ARG56855
anti-alpha Actinin 4 antibody
anti-alpha Actinin 4 antibody for Flow cytometry,IHC-Formalin-fixed paraffin-embedded sections,Western blot and Human,Mouse
Overview
| Product Description | Rabbit Polyclonal antibody recognizes alpha Actinin 4 |
|---|---|
| Tested Reactivity | Hu, Ms |
| Tested Application | FACS, IHC-P, WB |
| Host | Rabbit |
| Clonality | Polyclonal |
| Isotype | IgG |
| Target Name | alpha Actinin 4 |
| Antigen Species | Human |
| Immunogen | KLH-conjugated synthetic peptide corresponding to aa. 785-813 (C-terminus) of Human alpha Actinin 4. |
| Conjugation | Un-conjugated |
| Alternate Names | FSGS1; ACTININ-4; FSGS; Non-muscle alpha-actinin 4; Alpha-actinin-4 |
Application Instructions
| Application Suggestion |
|
||||||||
|---|---|---|---|---|---|---|---|---|---|
| Application Note | * The dilutions indicate recommended starting dilutions and the optimal dilutions or concentrations should be determined by the scientist. | ||||||||
| Positive Control | A375 |
Properties
| Form | Liquid |
|---|---|
| Purification | Purified by ammonium sulfate precipitation through ion exchange chromatography. |
| Buffer | PBS and 0.09% (W/V) Sodium azide. |
| Preservative | 0.09% (W/V) Sodium azide. |
| Storage Instruction | For continuous use, store undiluted antibody at 2-8°C for up to a week. For long-term storage, aliquot and store at -20°C or below. Storage in frost free freezers is not recommended. Avoid repeated freeze/thaw cycles. Suggest spin the vial prior to opening. The antibody solution should be gently mixed before use. |
| Note | For laboratory research only, not for drug, diagnostic or other use. |
Bioinformation
| Database Links | |
|---|---|
| Gene Symbol | ACTN4 |
| Gene Full Name | actinin, alpha 4 |
| Background | Alpha actinins belong to the spectrin gene superfamily which represents a diverse group of cytoskeletal proteins, including the alpha and beta spectrins and dystrophins. Alpha actinin is an actin-binding protein with multiple roles in different cell types. In nonmuscle cells, the cytoskeletal isoform is found along microfilament bundles and adherens-type junctions, where it is involved in binding actin to the membrane. In contrast, skeletal, cardiac, and smooth muscle isoforms are localized to the Z-disc and analogous dense bodies, where they help anchor the myofibrillar actin filaments. This gene encodes a nonmuscle, alpha actinin isoform which is concentrated in the cytoplasm, and thought to be involved in metastatic processes. Mutations in this gene have been associated with focal and segmental glomerulosclerosis. [provided by RefSeq, Jul 2008] |
| Function | F-actin cross-linking protein which is thought to anchor actin to a variety of intracellular structures. This is a bundling protein (Probable). Probably involved in vesicular trafficking via its association with the CART complex. The CART complex is necessary for efficient transferrin receptor recycling but not for EGFR degradation. Involved in tight junction assembly in epithelial cells probably through interaction with MICALL2. Links MICALL2 to the actin cytoskeleton and recruits it to the tight junctions (By similarity). May also function as a transcriptional coactivator, stimulating transcription mediated by the nuclear hormone receptors PPARG and RARA. [UniProt] |
| Cellular Localization | Nucleus. Cytoplasm. Cell junction {ECO:0000250|UniProtKB:P57780}. Note=Localized in cytoplasmic mRNP granules containing untranslated mRNAs Colocalizes with actin stress fibers. Nuclear translocation can be induced by the PI3 kinase inhibitor wortmannin or by cytochalasin D. Exclusively localized in the nucleus in a limited number of cell lines (breast cancer cell line MCF-7, oral floor cancer IMC- 2, and bladder cancer KU-7). |
| Calculated MW | 105 kDa |
Images (3) Click the Picture to Zoom In
-
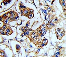
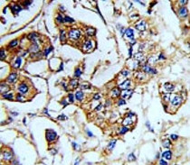
ARG56855 anti-alpha Actinin 4 antibody IHC-P image
Immunohistochemistry: Formalin-fixed and paraffin-embedded Human breast carcinoma tissue stained with ARG56855 anti-alpha Actinin 4 antibody.
-
ARG56855 anti-alpha Actinin 4 antibody WB image
Western blot: 35 µg of A375 cell lysate stained with ARG56855 anti-alpha Actinin 4 antibody.
-
ARG56855 anti-alpha Actinin 4 antibody FACS image
Flow Cytometry: MDA-MB-231 cells stained with ARG56855 anti-alpha Actinin 4 antibody (bottom histogram) or without primary antibody control (top histogram), followed by incubation with FITC labelled secondary antibody.
