ARG64248
anti-c-Myb antibody
anti-c-Myb antibody for IHC-Formalin-fixed paraffin-embedded sections,Western blot and Human
Cancer antibody; Gene Regulation antibody
Overview
| Product Description | Goat Polyclonal antibody recognizes c-Myb |
|---|---|
| Tested Reactivity | Hu |
| Predict Reactivity | Ms, Rat, Dog |
| Tested Application | IHC-P, WB |
| Specificity | This antibody is expected to recognize isoforms 1-7 only (Numbering from NCBI RefSeq). (NP_001123645.1; NP_005366.2; NP_001123644.1; NP_001155128.1; NP_001155129.1; NP_001155130.1; NP_001155131.1) |
| Host | Goat |
| Clonality | Polyclonal |
| Isotype | IgG |
| Target Name | c-Myb |
| Antigen Species | Human |
| Immunogen | C-QRHYNDEDPEKEKR |
| Conjugation | Un-conjugated |
| Alternate Names | Transcriptional activator Myb; Proto-oncogene c-Myb; c-myb_CDS; c-myb; Cmyb; efg |
Application Instructions
| Application Suggestion |
|
||||||
|---|---|---|---|---|---|---|---|
| Application Note | WB: Recommend incubate at RT for 1h. IHC-P: Antigen Retrieval: Heat mediation was performed in Citrate buffer (pH 6.0). * The dilutions indicate recommended starting dilutions and the optimal dilutions or concentrations should be determined by the scientist. |
Properties
| Form | Liquid |
|---|---|
| Purification | Purified from goat serum by antigen affinity chromatography. |
| Buffer | Tris saline (pH 7.3), 0.02% Sodium azide and 0.5% BSA. |
| Preservative | 0.02% Sodium azide |
| Stabilizer | 0.5% BSA |
| Concentration | 0.5 mg/ml |
| Storage Instruction | For continuous use, store undiluted antibody at 2-8°C for up to a week. For long-term storage, aliquot and store at -20°C or below. Storage in frost free freezers is not recommended. Avoid repeated freeze/thaw cycles. Suggest spin the vial prior to opening. The antibody solution should be gently mixed before use. |
| Note | For laboratory research only, not for drug, diagnostic or other use. |
Bioinformation
| Database Links | |
|---|---|
| Background | This gene encodes a transcription factor that is a member of the MYB family of transcription factor genes. The protein contains three domains, an N-terminal DNA-binding domain, a central transcriptional activation domain and a C-terminal domain involved in transcriptional repression. This protein plays an essential role in the regulation of hematopoiesis and may play a role in tumorigenesis. Alternative splicing results in multiple transcript variants. [provided by RefSeq, Jun 2009] |
| Research Area | Cancer antibody; Gene Regulation antibody |
| Calculated MW | 72 kDa |
| PTM | Ubiquitinated; mediated by SIAH1 and leading to its subsequent proteasomal degradation. Phosphorylated by NLK on multiple sites, which induces proteasomal degradation. Phosphorylated by HIPK1. This phosphorylation reduces MYB transcription factor activity but not MYB protein levels. |
Images (2) Click the Picture to Zoom In
-
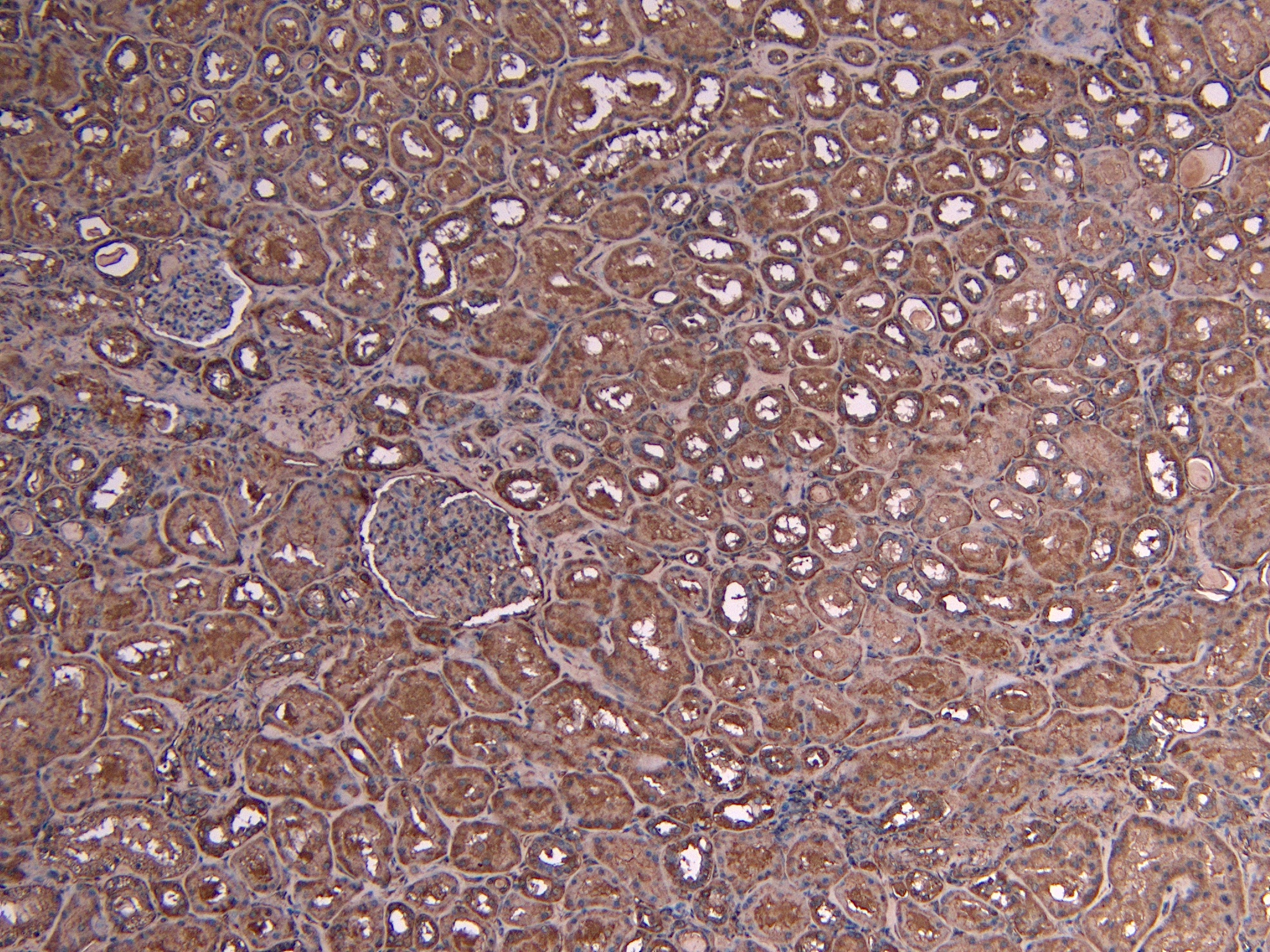
ARG64248 anti-c-Myb antibody IHC-P image
Immunohistochemistry: Paraffin-embedded Human kidney tissue. Antigen Retrieval: Heat mediation was performed in Citrate buffer (pH 6.0). The tissue section was stained with ARG64248 anti-c-Myb antibody at 4 µg/ml dilution followed by HRP-staining.
-
ARG64248 anti-c-Myb antibody WB image
Western blot: 35 µg of MOLT-4 cell lysate (in RIPA buffer) stained with ARG64248 anti-c-Myb antibody at 2 µg/ml dilution and incubated at RT for 1 hour.
