ARG40469
anti-c-Myb antibody
anti-c-Myb antibody for IHC-Formalin-fixed paraffin-embedded sections,Western blot and Human
Overview
| Product Description | Rabbit Polyclonal antibody recognizes c-Myb |
|---|---|
| Tested Reactivity | Hu |
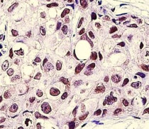
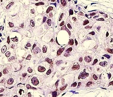
| Tested Application | IHC-P, WB |
| Host | Rabbit |
| Clonality | Polyclonal |
| Isotype | IgG |
| Target Name | c-Myb |
| Antigen Species | Human |
| Immunogen | KLH-conjugated synthetic peptide corresponding to aa. 419-448 of Human c-Myb. |
| Conjugation | Un-conjugated |
| Alternate Names | Transcriptional activator Myb; Proto-oncogene c-Myb; c-myb_CDS; c-myb; Cmyb; efg |
Application Instructions
| Application Suggestion |
|
||||||
|---|---|---|---|---|---|---|---|
| Application Note | * The dilutions indicate recommended starting dilutions and the optimal dilutions or concentrations should be determined by the scientist. | ||||||
| Positive Control | NCI-H292 |
Properties
| Form | Liquid |
|---|---|
| Purification | Purification with Protein A and immunogen peptide. |
| Buffer | PBS and 0.09% (W/V) Sodium azide. |
| Preservative | 0.09% (W/V) Sodium azide. |
| Storage Instruction | For continuous use, store undiluted antibody at 2-8°C for up to a week. For long-term storage, aliquot and store at -20°C or below. Storage in frost free freezers is not recommended. Avoid repeated freeze/thaw cycles. Suggest spin the vial prior to opening. The antibody solution should be gently mixed before use. |
| Note | For laboratory research only, not for drug, diagnostic or other use. |
Bioinformation
| Database Links | |
|---|---|
| Gene Symbol | MYB |
| Gene Full Name | v-myb avian myeloblastosis viral oncogene homolog |
| Background | This gene encodes a transcription factor that is a member of the MYB family of transcription factor genes. The protein contains three domains, an N-terminal DNA-binding domain, a central transcriptional activation domain and a C-terminal domain involved in transcriptional repression. This protein plays an essential role in the regulation of hematopoiesis and may play a role in tumorigenesis. Alternative splicing results in multiple transcript variants. [provided by RefSeq, Jun 2009] |
| Function | Transcriptional activator; DNA-binding protein that specifically recognize the sequence 5'-YAAC[GT]G-3'. Plays an important role in the control of proliferation and differentiation of hematopoietic progenitor cells. [UniProt] |
| Cellular Localization | Nucleus. [UniProt] |
| Calculated MW | 63 - 85 kDa |
| PTM | Ubiquitinated; mediated by SIAH1 and leading to its subsequent proteasomal degradation. Phosphorylated by NLK on multiple sites, which induces proteasomal degradation. Phosphorylated by HIPK1. This phosphorylation reduces MYB transcription factor activity but not MYB protein levels. [UniProt] |
Images (2) Click the Picture to Zoom In
