ARG42915
anti-beta III Tubulin antibody
anti-beta III Tubulin antibody for ICC/IF,IHC-Formalin-fixed paraffin-embedded sections,Western blot and Human,Mouse
Overview
| Product Description | Rabbit Polyclonal antibody recognizes beta III Tubulin |
|---|---|
| Tested Reactivity | Hu, Ms |
| Tested Application | ICC/IF, IHC-P, WB |
| Host | Rabbit |
| Clonality | Polyclonal |
| Isotype | IgG |
| Target Name | beta III Tubulin |
| Antigen Species | Human |
| Immunogen | Human beta III Tubulin. |
| Conjugation | Un-conjugated |
| Alternate Names | CDCBM1; Tubulin beta-4 chain; Tubulin beta-3 chain; CFEOM3A; Tubulin beta-III; TUBB4; CDCBM; CFEOM3; FEOM3; beta-4 |
Application Instructions
| Application Suggestion |
|
||||||||
|---|---|---|---|---|---|---|---|---|---|
| Application Note | * The dilutions indicate recommended starting dilutions and the optimal dilutions or concentrations should be determined by the scientist. | ||||||||
| Positive Control | SK-N-SH and Mouse brain | ||||||||
| Observed Size | ~ 50 kDa |
Properties
| Form | Liquid |
|---|---|
| Purification | Affinity purified. |
| Buffer | 100 mM Tris Glycine (pH 7.0), 0.025% ProClin 300, 20% Glycerol and 1% BSA. |
| Preservative | 0.025% ProClin 300 |
| Stabilizer | 20% Glycerol and 1% BSA |
| Concentration | 0.57 mg/ml |
| Storage Instruction | For continuous use, store undiluted antibody at 2-8°C for up to a week. For long-term storage, aliquot and store at -20°C. Storage in frost free freezers is not recommended. Avoid repeated freeze/thaw cycles. Suggest spin the vial prior to opening. The antibody solution should be gently mixed before use. |
| Note | For laboratory research only, not for drug, diagnostic or other use. |
Bioinformation
| Database Links | |
|---|---|
| Gene Symbol | TUBB3 |
| Gene Full Name | tubulin, beta 3 class III |
| Background | This gene encodes a class III member of the beta tubulin protein family. Beta tubulins are one of two core protein families (alpha and beta tubulins) that heterodimerize and assemble to form microtubules. This protein is primarily expressed in neurons and may be involved in neurogenesis and axon guidance and maintenance. Mutations in this gene are the cause of congenital fibrosis of the extraocular muscles type 3. Alternate splicing results in multiple transcript variants. A pseudogene of this gene is found on chromosome 6. [provided by RefSeq, Oct 2010] |
| Function | Tubulin is the major constituent of microtubules. It binds two moles of GTP, one at an exchangeable site on the beta chain and one at a non-exchangeable site on the alpha chain. TUBB3 plays a critical role in proper axon guidance and mantainance. Binding of NTN1/Netrin-1 to its receptor UNC5C might cause dissociation of UNC5C from polymerized TUBB3 in microtubules and thereby lead to increased microtubule dynamics and axon repulsion (PubMed:28483977). Plays a role in dorsal root ganglion axon projection towards the spinal cord (PubMed:28483977). [UniProt] |
| Cellular Localization | Cytoplasm, cytoskeleton. [UniProt] |
| Calculated MW | 50 kDa |
| PTM | Some glutamate residues at the C-terminus are polyglutamylated, resulting in polyglutamate chains on the gamma-carboxyl group (PubMed:26875866). Polyglutamylation plays a key role in microtubule severing by spastin (SPAST). SPAST preferentially recognizes and acts on microtubules decorated with short polyglutamate tails: severing activity by SPAST increases as the number of glutamates per tubulin rises from one to eight, but decreases beyond this glutamylation threshold (PubMed:26875866). Some glutamate residues at the C-terminus are monoglycylated but not polyglycylated due to the absence of functional TTLL10 in human. Monoglycylation is mainly limited to tubulin incorporated into axonemes (cilia and flagella). Both polyglutamylation and monoglycylation can coexist on the same protein on adjacent residues, and lowering glycylation levels increases polyglutamylation, and reciprocally. The precise function of monoglycylation is still unclear (Probable). Phosphorylated on Ser-172 by CDK1 during the cell cycle, from metaphase to telophase, but not in interphase. This phosphorylation inhibits tubulin incorporation into microtubules. [UniProt] |
Images (4) Click the Picture to Zoom In
-
ARG42915 anti-beta III Tubulin antibody ICC/IF image
Immunofluorescence: HUVEC cells were fixed with 4% paraformaldehyde for 10 min at RT, permeabilized with 0.1% NP-40 for 10 min at RT then blocked with 5% BSA for 30 min at room temperature. Cells were stained with ARG42915 anti-beta III Tubulin antibody (red) at 1:200 dilution and 4°C. DAPI (blue) for nuclear staining.
-
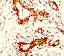
ARG42915 anti-beta III Tubulin antibody IHC-P image
Immunohistochemistry: Paraffin-embedded Human gastric carcinoma tissue stained with ARG42915 anti-beta III Tubulin antibody at 1:100 dilution.
-
ARG42915 anti-beta III Tubulin antibody WB image
Western blot: 20 µg of SK-N-SH cell lysate stained with ARG42915 anti-beta III Tubulin antibody at 1:5000 dilution.
-
ARG42915 anti-beta III Tubulin antibody WB image
Western blot: 20 µg of Mouse brain lysate stained with ARG42915 anti-beta III Tubulin antibody at 1:5000 dilution.
