ARG45856
anti-Zebrafish PXDN / VPO1 antibody
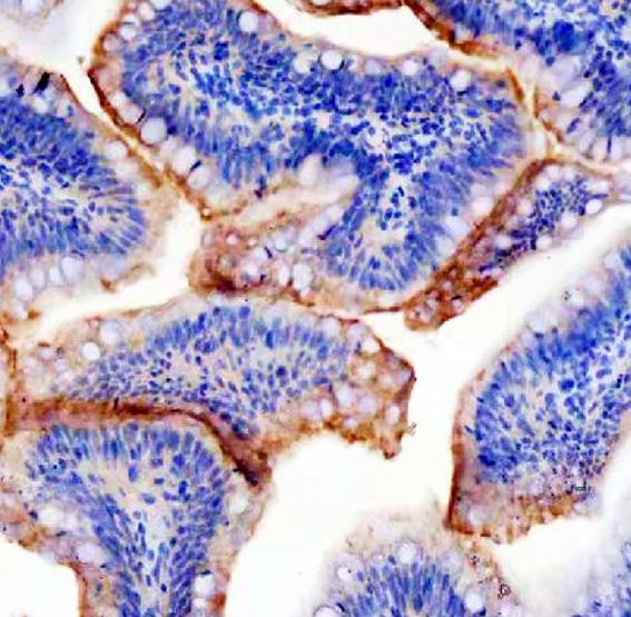
anti-Zebrafish PXDN / VPO1 antibody for IHC-Formalin-fixed paraffin-embedded sections and Zebrafish
Overview
| Product Description | Rabbit Polyclonal antibody recognizes PXDN / VPO1 |
|---|---|
| Tested Reactivity | Zfsh |
| Tested Application | IHC-P |
| Host | Rabbit |
| Clonality | Polyclonal |
| Isotype | IgG |
| Target Name | PXDN / VPO1 |
| Antigen Species | Zebrafish |
| Conjugation | Un-conjugated |
| Alternate Names | PXDN; peroxidasin; PXN; VPO; MG50; PRG2; COPOA; D2S448; D2S448E |
Application Instructions
| Application Suggestion |
|
||||
|---|---|---|---|---|---|
| Application Note | * The dilutions indicate recommended starting dilutions and the optimal dilutions or concentrations should be determined by the scientist. |
Properties
| Form | Liquid |
|---|---|
| Purification | Affinity chromatography purified |
| Buffer | 0.9% NaCl, 0.2% Na2HPO4, 0.02% Sodium azide and 50% glycerol. |
| Preservative | 0.02% Sodium azide |
| Stabilizer | 50% glycerol |
| Concentration | 0.5 mg/ml |
| Storage Instruction | For continuous use, store undiluted antibody at 2-8°C for up to a week. For long-term storage, aliquot and store at -20°C or below. Storage in frost free freezers is not recommended. Avoid repeated freeze/thaw cycles. Suggest spin the vial prior to opening. The antibody solution should be gently mixed before use. |
| Note | For laboratory research only, not for drug, diagnostic or other use. |
Bioinformation
| Gene Symbol | PXDN |
|---|---|
| Gene Full Name | peroxidasin |
| Background | This gene encodes a heme-containing peroxidase that is secreted into the extracellular matrix. It is involved in extracellular matrix formation, and may function in the physiological and pathological fibrogenic response in fibrotic kidney. Mutations in this gene cause corneal opacification and other ocular anomalies, and also microphthalmia and anterior segment dysgenesis. [provided by RefSeq, Aug 2014] |
| Function | Displays low peroxidase activity and is likely to participate in H(2)O(2) metabolism and peroxidative reactions in the cardiovascular system. Plays a role in extracellular matrix formation. [UniProt] |
| Cellular Localization | Basement membrane; Endoplasmic reticulum; Extracellular matrix; Secreted. [UniProt] |
| Calculated MW | 64 kDa |
| PTM | Disulfide bond; Glycoprotein; Phosphoprotein. [UniProt] |
Images (1) Click the Picture to Zoom In
