ARG59342
anti-alpha A Crystallin antibody
anti-alpha A Crystallin antibody for Flow cytometry,IHC-Formalin-fixed paraffin-embedded sections,Western blot and Human,Mouse,Rat
Overview
| Product Description | Rabbit Polyclonal antibody recognizes alpha A Crystallin |
|---|---|
| Tested Reactivity | Hu, Ms, Rat |
| Tested Application | FACS, IHC-P, WB |
| Host | Rabbit |
| Clonality | Polyclonal |
| Isotype | IgG |
| Target Name | alpha A Crystallin |
| Antigen Species | Human |
| Immunogen | Recombinant protein corresponding to M1-S173 of Human alpha A Crystallin. |
| Conjugation | Un-conjugated |
| Alternate Names | CRYA1; HSPB4; CTRCT9 |
Application Instructions
| Application Suggestion |
|
||||||||
|---|---|---|---|---|---|---|---|---|---|
| Application Note | IHC-P: Antigen Retrieval: By heat mediation. * The dilutions indicate recommended starting dilutions and the optimal dilutions or concentrations should be determined by the scientist. |
Properties
| Form | Liquid |
|---|---|
| Purification | Affinity purification with immunogen. |
| Buffer | 0.9% NaCl, 0.2% Na2HPO4, 0.05% Sodium azide and 5% BSA. |
| Preservative | 0.05% Sodium azide |
| Stabilizer | 5% BSA |
| Concentration | 0.5 mg/ml |
| Storage Instruction | For continuous use, store undiluted antibody at 2-8°C for up to a week. For long-term storage, aliquot and store at -20°C or below. Storage in frost free freezers is not recommended. Avoid repeated freeze/thaw cycles. Suggest spin the vial prior to opening. The antibody solution should be gently mixed before use. |
| Note | For laboratory research only, not for drug, diagnostic or other use. |
Bioinformation
| Database Links | |
|---|---|
| Gene Symbol | CRYAA |
| Gene Full Name | crystallin alpha A |
