ARG44762
anti-beta III Tubulin antibody
anti-beta III Tubulin antibody for IHC-Formalin-fixed paraffin-embedded sections,Immunoprecipitation,Western blot and Human,Mouse
Overview
| Product Description | Mouse Monoclonal antibody recognizes beta III Tubulin |
|---|---|
| Tested Reactivity | Hu, Ms |
| Tested Application | IHC-P, IP, WB |
| Host | Mouse |
| Clonality | Monoclonal |
| Isotype | IgG2b |
| Target Name | beta III Tubulin |
| Antigen Species | Human |
| Conjugation | Un-conjugated |
| Alternate Names | CDCBM1; Tubulin beta-4 chain; Tubulin beta-3 chain; CFEOM3A; Tubulin beta-III; TUBB4; CDCBM; CFEOM3; FEOM3; beta-4 |
Application Instructions
| Application Suggestion |
|
||||||||
|---|---|---|---|---|---|---|---|---|---|
| Application Note | * The dilutions indicate recommended starting dilutions and the optimal dilutions or concentrations should be determined by the scientist. |
Properties
| Form | Liquid |
|---|---|
| Purification | Protein A purification |
| Buffer | PBS with 0.09% sodium azide |
| Storage Instruction | For continuous use, store undiluted antibody at 2-8°C for up to a week. For long-term storage, aliquot and store at -20°C or below. Storage in frost free freezers is not recommended. Avoid repeated freeze/thaw cycles. Suggest spin the vial prior to opening. The antibody solution should be gently mixed before use. |
| Note | For laboratory research only, not for drug, diagnostic or other use. |
Bioinformation
| Database Links | |
|---|---|
| Gene Symbol | TUBB3 |
| Gene Full Name | tubulin, beta 3 class III |
| Background | This gene encodes a class III member of the beta tubulin protein family. Beta tubulins are one of two core protein families (alpha and beta tubulins) that heterodimerize and assemble to form microtubules. This protein is primarily expressed in neurons and may be involved in neurogenesis and axon guidance and maintenance. Mutations in this gene are the cause of congenital fibrosis of the extraocular muscles type 3. Alternate splicing results in multiple transcript variants. A pseudogene of this gene is found on chromosome 6. [provided by RefSeq, Oct 2010] |
| Function | In complex with TSC2, inhibits the nutrient-mediated or growth factor-stimulated phosphorylation of S6K1 and EIF4EBP1 by negatively regulating mTORC1 signaling. Seems not to be required for TSC2 GAP activity towards RHEB. Implicated as a tumor suppressor. Involved in microtubule-mediated protein transport, but this seems to be due to unregulated mTOR signaling. [UniProt] |
| Cellular Localization | Cytoplasm, cytoskeleton. [UniProt] |
| Calculated MW | 50 kDa |
| PTM | Some glutamate residues at the C-terminus are polyglutamylated, resulting in polyglutamate chains on the gamma-carboxyl group (PubMed:26875866). Polyglutamylation plays a key role in microtubule severing by spastin (SPAST). SPAST preferentially recognizes and acts on microtubules decorated with short polyglutamate tails: severing activity by SPAST increases as the number of glutamates per tubulin rises from one to eight, but decreases beyond this glutamylation threshold (PubMed:26875866). Some glutamate residues at the C-terminus are monoglycylated but not polyglycylated due to the absence of functional TTLL10 in human. Monoglycylation is mainly limited to tubulin incorporated into axonemes (cilia and flagella). Both polyglutamylation and monoglycylation can coexist on the same protein on adjacent residues, and lowering glycylation levels increases polyglutamylation, and reciprocally. The precise function of monoglycylation is still unclear (Probable). Phosphorylated on Ser-172 by CDK1 during the cell cycle, from metaphase to telophase, but not in interphase. This phosphorylation inhibits tubulin incorporation into microtubules. [UniProt] |
Images (4) Click the Picture to Zoom In
-
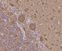
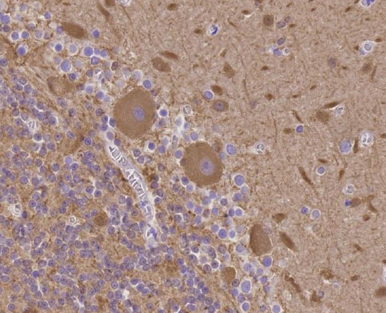
ARG44762 anti-beta III Tubulin antibody IHC-P image
Immunohistochemistry: Human cerebellum stained with ARG44762 anti-beta III Tubulin antibody at 5 µg/mL dilution.
-
ARG44762 anti-beta III Tubulin antibody WB image
Western blot: MCF7 and SH-SY5Y stained with ARG44762 anti-beta III Tubulin antibody at 1 µg/mL dilution.
-
ARG44762 anti-beta III Tubulin antibody IP image
Immunoprecipitation: MCF7 lysate immunoprecipitated with 2.5 µg of ARG44762 anti-beta III Tubulin antibody.
-
ARG44762 anti-beta Tubulin III antibody WB image
Western blot: Mouse brain stained with ARG44762 anti-beta Tubulin III antibody at 1 µg/mL dilution.
