ARG45864
anti-Zebrafish TPRN antibody
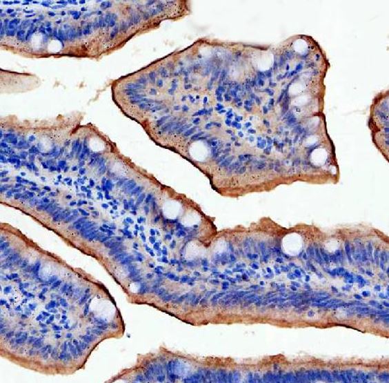
anti-Zebrafish TPRN antibody for IHC-Formalin-fixed paraffin-embedded sections and Zebrafish
Overview
| Product Description | Rabbit Polyclonal antibody recognizes TPRN |
|---|---|
| Tested Reactivity | Zfsh |
| Tested Application | IHC-P |
| Host | Rabbit |
| Clonality | Polyclonal |
| Isotype | IgG |
| Target Name | TPRN |
| Antigen Species | Zebrafish |
| Conjugation | Un-conjugated |
| Alternate Names | TPRN; Taperin; C9orf75; FLJ90254; DFNB79; Chromosome 9 Open Reading Frame 75; Deafness, Autosomal Recessive 79 |
Application Instructions
| Application Suggestion |
|
||||
|---|---|---|---|---|---|
| Application Note | * The dilutions indicate recommended starting dilutions and the optimal dilutions or concentrations should be determined by the scientist. |
Properties
| Form | Liquid |
|---|---|
| Purification | Affinity chromatography purified |
| Buffer | 0.02M PBS, 0.02% Sodium azide and 50% Glycerol. |
| Preservative | 0.02% Sodium azide |
| Stabilizer | 50% glycerol |
| Concentration | 0.5 mg/ml |
| Storage Instruction | For continuous use, store undiluted antibody at 2-8°C for up to a week. For long-term storage, aliquot and store at -20°C or below. Storage in frost free freezers is not recommended. Avoid repeated freeze/thaw cycles. Suggest spin the vial prior to opening. The antibody solution should be gently mixed before use. |
| Note | For laboratory research only, not for drug, diagnostic or other use. |
Bioinformation
| Gene Symbol | TPRN |
|---|---|
| Gene Full Name | Taperin |
| Background | This locus encodes a sensory epithelial protein. It was defined by linkage analysis in three Pakistani families to lie between D9S1818 (centromeric) and D9SH6 (telomeric). Mutations at this locus have been associated with autosomal recessive deafness. [provided by RefSeq, Oct 2010] |
| Function | Recruited to sites of DNA damage and may play a role in DNA damage repair. [UniProt] |
| Cellular Localization | Cell projection; Cytoplasm; Nucleus. [UniProt] |
| Calculated MW | 76 kDa |
| PTM | Phosphoprotein. [UniProt] |
Images (1) Click the Picture to Zoom In
