ARG45866
anti-Zebrafish vWF antibody
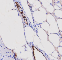
anti-Zebrafish vWF antibody for IHC-Formalin-fixed paraffin-embedded sections and Zebrafish
Overview
| Product Description | Rabbit Polyclonal antibody recognizes vWF |
|---|---|
| Tested Reactivity | Zfsh |
| Tested Application | IHC-P |
| Host | Rabbit |
| Clonality | Polyclonal |
| Isotype | IgG |
| Target Name | vWF |
| Antigen Species | Zebrafish |
| Conjugation | Un-conjugated |
| Alternate Names | VWD; von Willebrand factor; vWF; von Willebrand antigen II; F8VWF |
Application Instructions
| Application Suggestion |
|
||||
|---|---|---|---|---|---|
| Application Note | * The dilutions indicate recommended starting dilutions and the optimal dilutions or concentrations should be determined by the scientist. |
Properties
| Form | Liquid |
|---|---|
| Purification | Affinity chromatography purified |
| Buffer | 0.02M PBS, 0.02% Sodium azide and 50% Glycerol. |
| Preservative | 0.02% Sodium azide |
| Stabilizer | 50% Glycerol |
| Concentration | 0.5 mg/ml |
| Storage Instruction | For continuous use, store undiluted antibody at 2-8°C for up to a week. For long-term storage, aliquot and store at -20°C or below. Storage in frost free freezers is not recommended. Avoid repeated freeze/thaw cycles. Suggest spin the vial prior to opening. The antibody solution should be gently mixed before use. |
| Note | For laboratory research only, not for drug, diagnostic or other use. |
Bioinformation
| Gene Symbol | VWF |
|---|---|
| Gene Full Name | von Willebrand factor |
| Background | The glycoprotein encoded by this gene functions as both an antihemophilic factor carrier and a platelet-vessel wall mediator in the blood coagulation system. It is crucial to the hemostasis process. Mutations in this gene or deficiencies in this protein result in von Willebrand's disease. An unprocessed pseudogene has been found on chromosome 22. [provided by RefSeq, Jul 2008] |
| Function | Important in the maintenance of hemostasis, it promotes adhesion of platelets to the sites of vascular injury by forming a molecular bridge between sub-endothelial collagen matrix and platelet-surface receptor complex GPIb-IX-V. Also acts as a chaperone for coagulation factor VIII, delivering it to the site of injury, stabilizing its heterodimeric structure and protecting it from premature clearance from plasma. [UniProt] |
| Cellular Localization | Secreted. Secreted, extracellular space, extracellular matrix. Note=Localized to storage granules. [UniProt] |
| Calculated MW | 309 kDa |
| PTM | All cysteine residues are involved in intrachain or interchain disulfide bonds. N- and O-glycosylated. [UniProt] |
Images (1) Click the Picture to Zoom In
