ARG40278
anti-alpha Actinin 3 antibody
anti-alpha Actinin 3 antibody for Flow cytometry,IHC-Formalin-fixed paraffin-embedded sections,Western blot and Human,Mouse,Rat
Overview
| Product Description | Rabbit Polyclonal antibody recognizes alpha Actinin 3 |
|---|---|
| Tested Reactivity | Hu, Ms, Rat |
| Tested Application | FACS, IHC-P, WB |
| Host | Rabbit |
| Clonality | Polyclonal |
| Isotype | IgG |
| Target Name | alpha Actinin 3 |
| Antigen Species | Human |
| Immunogen | Synthetic peptide corresponding to aa. 574-617 of Human alpha Actinin 3. (EADRERGAIMGIQGEIQKICQTYGLRPCSTNPYITLSPQDINTK) |
| Conjugation | Un-conjugated |
| Alternate Names | Alpha-actinin skeletal muscle isoform 3; F-actin cross-linking protein; Alpha-actinin-3 |
Application Instructions
| Application Suggestion |
|
||||||||
|---|---|---|---|---|---|---|---|---|---|
| Application Note | IHC-P: Antigen Retrieval: Heat mediation was performed in Citrate buffer (pH 6.0) for 20 min. * The dilutions indicate recommended starting dilutions and the optimal dilutions or concentrations should be determined by the scientist. |
||||||||
| Observed Size | 103 kDa |
Properties
| Form | Liquid |
|---|---|
| Purification | Affinity purification with immunogen. |
| Buffer | 0.2% Na2HPO4, 0.9% NaCl, 0.05% Sodium azide and 5% BSA. |
| Preservative | 0.05% Sodium azide |
| Stabilizer | 5% BSA |
| Concentration | 0.5 mg/ml |
| Storage Instruction | For continuous use, store undiluted antibody at 2-8°C for up to a week. For long-term storage, aliquot and store at -20°C or below. Storage in frost free freezers is not recommended. Avoid repeated freeze/thaw cycles. Suggest spin the vial prior to opening. The antibody solution should be gently mixed before use. |
| Note | For laboratory research only, not for drug, diagnostic or other use. |
Bioinformation
| Database Links | |
|---|---|
| Gene Symbol | ACTN3 |
| Gene Full Name | actinin, alpha 3 (gene/pseudogene) |
| Background | This gene encodes a member of the alpha-actin binding protein gene family. The encoded protein is primarily expressed in skeletal muscle and functions as a structural component of sarcomeric Z line. This protein is involved in crosslinking actin containing thin filaments. An allelic polymorphism in this gene results in both coding and non-coding variants; the reference genome represents the coding allele. The non-functional allele of this gene is associated with elite athlete status. [provided by RefSeq, Feb 2014] |
| Function | F-actin cross-linking protein which is thought to anchor actin to a variety of intracellular structures. This is a bundling protein. [UniProt] |
| Calculated MW | 103 kDa |
Images (5) Click the Picture to Zoom In
-
ARG40278 anti-alpha Actinin 3 antibody FACS image
Flow Cytometry: WISH cells were blocked with 10% normal goat serum and then stained with ARG40278 anti-alpha Actinin 3 antibody (blue) at 1 µg/10^6 cells for 30 min at 20°C, followed by incubation with DyLight® 488 labelled secondary antibody. Isotype control antibody (green) was Rabbit IgG (1 µg/10^6 cells) used under the same conditions. Unlabelled sample (red) was also used as a control.
-
ARG40278 anti-alpha Actinin 3 antibody IHC-P image
Immunohistochemistry: Paraffin-embedded Mouse skeletal muscle tissue. Antigen Retrieval: Heat mediation was performed in Citrate buffer (pH 6.0, epitope retrieval solution) for 20 min. The tissue section was blocked with 10% goat serum. The tissue section was then stained with ARG40278 anti-alpha Actinin 3 antibody at 1 µg/ml, overnight at 4°C.
-
ARG40278 anti-alpha Actinin 3 antibody WB image
Western blot: 50 µg of samples under reducing conditions. Rat skeletal muscle, Mouse skeletal muscle and HT1080 whole cell lysates stained with ARG40278 anti-alpha Actinin 3 antibody at 0.5 µg/ml, overnight at 4°C.
-
ARG40278 anti-alpha Actinin 3 antibody IHC-P image
Immunohistochemistry: Paraffin-embedded Rat skeletal muscle tissue. Antigen Retrieval: Heat mediation was performed in Citrate buffer (pH 6.0, epitope retrieval solution) for 20 min. The tissue section was blocked with 10% goat serum. The tissue section was then stained with ARG40278 anti-alpha Actinin 3 antibody at 1 µg/ml, overnight at 4°C.
