ARG45855
anti-Zebrafish PTPRQ antibody
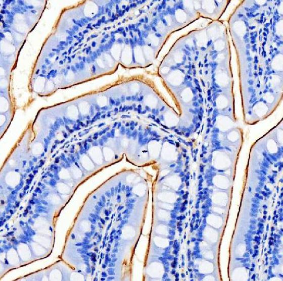
anti-Zebrafish PTPRQ antibody for IHC-Formalin-fixed paraffin-embedded sections and Zebrafish
Overview
| Product Description | Rabbit Polyclonal antibody recognizes PTPRQ |
|---|---|
| Tested Reactivity | Zfsh |
| Tested Application | IHC-P |
| Host | Rabbit |
| Clonality | Polyclonal |
| Isotype | IgG |
| Target Name | PTPRQ |
| Antigen Species | Zebrafish |
| Conjugation | Un-conjugated |
| Alternate Names | Phosphatidylinositol phosphatase; PTPRQ; Ptprq; R-PTP-Q; protein tyrosine phosphatase, receptor type, Q; |
Application Instructions
| Application Suggestion |
|
||||
|---|---|---|---|---|---|
| Application Note | * The dilutions indicate recommended starting dilutions and the optimal dilutions or concentrations should be determined by the scientist. |
Properties
| Form | Liquid |
|---|---|
| Purification | Affinity chromatography purified |
| Buffer | 0.02M PBS, 0.02% Sodium azide and 50% Glycerol. |
| Preservative | 0.02% Sodium azide |
| Stabilizer | 50% glycerol |
| Concentration | 0.5 mg/ml |
| Storage Instruction | For continuous use, store undiluted antibody at 2-8°C for up to a week. For long-term storage, aliquot and store at -20°C or below. Storage in frost free freezers is not recommended. Avoid repeated freeze/thaw cycles. Suggest spin the vial prior to opening. The antibody solution should be gently mixed before use. |
| Note | For laboratory research only, not for drug, diagnostic or other use. |
Bioinformation
| Gene Symbol | PTPRQ |
|---|---|
| Gene Full Name | Phosphatidylinositol phosphatase |
| Background | This gene encodes a protein that contains laminin EGF motifs, a pentaxin domain, and many fibronectin type III motifs. The protein is found in the basement membrane, and may be important in development and homeostasis of the inner ear and retina. Mutations within this gene have been associated with Usher syndrome type IIa and retinitis pigmentosa. Multiple transcript variants encoding different isoforms have been found for this gene. [provided by RefSeq, Dec 2008] |
| Function | Involved in hearing and vision as member of the USH2 complex. In the inner ear, required for the maintenance of the hair bundle ankle formation, which connects growing stereocilia in developing cochlear hair cells. In retina photoreceptors, the USH2 complex is required for the maintenance of periciliary membrane complex that seems to play a role in regulating intracellular protein transport.. [UniProt] |
| Cellular Localization | Cell membrane; Cell projection; Membrane; Secreted. [UniProt] |
| Calculated MW | 257 kDa |
| PTM | Disulfide bond ; Glycoprotein. [UniProt] |
Images (1) Click the Picture to Zoom In
