ARG45854
anti-Zebrafish Pcdh15b antibody
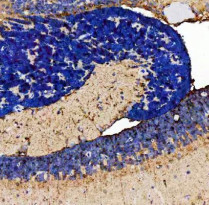
anti-Zebrafish Pcdh15b antibody for IHC-Formalin-fixed paraffin-embedded sections and Zebrafish
Overview
| Product Description | Rabbit Polyclonal antibody recognizes Pcdh15b |
|---|---|
| Tested Reactivity | Zfsh |
| Tested Application | IHC-P |
| Host | Rabbit |
| Clonality | Polyclonal |
| Isotype | IgG |
| Target Name | Pcdh15b |
| Antigen Species | Zebrafish |
| Conjugation | Un-conjugated |
| Alternate Names | PCDH15B; Protocadherin Related 15B; |
Application Instructions
| Application Suggestion |
|
||||
|---|---|---|---|---|---|
| Application Note | * The dilutions indicate recommended starting dilutions and the optimal dilutions or concentrations should be determined by the scientist. |
Properties
| Form | Liquid |
|---|---|
| Purification | Affinity chromatography purified |
| Buffer | 0.02M PBS, 0.02% Sodium azide and 50% Glycerol. |
| Preservative | 0.02% Sodium azide |
| Stabilizer | 50% glycerol |
| Concentration | 0.5 mg/ml |
| Storage Instruction | For continuous use, store undiluted antibody at 2-8°C for up to a week. For long-term storage, aliquot and store at -20°C or below. Storage in frost free freezers is not recommended. Avoid repeated freeze/thaw cycles. Suggest spin the vial prior to opening. The antibody solution should be gently mixed before use. |
| Note | For laboratory research only, not for drug, diagnostic or other use. |
Bioinformation
| Gene Symbol | PCDH15B |
|---|---|
| Gene Full Name | Protocadherin Related 15B |
Images (1) Click the Picture to Zoom In