| Background | Mammalian lens crystallins are divided into alpha, beta, and gamma families. Alpha crystallins are composed of two gene products: alpha-A and alpha-B, for acidic and basic, respectively. Alpha crystallins can be induced by heat shock and are members of the small heat shock protein (HSP20) family. They act as molecular chaperones although they do not renature proteins and release them in the fashion of a true chaperone; instead they hold them in large soluble aggregates. Post-translational modifications decrease the ability to chaperone. These heterogeneous aggregates consist of 30-40 subunits; the alpha-A and alpha-B subunits have a 3:1 ratio, respectively. Two additional functions of alpha crystallins are an autokinase activity and participation in the intracellular architecture. The encoded protein has been identified as a moonlighting protein based on its ability to perform mechanistically distinct functions. Alpha-A and alpha-B gene products are differentially expressed; alpha-A is preferentially restricted to the lens and alpha-B is expressed widely in many tissues and organs. Defects in this gene cause autosomal dominant congenital cataract (ADCC). [provided by RefSeq, Jan 2014] |
| Function | Contributes to the transparency and refractive index of the lens. Has chaperone-like activity, preventing aggregation of various proteins under a wide range of stress conditions. [UniProt] |
| Cellular Localization | Cytoplasm. Nucleus. Note=Translocates to the nucleus during heat shock and resides in sub-nuclear structures known as SC35 speckles or nuclear splicing speckles. [UniProt] |
| Calculated MW | 20 kDa |
Images (4) Click the Picture to Zoom In
-
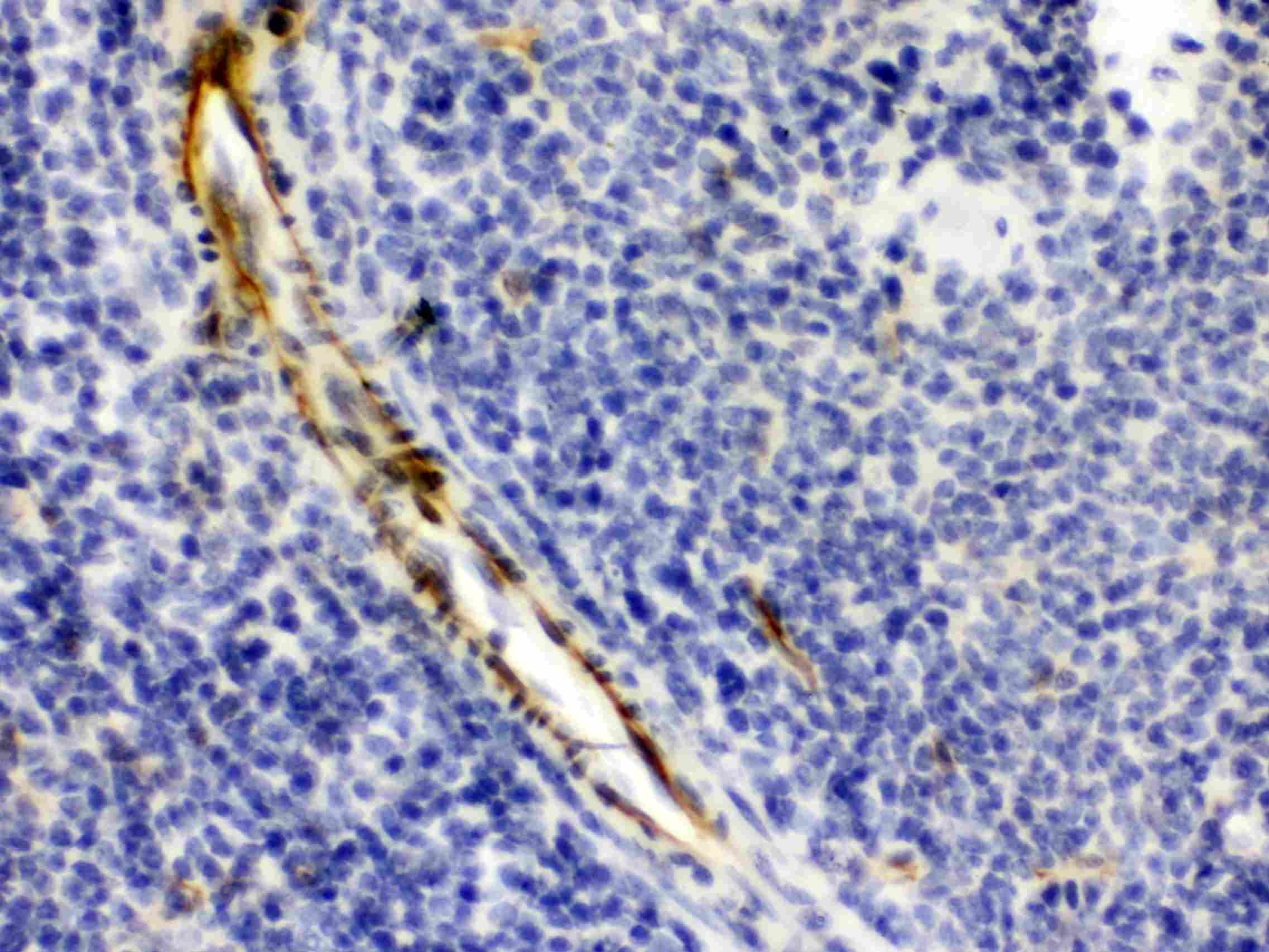
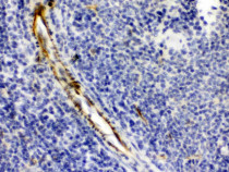
ARG59342 anti-alpha A Crystallin antibody IHC-P image
Immunohistochemistry: Paraffin-embedded Mouse spleen stained with ARG59342 anti-alpha A Crystallin antibody at 1 µg/ml dilution.
-
ARG59342 anti-alpha A Crystallin antibody WB image
Western blot: Rat spleen, Mouse eye ball and SMMC-7721 whole cell lysates stained with ARG59342 anti-alpha A Crystallin antibody at 0.5 µg/ml dilution.
