ARG56410
anti-alpha Tubulin 6 antibody
anti-alpha Tubulin 6 antibody for IHC-Formalin-fixed paraffin-embedded sections,Western blot and Human,Mouse,Rat
Overview
| Product Description | Rabbit Polyclonal antibody recognizes alpha Tubulin 6 |
|---|---|
| Tested Reactivity | Hu, Ms, Rat |
| Predict Reactivity | Xenopus |
| Tested Application | IHC-P, WB |
| Host | Rabbit |
| Clonality | Polyclonal |
| Isotype | IgG |
| Target Name | alpha Tubulin 6 |
| Antigen Species | Human |
| Immunogen | KLH-conjugated synthetic peptide corresponding to aa. 414-441 (C-terminus) of Human alpha Tubulin 6. |
| Conjugation | Un-conjugated |
| Alternate Names | Alpha-tubulin 6; Tubulin alpha-1C chain; TUBA6; Tubulin alpha-6 chain; bcm948 |
Application Instructions
| Application Suggestion |
|
||||||
|---|---|---|---|---|---|---|---|
| Application Note | IHC-P: Antigen Retrieval: Heat mediation was performed in Citrate buffer (pH 6.0). * The dilutions indicate recommended starting dilutions and the optimal dilutions or concentrations should be determined by the scientist. |
Properties
| Form | Liquid |
|---|---|
| Purification | Purification with Protein A and immunogen peptide. |
| Buffer | PBS and 0.09% (W/V) Sodium azide. |
| Preservative | 0.09% (W/V) Sodium azide. |
| Storage Instruction | For continuous use, store undiluted antibody at 2-8°C for up to a week. For long-term storage, aliquot and store at -20°C or below. Storage in frost free freezers is not recommended. Avoid repeated freeze/thaw cycles. Suggest spin the vial prior to opening. The antibody solution should be gently mixed before use. |
| Note | For laboratory research only, not for drug, diagnostic or other use. |
Bioinformation
| Database Links | |
|---|---|
| Gene Symbol | TUBA1C |
| Gene Full Name | tubulin, alpha 1c |
| Function | Tubulin is the major constituent of microtubules. It binds two moles of GTP, one at an exchangeable site on the beta chain and one at a non-exchangeable site on the alpha chain. [UniProt] |
| Cellular Localization | Cytoplasm, cytoskeleton. |
| Calculated MW | 50 kDa |
| PTM | Some glutamate residues at the C-terminus are polyglutamylated, resulting in polyglutamate chains on the gamma-carboxyl group (PubMed:26875866). Polyglutamylation plays a key role in microtubule severing by spastin (SPAST). SPAST preferentially recognizes and acts on microtubules decorated with short polyglutamate tails: severing activity by SPAST increases as the number of glutamates per tubulin rises from one to eight, but decreases beyond this glutamylation threshold (PubMed:26875866). Some glutamate residues at the C-terminus are monoglycylated but not polyglycylated due to the absence of functional TTLL10 in human. Monoglycylation is mainly limited to tubulin incorporated into axonemes (cilia and flagella). Both polyglutamylation and monoglycylation can coexist on the same protein on adjacent residues, and lowering glycylation levels increases polyglutamylation, and reciprocally. The precise function of monoglycylation is still unclear (Probable). Acetylation of alpha chains at Lys-40 is located inside the microtubule lumen. This modification has been correlated with increased microtubule stability, intracellular transport and ciliary assembly. Methylation of alpha chains at Lys-40 is found in mitotic microtubules and is required for normal mitosis and cytokinesis contributing to genomic stability. Nitration of Tyr-449 is irreversible and interferes with normal dynein intracellular distribution. Undergoes a tyrosination/detyrosination cycle, the cyclic removal and re-addition of a C-terminal tyrosine residue by the enzymes tubulin tyrosine carboxypeptidase (TTCP) and tubulin tyrosine ligase (TTL), respectively. Tubulin alpha-1C chain: Tyrosination promotes microtubule interaction with CAP-Gly domain-containing proteins such as CLIP1, CLIP2 and DCTN1 (By similarity). Tyrosination regulates the initiation of dynein-dynactin motility via interaction with DCTN1, which brings the dynein-dynactin complex into contact with microtubules (PubMed:26972003). In neurons, tyrosinated tubulins mediate the initiation of retrograde vesicle transport (By similarity). Detyrosinated tubulin alpha-1C chain: Detyrosination is involved in metaphase plate congression by guiding chromosomes during mitosis: detyrosination promotes interaction with CENPE, promoting pole-proximal transport of chromosomes toward the equator (PubMed:25908662). Detyrosination increases microtubules-dependent mechanotransduction in dystrophic cardiac and skeletal muscle. In cardiomyocytes, detyrosinated microtubules are required to resist to contractile compression during contraction: detyrosination promotes association with desmin (DES) at force-generating sarcomeres, leading to buckled microtubules and mechanical resistance to contraction (By similarity). |
Images (2) Click the Picture to Zoom In
-
ARG56410 anti-alpha Tubulin 6 antibody WB image
Western blot: 20 µl of HeLa cell lysate and 10 µl of Mouse / Rat brain lysates stained with ARG56410 anti-alpha Tubulin 6 antibody at 1:1000 dilution.
-
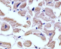
ARG56410 anti-alpha Tubulin 6 antibody IHC-P image
Immunohistochemistry: Paraformaldehyde-fixed and paraffin-embedded Human heart tissue stained with ARG56410 anti-alpha Tubulin 6 antibody at 1:25 dilution, 1 hour at 37°C. Tissue was blocked with 3% BSA for 0.5 hour at RT. Antigen Retrieval: Heat mediation was performed in Citrate buffer (pH 6.0).
