ARG40775
anti-dsDNA antibody [121-3]
anti-dsDNA antibody [121-3] for Flow cytometry,IHC-Formalin-fixed paraffin-embedded sections and Human
Overview
| Product Description | Mouse Monoclonal antibody [121-3] recognizes dsDNA |
|---|---|
| Tested Reactivity | Hu |
| Tested Application | FACS, IHC-P |
| Host | Mouse |
| Clonality | Monoclonal |
| Clone | 121-3 |
| Isotype | IgG3, kappa |
| Target Name | dsDNA |
| Antigen Species | Human |
| Immunogen | Nuclei of Burkitt's cells. |
| Conjugation | Un-conjugated |
Application Instructions
| Application Suggestion |
|
||||||
|---|---|---|---|---|---|---|---|
| Application Note | IHC-P: Antigen Retrieval: Boil tissue section in 10 mM Citrate buffer (pH 6.0) for 10-20 min, followed by cooling at RT. * The dilutions indicate recommended starting dilutions and the optimal dilutions or concentrations should be determined by the scientist. |
Properties
| Form | Liquid |
|---|---|
| Purification | Purification with Protein G. |
| Buffer | PBS, 0.05% Sodium azide and 0.1 mg/ml BSA. |
| Preservative | 0.05% Sodium azide |
| Stabilizer | 0.1 mg/ml BSA |
| Concentration | 0.2 mg/ml |
| Storage Instruction | For continuous use, store undiluted antibody at 2-8°C for up to a week. For long-term storage, aliquot and store at -20°C or below. Storage in frost free freezers is not recommended. Avoid repeated freeze/thaw cycles. Suggest spin the vial prior to opening. The antibody solution should be gently mixed before use. |
| Note | For laboratory research only, not for drug, diagnostic or other use. |
Images (3) Click the Picture to Zoom In
-
ARG40775 anti-dsDNA antibody [121-3] FACS image
Flow Cytometry: Fixed and permeabilized Jurkat cells stained with ARG40775 anti-dsDNA antibody [121-3] (blue) or isotype control (red).
-
ARG40775 anti-dsDNA antibody [121-3] IHC-P image
Immunohistochemistry: Formalin-fixed and paraffin-embedded Human colon carcinoma stained with ARG40775 anti-dsDNA antibody [121-3]. Antigen Retrieval: Boil tissue section in 10 mM Citrate buffer (pH 6.0) for 10-20 min followed by cooling at RT.
-
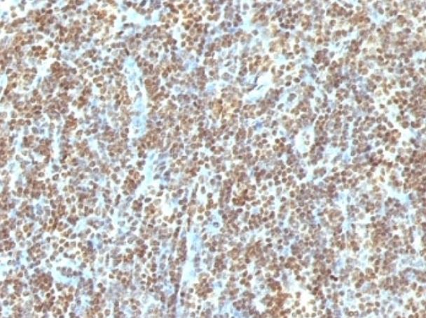
ARG40775 anti-dsDNA antibody [121-3] IHC-P image
Immunohistochemistry: Formalin-fixed and paraffin-embedded Human tonsil stained with ARG40775 anti-dsDNA antibody [121-3]. Antigen Retrieval: Boil tissue section in 10 mM Citrate buffer (pH 6.0) for 10-20 min followed by cooling at RT.