-
ARG59342 anti-alpha A Crystallin antibody FACS image
Flow Cytometry: HepG2 cells were blocked with 10% normal goat serum and then stained with ARG59342 anti-alpha A Crystallin antibody (blue) at 1 µg/10^6 cells for 30 min at 20°C, followed by incubation with DyLight®488 labelled secondary antibody. Isotype control antibody (green) was rabbit IgG (1 µg/10^6 cells) used under the same conditions. Unlabelled sample (red) was also used as a control.
-
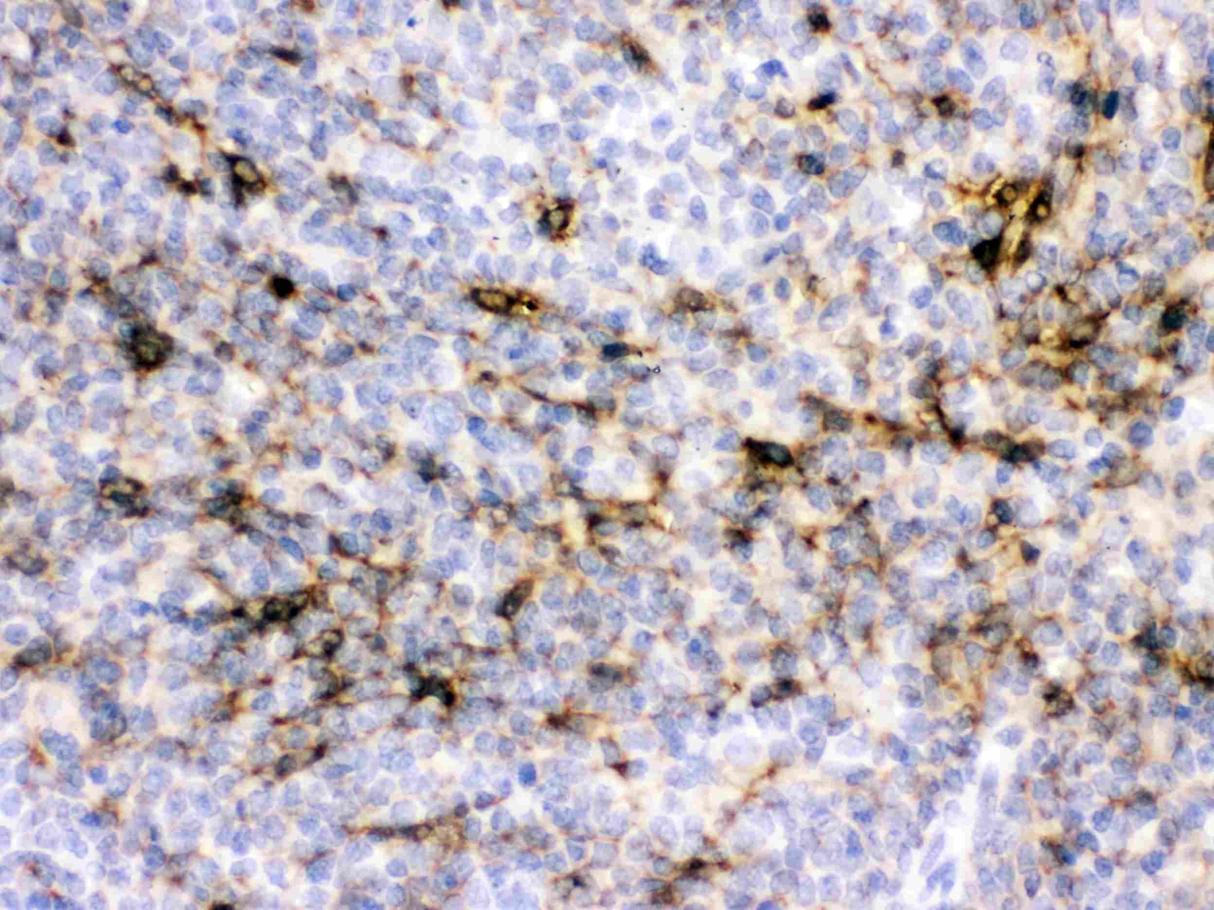
ARG59342 anti-alpha A Crystallin antibody IHC-P image
Immunohistochemistry: Paraffin-embedded Rat spleen stained with ARG59342 anti-alpha A Crystallin antibody at 1 µg/ml dilution.
