ARG51723
anti-eIF4E phospho (Ser209) antibody
anti-eIF4E phospho (Ser209) antibody for ICC/IF,IHC-Formalin-fixed paraffin-embedded sections,Western blot and Human,Mouse,Rat
Gene Regulation antibody
Overview
| Product Description | Rabbit Polyclonal antibody recognizes eIF4E phospho (Ser209) |
|---|---|
| Tested Reactivity | Hu, Ms, Rat |
| Tested Application | ICC/IF, IHC-P, WB |
| Host | Rabbit |
| Clonality | Polyclonal |
| Isotype | IgG |
| Target Name | eIF4E |
| Antigen Species | Human |
| Immunogen | Peptide sequence around phosphorylation site of serine 209 (S-G-S(p)-T-T) derived from Human eIF4E. |
| Conjugation | Un-conjugated |
| Alternate Names | EIF4E1; EIF4EL1; Eukaryotic translation initiation factor 4E; eIF-4F 25 kDa subunit; mRNA cap-binding protein; CBP; eIF-4E; eIF4E; AUTS19; EIF4F |
Application Instructions
| Application Suggestion |
|
||||||||
|---|---|---|---|---|---|---|---|---|---|
| Application Note | * The dilutions indicate recommended starting dilutions and the optimal dilutions or concentrations should be determined by the scientist. |
Properties
| Form | Liquid |
|---|---|
| Purification | Antibodies were produced by immunizing rabbits with KLH-conjugated synthetic phosphopeptide. Antibodies were purified by affinity-chromatography using epitope-specific phosphopeptide. In addition, non-phospho specific antibodies were removed by chromatogramphy using non-phosphopeptide. |
| Buffer | PBS (without Mg2+ and Ca2+, pH 7.4), 150mM NaCl, 0.02% Sodium azide and 50% Glycerol. |
| Preservative | 0.02% Sodium azide |
| Stabilizer | 50% Glycerol |
| Concentration | 1 mg/ml |
| Storage Instruction | For continuous use, store undiluted antibody at 2-8°C for up to a week. For long-term storage, aliquot and store at -20°C. Storage in frost free freezers is not recommended. Avoid repeated freeze/thaw cycles. Suggest spin the vial prior to opening. The antibody solution should be gently mixed before use. |
| Note | For laboratory research only, not for drug, diagnostic or other use. |
Bioinformation
| Database Links | |
|---|---|
| Gene Symbol | EIF4E |
| Gene Full Name | eukaryotic translation initiation factor 4E |
| Background | Recognizes and binds the 7-methylguanosine-containing mRNA cap during an early step in the initiation of protein synthesis and facilitates ribosome binding by inducing the unwinding of the mRNAs secondary structures. |
| Function | Recognizes and binds the 7-methylguanosine-containing mRNA cap during an early step in the initiation of protein synthesis and facilitates ribosome binding by inducing the unwinding of the mRNAs secondary structures. Component of the CYFIP1-EIF4E-FMR1 complex which binds to the mRNA cap and mediates translational repression. In the CYFIP1-EIF4E-FMR1 complex this subunit mediates the binding to the mRNA cap. [UniProt] |
| Research Area | Gene Regulation antibody |
| Calculated MW | 25 kDa |
| PTM | Phosphorylation increases the ability of the protein to bind to mRNA caps and to form the eIF4F complex. |
Images (3) Click the Picture to Zoom In
-
ARG51723 anti-eIF4E phospho (Ser209) antibody WB image
Western blot: Extracts from SK-BR-3 cells, untreated or insulin and EGF treated, and pretreated with U0126 cells, stained with ARG51723 anti-eIF4E phospho (Ser209) antibody.
-
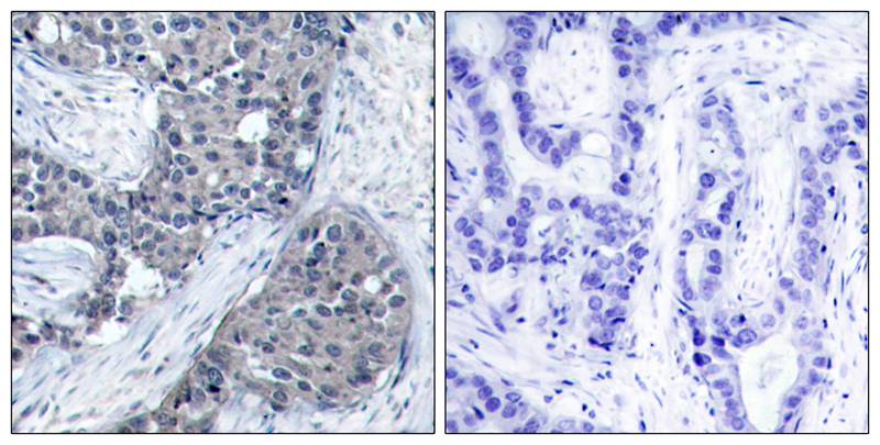
ARG51723 anti-eIF4E phospho (Ser209) antibody IHC-P image
Immunohistochemistry: Paraffin-embedded Human breast carcinoma tissue stained with ARG51723 anti-eIF4E phospho (Ser209) antibody (left) or the same antibody preincubated with blocking peptide (right).
-
ARG51723 anti-eIF4E phospho (Ser209) antibody ICC/IF image
Immunofluorescence: methanol-fixed MCF cells stained with ARG51723 anti-eIF4E phospho (Ser209) antibody.
