ARG67306
anti-c-Jun antibody [2B05]
anti-c-Jun antibody [2B05] for Western blot,IHC-Formalin-fixed paraffin-embedded sections and Human,Mouse,Rat
Overview
| Product Description | Rabbit Monoclonal antibody [2B05] recognizes c-Jun |
|---|---|
| Tested Reactivity | Hu, Ms, Rat |
| Tested Application | IHC-P, WB |
| Host | Rabbit |
| Clonality | Monoclonal |
| Clone | 2B05 |
| Isotype | IgG,Kappa |
| Target Name | c-Jun |
| Conjugation | Un-conjugated |
| Alternate Names | AP1; AP-1; Transcription factor AP-1; Proto-oncogene c-Jun; V-jun avian sarcoma virus 17 oncogene homolog; p39; Activator protein 1; c-Jun |
Application Instructions
| Application Suggestion |
|
||||||
|---|---|---|---|---|---|---|---|
| Application Note | * The dilutions indicate recommended starting dilutions and the optimal dilutions or concentrations should be determined by the scientist. |
Properties
| Form | Liquid |
|---|---|
| Purification | Purification with Protein A |
| Buffer | PBS, 0.05% Proclin 300, 0.05% BSA and 50% Glycerol. |
| Preservative | 0.05% Proclin 300 |
| Stabilizer | 0.05%BSA and 50% Glycerol. |
| Storage Instruction | For continuous use, store undiluted antibody at 2-8°C for up to a week. For long-term storage, aliquot and store at -20°C or below. Storage in frost free freezers is not recommended. Avoid repeated freeze/thaw cycles. Suggest spin the vial prior to opening. The antibody solution should be gently mixed before use. |
| Note | For laboratory research only, not for drug, diagnostic or other use. |
Bioinformation
| Database Links | |
|---|---|
| Gene Symbol | JUN |
| Gene Full Name | jun proto-oncogene |
| Background | This gene is the putative transforming gene of avian sarcoma virus 17. It encodes a protein which is highly similar to the viral protein, and which interacts directly with specific target DNA sequences to regulate gene expression. This gene is intronless and is mapped to 1p32-p31, a chromosomal region involved in both translocations and deletions in human malignancies. [provided by RefSeq, Jul 2008] |
| Function | Transcription factor that recognizes and binds to the enhancer heptamer motif 5'-TGA[CG]TCA-3'. Promotes activity of NR5A1 when phosphorylated by HIPK3 leading to increased steroidogenic gene expression upon cAMP signaling pathway stimulation. [UniProt] |
| Calculated MW | 36 kDa |
| PTM | Ubiquitinated by the SCF(FBXW7), leading to its degradation. Ubiquitination takes place following phosphorylation, that promotes interaction with FBXW7. Phosphorylated by CaMK4 and PRKDC; phosphorylation enhances the transcriptional activity. Phosphorylated by HIPK3. Phosphorylated by DYRK2 at Ser-243; this primes the protein for subsequent phosphorylation by GSK3B at Thr-239. Phosphorylated at Thr-239, Ser-243 and Ser-249 by GSK3B; phosphorylation reduces its ability to bind DNA. Phosphorylated by PAK2 at Thr-2, Thr-8, Thr-89, Thr-93 and Thr-286 thereby promoting JUN-mediated cell proliferation and transformation. Phosphorylated by PLK3 following hypoxia or UV irradiation, leading to increase DNA-binding activity. Acetylated at Lys-271 by EP300. |
Images (6) Click the Picture to Zoom In
-
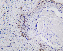
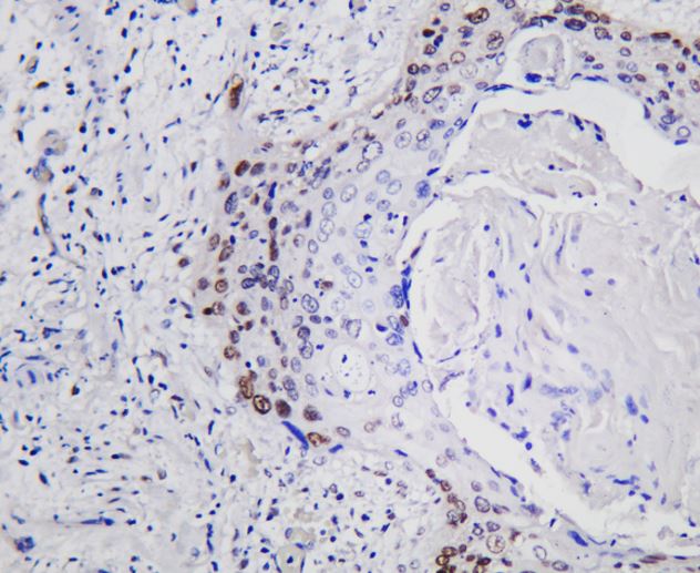
ARG67306 anti-c-Jun antibody [2B05] IHC-P image
Immunohistochemistry: Human cervical carcinoma stained with ARG67306 anti-c-Jun antibody [2B05].
-
ARG67306 anti-c-Jun antibody [2B05] WB image
Western blot: HeLa stained with ARG67306 anti-c-Jun antibody [2B05].
-
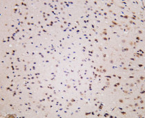
ARG67306 anti-c-Jun antibody [2B05] IHC-P image
Immunohistochemistry: Rat brain stained with ARG67306 anti-c-Jun antibody [2B05].
-
ARG67306 anti-c-Jun antibody [2B05] WB image
Western blot: PC-12 stained with ARG67306 anti-c-Jun antibody [2B05].
-
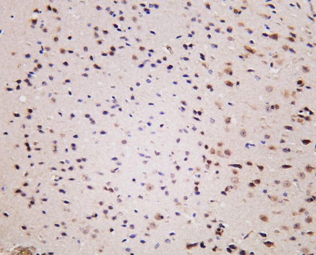
ARG67306 anti-c-Jun antibody [2B05] IHC-P image
Immunohistochemistry: Mouse brain stained with ARG67306 anti-c-Jun antibody [2B05].
-
ARG67306 anti-c-Jun antibody [2B05] WB image
Western blot: NIH-3T3 stained with ARG67306 anti-c-Jun antibody [2B05].