-
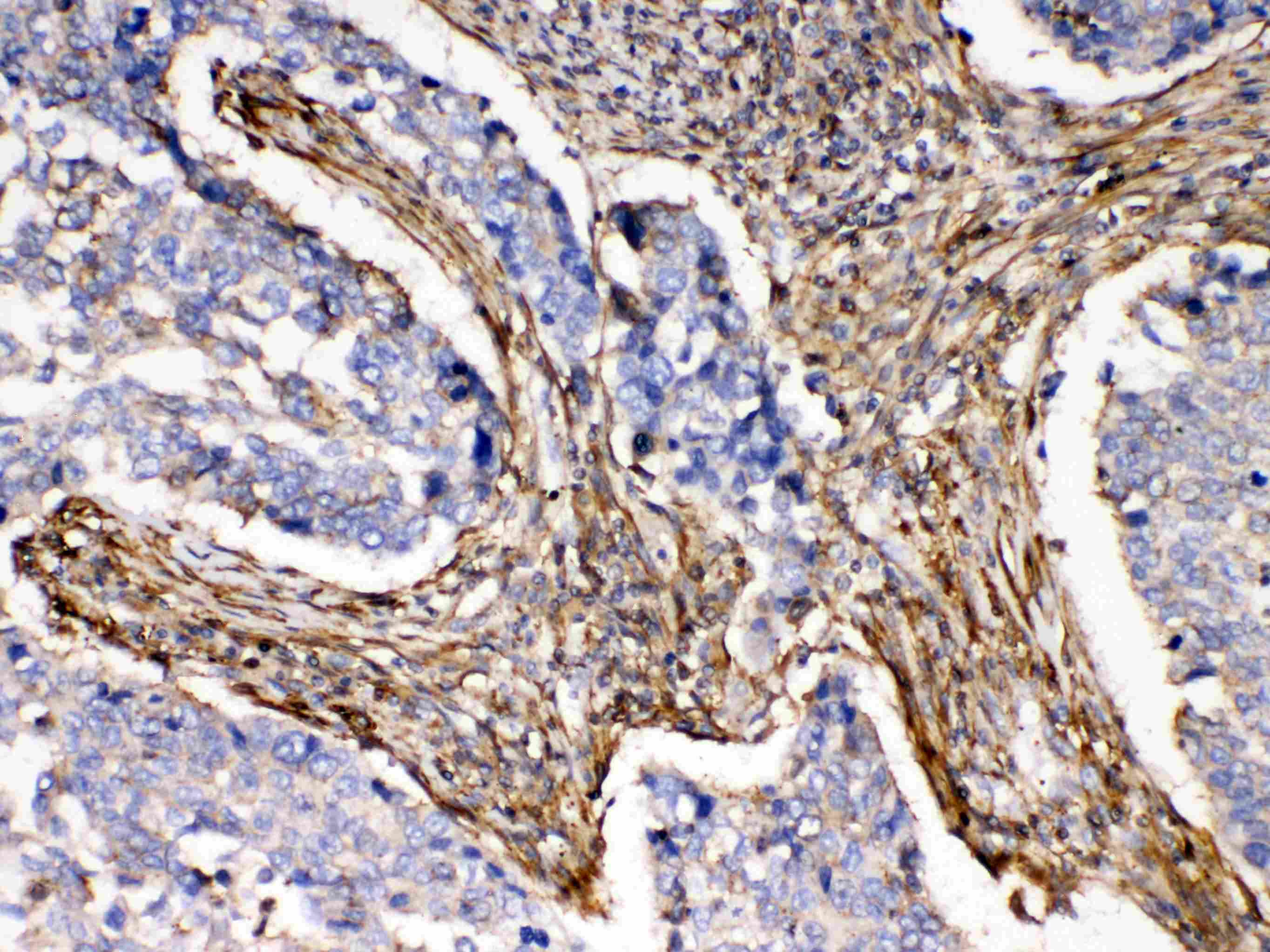
ARG40278 anti-alpha Actinin 3 antibody IHC-P image
Immunohistochemistry: Paraffin-embedded Human lung cancer tissue. Antigen Retrieval: Heat mediation was performed in Citrate buffer (pH 6.0, epitope retrieval solution) for 20 min. The tissue section was blocked with 10% goat serum. The tissue section was then stained with ARG40278 anti-alpha Actinin 3 antibody at 1 µg/ml, overnight at 4°C.
