
| Isotype | IgG |
| Target Name | DUSP4 |
| Antigen Species | Zebrafish |
| Conjugation | Un-conjugated |
| Alternate Names | DUSP4; dual specificity phosphatase 4; MKP-2; MAP kinase phosphatase 2; MKP2; EC 3.1.3.16; HVH2; Dual specificity protein phosphatase 4; Dual specificity protein phosphatase hVH2; EC 3.1.3.48; Mitogen-activated protein kinase phosphatase 2; TYP |
Application Instructions
| Application Suggestion |
|
||||
|---|---|---|---|---|---|
| Application Note | * The dilutions indicate recommended starting dilutions and the optimal dilutions or concentrations should be determined by the scientist. |
Properties
| Form | Liquid |
|---|---|
| Purification | Affinity chromatography purified |
| Buffer | 0.02M PBS, 0.02% Sodium azide and 50% Glycerol. |
| Preservative | 0.02% Sodium azide |
| Stabilizer | 50% glycerol |
| Concentration | 0.5 mg/ml |
| Storage Instruction | For continuous use, store undiluted antibody at 2-8°C for up to a week. For long-term storage, aliquot and store at -20°C or below. Storage in frost free freezers is not recommended. Avoid repeated freeze/thaw cycles. Suggest spin the vial prior to opening. The antibody solution should be gently mixed before use. |
| Note | For laboratory research only, not for drug, diagnostic or other use. |
Bioinformation
| Gene Symbol | DUSP4 |
|---|---|
| Gene Full Name | dual specificity phosphatase 4 |
| Background | The protein encoded by this gene is a member of the dual specificity protein phosphatase subfamily. These phosphatases inactivate their target kinases by dephosphorylating both the phosphoserine/threonine and phosphotyrosine residues. They negatively regulate members of the mitogen-activated protein (MAP) kinase superfamily (MAPK/ERK, SAPK/JNK, p38), which are associated with cellular proliferation and differentiation. Different members of the family of dual specificity phosphatases show distinct substrate specificities for various MAP kinases, different tissue distribution and subcellular localization, and different modes of inducibility of their expression by extracellular stimuli. This gene product inactivates ERK1, ERK2 and JNK, is expressed in a variety of tissues, and is localized in the nucleus. Two alternatively spliced transcript variants, encoding distinct isoforms, have been observed for this gene. In addition, multiple polyadenylation sites have been reported. [provided by RefSeq, Jul 2008] |
| Function | Regulates mitogenic signal transduction by dephosphorylating both Thr and Tyr residues on MAP kinases ERK1 and ERK2. [UniProt] |
| Cellular Localization | Nucleus. [UniProt] |
| Calculated MW | 43 kDa |
| PTM | Phosphorylation in the C-terminus by ERK1/2 inhibits proteasomal degradation and stabilizes the protein. [UniProt] |
Images (1) Click the Picture to Zoom In
