ARG58636
anti-eIF4E phospho (Ser209) antibody
anti-eIF4E phospho (Ser209) antibody for ICC/IF,IHC-Formalin-fixed paraffin-embedded sections,Immunoprecipitation,Western blot and Human,Mouse,Rat
Overview
| Product Description | Rabbit Polyclonal antibody recognizes eIF4E phospho (Ser209) |
|---|---|
| Tested Reactivity | Hu, Ms, Rat |
| Tested Application | ICC/IF, IHC-P, IP, WB |
| Host | Rabbit |
| Clonality | Polyclonal |
| Isotype | IgG |
| Target Name | eIF4E |
| Antigen Species | Human |
| Immunogen | Phospho specific peptide around Ser209 of Human eIF4E. |
| Conjugation | Un-conjugated |
| Alternate Names | EIF4E1; EIF4EL1; Eukaryotic translation initiation factor 4E; eIF-4F 25 kDa subunit; mRNA cap-binding protein; CBP; eIF-4E; eIF4E; AUTS19; EIF4F |
Application Instructions
| Application Suggestion |
|
||||||||||
|---|---|---|---|---|---|---|---|---|---|---|---|
| Application Note | * The dilutions indicate recommended starting dilutions and the optimal dilutions or concentrations should be determined by the scientist. | ||||||||||
| Positive Control | HEK293 | ||||||||||
| Observed Size | ~ 25 kDa |
Properties
| Form | Liquid |
|---|---|
| Purification | Affinity purified. |
| Buffer | PBS (pH 7.4), 0.02% Sodium azide and 50% Glycerol. |
| Preservative | 0.02% Sodium azide |
| Stabilizer | 50% Glycerol |
| Storage Instruction | For continuous use, store undiluted antibody at 2-8°C for up to a week. For long-term storage, aliquot and store at -20°C. Storage in frost free freezers is not recommended. Avoid repeated freeze/thaw cycles. Suggest spin the vial prior to opening. The antibody solution should be gently mixed before use. |
| Note | For laboratory research only, not for drug, diagnostic or other use. |
Bioinformation
| Database Links | |
|---|---|
| Gene Symbol | EIF4E |
| Gene Full Name | eukaryotic translation initiation factor 4E |
| Background | The protein encoded by this gene is a component of the eukaryotic translation initiation factor 4F complex, which recognizes the 7-methylguanosine cap structure at the 5' end of messenger RNAs. The encoded protein aids in translation initiation by recruiting ribosomes to the 5'-cap structure. Association of this protein with the 4F complex is the rate-limiting step in translation initiation. This gene acts as a proto-oncogene, and its expression and activation is associated with transformation and tumorigenesis. Several pseudogenes of this gene are found on other chromosomes. Alternative splicing results in multiple transcript variants. [provided by RefSeq, Sep 2015] |
| Function | Recognizes and binds the 7-methylguanosine-containing mRNA cap during an early step in the initiation of protein synthesis and facilitates ribosome binding by inducing the unwinding of the mRNAs secondary structures. Component of the CYFIP1-EIF4E-FMR1 complex which binds to the mRNA cap and mediates translational repression. In the CYFIP1-EIF4E-FMR1 complex this subunit mediates the binding to the mRNA cap. [UniProt] |
| Cellular Localization | Mitochondrion. [UniProt] |
| Calculated MW | 25 kDa |
| PTM | Phosphorylation increases the ability of the protein to bind to mRNA caps and to form the eIF4F complex. [UniProt] |
Images (2) Click the Picture to Zoom In
-
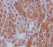
ARG58636 anti-eIF4E eIF4E phospho (Ser209) antibody IHC-P image
Immunohistochemistry: Paraffin-embedded Mouse kidney stained with ARG58636 anti-eIF4E eIF4E phospho (Ser209) antibody.
-
ARG58636 anti-eIF4E eIF4E phospho (Ser209) antibody WB image
Western blot: HEK293 cell lysate stained with ARG58636 anti-eIF4E eIF4E phospho (Ser209) antibody.
