ARG55148
anti-alpha 1D Adrenergic Receptor antibody
anti-alpha 1D Adrenergic Receptor antibody for Flow cytometry,IHC-Formalin-fixed paraffin-embedded sections,Western blot and Human,Rat
Cell Biology and Cellular Response antibody; Signaling Transduction antibody
Overview
| Product Description | Rabbit Polyclonal antibody recognizes alpha 1D Adrenergic Receptor |
|---|---|
| Tested Reactivity | Hu, Rat |
| Predict Reactivity | Ms, Bov, Dog, Rb, Sheep |
| Tested Application | FACS, IHC-P, WB |
| Host | Rabbit |
| Clonality | Polyclonal |
| Isotype | IgG |
| Target Name | alpha 1D Adrenergic Receptor |
| Antigen Species | Human |
| Immunogen | KLH-conjugated synthetic peptide corresponding to aa. 1-30 (N-terminus) of Human alpha 1D Adrenergic Receptor. |
| Conjugation | Un-conjugated |
| Alternate Names | ADRA1A; Alpha-1D adrenoreceptor; ALPHA1; ADRA1; Alpha-1D adrenoceptor; Alpha-1D adrenergic receptor; Alpha-1A adrenergic receptor; ADRA1R; DAR; dJ779E11.2; Alpha-adrenergic receptor 1a |
Application Instructions
| Application Suggestion |
|
||||||||
|---|---|---|---|---|---|---|---|---|---|
| Application Note | * The dilutions indicate recommended starting dilutions and the optimal dilutions or concentrations should be determined by the scientist. | ||||||||
| Positive Control | A549 |
Properties
| Form | Liquid |
|---|---|
| Purification | Purification with Protein A and immunogen peptide. |
| Buffer | PBS and 0.09% (W/V) Sodium azide |
| Preservative | 0.09% (W/V) Sodium azide |
| Storage Instruction | For continuous use, store undiluted antibody at 2-8°C for up to a week. For long-term storage, aliquot and store at -20°C or below. Storage in frost free freezers is not recommended. Avoid repeated freeze/thaw cycles. Suggest spin the vial prior to opening. The antibody solution should be gently mixed before use. |
| Note | For laboratory research only, not for drug, diagnostic or other use. |
Bioinformation
| Database Links | |
|---|---|
| Gene Symbol | ADRA1D |
| Gene Full Name | adrenoceptor alpha 1D |
| Background | Alpha-1-adrenergic receptors (alpha-1-ARs) are members of the G protein-coupled receptor superfamily. They activate mitogenic responses and regulate growth and proliferation of many cells. There are 3 alpha-1-AR subtypes: alpha-1A, -1B and -1D, all of which signal through the Gq/11 family of G-proteins and different subtypes show different patterns of activation. This gene encodes alpha-1D-adrenergic receptor. Similar to alpha-1B-adrenergic receptor gene, this gene comprises 2 exons and a single intron that interrupts the coding region. [provided by RefSeq, Jul 2008] |
| Function | This alpha-adrenergic receptor mediates its effect through the influx of extracellular calcium. [UniProt] |
| Cellular Localization | Cell membrane; Multi-pass membrane protein. |
| Research Area | Cell Biology and Cellular Response antibody; Signaling Transduction antibody |
| Calculated MW | 60 kDa |
Images (3) Click the Picture to Zoom In
-
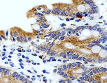
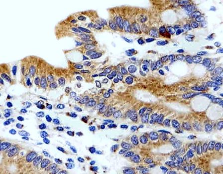
ARG55148 anti-alpha 1D Adrenergic Receptor antibody IHC-P image
Immunohistochemistry: Paraffin-embedded Human small intestine tissue stained with ARG55148 anti-alpha 1D Adrenergic Receptor antibody at 1:100 dilution.
-
ARG55148 anti-alpha 1D Adrenergic Receptor antibody WB image
Western blot: 35 µg of A549 cell lysate stained with ARG55148 anti-alpha 1D Adrenergic Receptor antibody at 1:1000 dilution.
-
ARG55148 anti-alpha 1D Adrenergic Receptor antibody FACS image
Flow Cytometry: MCF7 cells stained with ARG55148 anti-alpha 1D Adrenergic Receptor antibody (right histogram) at 1:25 dilution or isotype control antibody (left histogram), followed by incubation with Alexa Fluor® 488 labelled secondary antibody.
